Unusual Serratia marcescens pleural infection in secondary spontaneous pneumothorax: a case report.

IF 1.4 Q3 MEDICINE, GENERAL & INTERNAL
Journal of Yeungnam medical science Pub Date : 2025-01-01 Epub Date: 2025-05-15 DOI:10.12701/jyms.2025.42.35
Asem Ali Ashraf, Sayantani Nag, Vimal Kumar Karnaker
{"title":"Unusual Serratia marcescens pleural infection in secondary spontaneous pneumothorax: a case report.","authors":"Asem Ali Ashraf, Sayantani Nag, Vimal Kumar Karnaker","doi":"10.12701/jyms.2025.42.35","DOIUrl":null,"url":null,"abstract":"<p><p>Serratia marcescens is an opportunistic gram-negative pathogen that causes pneumonia, bloodstream infections, and urinary tract infections, particularly in individuals who are immunocompromised. Although commonly associated with pulmonary infections, its involvement in pneumothorax-related infections is exceedingly rare. Secondary spontaneous pneumothorax (SSP) is a life-threatening condition that can complicate underlying lung diseases, such as chronic obstructive pulmonary disease (COPD). This case report describes a rare presentation of S. marcescens infection in a patient with SSP complicated by a bronchopleural fistula. A 64-year-old male with a history of COPD, chronic smoking, and alcohol use presented with progressive dyspnea, cough, and left-sided chest pain. Clinical evaluation revealed tachypnea, tracheal deviation, and reduced breath sounds in the left lung. Laboratory investigations revealed leukocytosis with marked neutrophilia and an elevated erythrocyte sedimentation rate. Chest imaging confirmed pneumothorax, necessitating intercostal drain (ICD) placement. Pleural fluid cultures identified multidrug-resistant S. marcescens, prompting antibiotic escalation to intravenous meropenem and oral faropenem. Despite prolonged antimicrobial therapy and ICD placement, persistent pneumothorax with a bronchopleural fistula was noted. Bronchoscopy with Fogarty balloon placement and cyanoacrylate closure was performed. However, owing to financial constraints, the patient declined follow-up cultures and high-resolution computed tomography imaging, and was discharged with an ICD in situ. This case underscores the need for heightened clinical awareness of S. marcescens in pneumothorax-associated infections. Early microbiological identification and targeted therapy are crucial for the management of rare yet challenging presentations, particularly in resource-limited settings.</p>","PeriodicalId":74020,"journal":{"name":"Journal of Yeungnam medical science","volume":"42 ","pages":"35"},"PeriodicalIF":1.4000,"publicationDate":"2025-01-01","publicationTypes":"Journal Article","fieldsOfStudy":null,"isOpenAccess":false,"openAccessPdf":"https://www.ncbi.nlm.nih.gov/pmc/articles/PMC12303781/pdf/","citationCount":"0","resultStr":null,"platform":"Semanticscholar","paperid":null,"PeriodicalName":"Journal of Yeungnam medical science","FirstCategoryId":"1085","ListUrlMain":"https://doi.org/10.12701/jyms.2025.42.35","RegionNum":0,"RegionCategory":null,"ArticlePicture":[],"TitleCN":null,"AbstractTextCN":null,"PMCID":null,"EPubDate":"2025/5/15 0:00:00","PubModel":"Epub","JCR":"Q3","JCRName":"MEDICINE, GENERAL & INTERNAL","Score":null,"Total":0}
引用次数: 0

