Isolated third cranial nerve palsy as the presenting sign of tuberculum sellae meningioma: a case report.

IF 0.9
Frontiers in ophthalmology Pub Date : 2025-04-30 eCollection Date: 2025-01-01 DOI:10.3389/fopht.2025.1525183
Azizah Alotaibi, Fay Althunayyan, Shuroq Alshehri, Hosam Al-Jehani
{"title":"Isolated third cranial nerve palsy as the presenting sign of tuberculum sellae meningioma: a case report.","authors":"Azizah Alotaibi, Fay Althunayyan, Shuroq Alshehri, Hosam Al-Jehani","doi":"10.3389/fopht.2025.1525183","DOIUrl":null,"url":null,"abstract":"<p><p>Tuberculum sellae meningioma (TSM) is an uncommon tumor among all intracranial meningiomas. As these tumors grow, they compress the surrounding structures, including the optic nerves and the pituitary gland. Ocular motor nerve palsy (OMNP) can occur as an isolated mononeuropathy or as part of multiple cranial nerve palsies. The role of corticosteroids in the management of OMNP has not been fully studied in the literature. In this report, we present a case of a previously well middle-aged woman who presented with severe headache and isolated OMNP on examination. MRI of the brain showed a small TSM that extends into the right optic canal. In our case, we noted the expedient and complete recovery of isolated OMNP within a few days following treatment with dexamethasone. This case report is on an isolated OMNP associated with TSM, which has not been previously reported. In addition, it highlights the role of corticosteroids in achieving rapid recovery from OMNP.</p>","PeriodicalId":73096,"journal":{"name":"Frontiers in ophthalmology","volume":"5 ","pages":"1525183"},"PeriodicalIF":0.9000,"publicationDate":"2025-04-30","publicationTypes":"Journal Article","fieldsOfStudy":null,"isOpenAccess":false,"openAccessPdf":"https://www.ncbi.nlm.nih.gov/pmc/articles/PMC12074959/pdf/","citationCount":"0","resultStr":null,"platform":"Semanticscholar","paperid":null,"PeriodicalName":"Frontiers in ophthalmology","FirstCategoryId":"1085","ListUrlMain":"https://doi.org/10.3389/fopht.2025.1525183","RegionNum":0,"RegionCategory":null,"ArticlePicture":[],"TitleCN":null,"AbstractTextCN":null,"PMCID":null,"EPubDate":"2025/1/1 0:00:00","PubModel":"eCollection","JCR":"","JCRName":"","Score":null,"Total":0}
引用次数: 0

Abstract

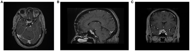
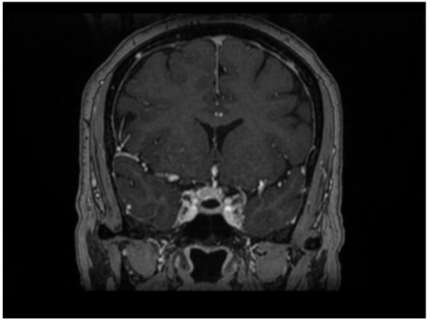
Tuberculum sellae meningioma (TSM) is an uncommon tumor among all intracranial meningiomas. As these tumors grow, they compress the surrounding structures, including the optic nerves and the pituitary gland. Ocular motor nerve palsy (OMNP) can occur as an isolated mononeuropathy or as part of multiple cranial nerve palsies. The role of corticosteroids in the management of OMNP has not been fully studied in the literature. In this report, we present a case of a previously well middle-aged woman who presented with severe headache and isolated OMNP on examination. MRI of the brain showed a small TSM that extends into the right optic canal. In our case, we noted the expedient and complete recovery of isolated OMNP within a few days following treatment with dexamethasone. This case report is on an isolated OMNP associated with TSM, which has not been previously reported. In addition, it highlights the role of corticosteroids in achieving rapid recovery from OMNP.

Abstract Image

Abstract Image

孤立性第三脑神经麻痹为鞍结节脑膜瘤的表现:1例报告。
鞍座结核脑膜瘤是颅内脑膜瘤中一种少见的肿瘤。随着这些肿瘤的生长,它们会压迫周围的结构,包括视神经和脑垂体。眼运动神经麻痹(OMNP)可以作为孤立的单神经病变或作为多发性脑神经麻痹的一部分发生。皮质类固醇在OMNP管理中的作用尚未在文献中得到充分研究。在这个报告中,我们提出了一个病例,以前良好的中年妇女谁提出了严重的头痛和孤立的OMNP检查。脑MRI示小TSM延伸至右侧视神经管。在我们的病例中,我们注意到在地塞米松治疗后的几天内,分离的OMNP的方便和完全恢复。本病例报告是关于一个与TSM相关的孤立OMNP,以前没有报道过。此外,它强调了皮质类固醇在实现OMNP快速恢复中的作用。
本文章由计算机程序翻译,如有差异,请以英文原文为准。
求助全文
约1分钟内获得全文 求助全文
来源期刊
CiteScore
0.50
自引率
0.00%
发文量
0
×
引用
GB/T 7714-2015
复制
MLA
复制
APA
复制
导出至
BibTeX EndNote RefMan NoteFirst NoteExpress
×
提示
您的信息不完整,为了账户安全,请先补充。
现在去补充
×
提示
您因"违规操作"
具体请查看互助需知
我知道了
×
提示
确定
请完成安全验证×
copy
已复制链接
快去分享给好友吧!
我知道了
右上角分享
点击右上角分享
0
联系我们:info@booksci.cn Book学术提供免费学术资源搜索服务,方便国内外学者检索中英文文献。致力于提供最便捷和优质的服务体验。 Copyright © 2023 布克学术 All rights reserved.
京ICP备2023020795号-1
ghs 京公网安备 11010802042870号
Book学术文献互助
Book学术文献互助群
群 号:604180095
Book学术官方微信