First report of a papillomavirus-induced viral plaque in the mouth of a dog.

IF 1.4 3区 农林科学 Q3 DERMATOLOGY
Veterinary dermatology Pub Date : 2025-10-01 Epub Date: 2025-05-15 DOI:10.1111/vde.13357
John S Munday, Paul Hobson, Cynthia M Bell
{"title":"First report of a papillomavirus-induced viral plaque in the mouth of a dog.","authors":"John S Munday, Paul Hobson, Cynthia M Bell","doi":"10.1111/vde.13357","DOIUrl":null,"url":null,"abstract":"<p><p>Canis familiaris papillomavirus type 16 was amplified from a mass in the mouth of a dog. The mass was histologically consistent with a pigmented viral plaque. This is the first report of an oral viral plaque in a dog. Histological investigation is essential to allow differentiation from an oral melanoma.</p>","PeriodicalId":23599,"journal":{"name":"Veterinary dermatology","volume":" ","pages":"703-706"},"PeriodicalIF":1.4000,"publicationDate":"2025-10-01","publicationTypes":"Journal Article","fieldsOfStudy":null,"isOpenAccess":false,"openAccessPdf":"https://www.ncbi.nlm.nih.gov/pmc/articles/PMC12420855/pdf/","citationCount":"0","resultStr":null,"platform":"Semanticscholar","paperid":null,"PeriodicalName":"Veterinary dermatology","FirstCategoryId":"97","ListUrlMain":"https://doi.org/10.1111/vde.13357","RegionNum":3,"RegionCategory":"农林科学","ArticlePicture":[],"TitleCN":null,"AbstractTextCN":null,"PMCID":null,"EPubDate":"2025/5/15 0:00:00","PubModel":"Epub","JCR":"Q3","JCRName":"DERMATOLOGY","Score":null,"Total":0}
引用次数: 0

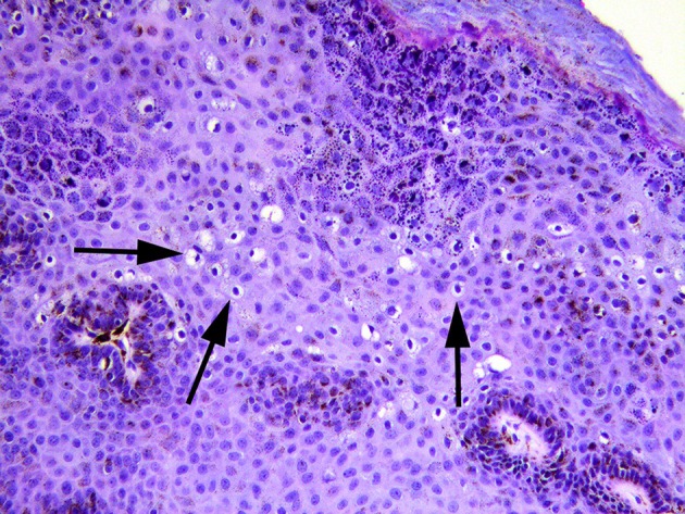
Abstract

Canis familiaris papillomavirus type 16 was amplified from a mass in the mouth of a dog. The mass was histologically consistent with a pigmented viral plaque. This is the first report of an oral viral plaque in a dog. Histological investigation is essential to allow differentiation from an oral melanoma.

Abstract Image

Abstract Image

Abstract Image

首次报道犬口腔中乳头状瘤病毒引起的病毒斑块。
犬类乳头瘤病毒16型从犬口肿块中扩增。肿块在组织学上与色素病毒斑块一致。这是首次报道狗的口腔病毒斑块。组织学调查是必要的,以允许从口腔黑色素瘤的分化。
本文章由计算机程序翻译,如有差异,请以英文原文为准。
求助全文
约1分钟内获得全文 求助全文
来源期刊
Veterinary dermatology
Veterinary dermatology 农林科学-兽医学
CiteScore
3.20
自引率
21.40%
发文量
92
审稿时长
12-24 weeks
期刊介绍: Veterinary Dermatology is a bi-monthly, peer-reviewed, international journal which publishes papers on all aspects of the skin of mammals, birds, reptiles, amphibians and fish. Scientific research papers, clinical case reports and reviews covering the following aspects of dermatology will be considered for publication: -Skin structure (anatomy, histology, ultrastructure) -Skin function (physiology, biochemistry, pharmacology, immunology, genetics) -Skin microbiology and parasitology -Dermatopathology -Pathogenesis, diagnosis and treatment of skin diseases -New disease entities
×
引用
GB/T 7714-2015
复制
MLA
复制
APA
复制
导出至
BibTeX EndNote RefMan NoteFirst NoteExpress
×
提示
您的信息不完整,为了账户安全,请先补充。
现在去补充
×
提示
您因"违规操作"
具体请查看互助需知
我知道了
×
提示
确定
请完成安全验证×
copy
已复制链接
快去分享给好友吧!
我知道了
右上角分享
点击右上角分享
0
联系我们:info@booksci.cn Book学术提供免费学术资源搜索服务,方便国内外学者检索中英文文献。致力于提供最便捷和优质的服务体验。 Copyright © 2023 布克学术 All rights reserved.
京ICP备2023020795号-1
ghs 京公网安备 11010802042870号
Book学术文献互助
Book学术文献互助群
群 号:604180095
Book学术官方微信