Abstract

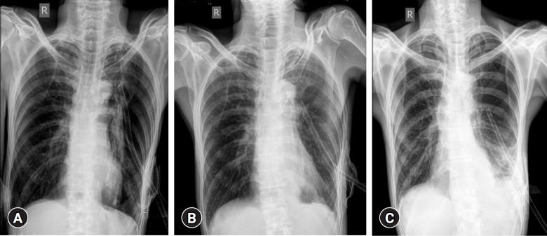
Serratia marcescens is an opportunistic gram-negative pathogen that causes pneumonia, bloodstream infections, and urinary tract infections, particularly in individuals who are immunocompromised. Although commonly associated with pulmonary infections, its involvement in pneumothorax-related infections is exceedingly rare. Secondary spontaneous pneumothorax (SSP) is a life-threatening condition that can complicate underlying lung diseases, such as chronic obstructive pulmonary disease (COPD). This case report describes a rare presentation of S. marcescens infection in a patient with SSP complicated by a bronchopleural fistula. A 64-year-old male with a history of COPD, chronic smoking, and alcohol use presented with progressive dyspnea, cough, and left-sided chest pain. Clinical evaluation revealed tachypnea, tracheal deviation, and reduced breath sounds in the left lung. Laboratory investigations revealed leukocytosis with marked neutrophilia and an elevated erythrocyte sedimentation rate. Chest imaging confirmed pneumothorax, necessitating intercostal drain (ICD) placement. Pleural fluid cultures identified multidrug-resistant S. marcescens, prompting antibiotic escalation to intravenous meropenem and oral faropenem. Despite prolonged antimicrobial therapy and ICD placement, persistent pneumothorax with a bronchopleural fistula was noted. Bronchoscopy with Fogarty balloon placement and cyanoacrylate closure was performed. However, owing to financial constraints, the patient declined follow-up cultures and high-resolution computed tomography imaging, and was discharged with an ICD in situ. This case underscores the need for heightened clinical awareness of S. marcescens in pneumothorax-associated infections. Early microbiological identification and targeted therapy are crucial for the management of rare yet challenging presentations, particularly in resource-limited settings.

Abstract Image

Abstract Image

Abstract Image

继发性自发性气胸并发罕见粘质沙雷菌胸膜感染1例。
粘质沙雷菌是一种机会性革兰氏阴性病原体,可引起肺炎、血液感染和尿路感染,特别是在免疫功能低下的个体中。虽然通常与肺部感染有关,但它在气胸相关感染中的参与是非常罕见的。继发性自发性气胸(SSP)是一种危及生命的疾病,可使潜在的肺部疾病(如慢性阻塞性肺疾病(COPD))复杂化。本病例报告描述了一例罕见的粘质葡萄球菌感染的SSP患者合并支气管胸膜瘘。64岁男性,有慢性阻塞性肺病、慢性吸烟和饮酒史,表现为进行性呼吸困难、咳嗽和左侧胸痛。临床评估显示呼吸急促,气管偏曲,左肺呼吸音减少。实验室检查显示白细胞增多,伴有明显的中性粒细胞增多和红细胞沉降率升高。胸部影像证实气胸,需要肋间引流(ICD)放置。胸膜液培养鉴定出耐多药粘质葡萄球菌,促使抗生素升级到静脉注射美罗培南和口服法罗培南。尽管长期抗菌治疗和ICD放置,持续气胸合并支气管胸膜瘘被注意到。支气管镜检查与福格蒂球囊放置和氰基丙烯酸酯封闭。然而,由于经济限制,患者拒绝了随访培养和高分辨率计算机断层成像,并在原位ICD下出院。本病例强调了在气胸相关感染中提高粘质葡萄球菌临床意识的必要性。早期微生物鉴定和靶向治疗对于罕见但具有挑战性的表现的管理至关重要,特别是在资源有限的环境中。
本文章由计算机程序翻译,如有差异,请以英文原文为准。
求助全文
约1分钟内获得全文 求助全文
来源期刊
CiteScore
0.80
自引率
0.00%
发文量
0
×
引用
GB/T 7714-2015
复制
MLA
复制
APA
复制
导出至
BibTeX EndNote RefMan NoteFirst NoteExpress
×
提示
您的信息不完整,为了账户安全,请先补充。
现在去补充
×
提示
您因"违规操作"
具体请查看互助需知
我知道了
×
提示
确定
请完成安全验证×
copy
已复制链接
快去分享给好友吧!
我知道了
右上角分享
点击右上角分享
0
联系我们:info@booksci.cn Book学术提供免费学术资源搜索服务,方便国内外学者检索中英文文献。致力于提供最便捷和优质的服务体验。 Copyright © 2023 布克学术 All rights reserved.
京ICP备2023020795号-1
ghs 京公网安备 11010802042870号
Book学术文献互助
Book学术文献互助群
群 号:604180095
Book学术官方微信