Current Management of Pulmonary Hydatid Cyst.

IF 1.2 Q3 MEDICINE, GENERAL & INTERNAL
Yener Aydın, Ulaş Ali Bilal, Ayşenur Dostbil
{"title":"Current Management of Pulmonary Hydatid Cyst.","authors":"Yener Aydın, Ulaş Ali Bilal, Ayşenur Dostbil","doi":"10.5152/eurasianjmed.2025.24761","DOIUrl":null,"url":null,"abstract":"<p><p>Hydatid disease is a zoonotic infection caused by the larval stage of the Echinococcus granulosus worm, commonly found in developing countries. The lungs represent the second most commonly affected organ in both children and adults. The disease is more common in children than in adults, and the growth of hydatid cysts is more rapid in children than in adults. Diagnosing uncomplicated cases of hydatid cysts is generally straightforward clinically and radiologically. However, difficulties may arise in diagnosing complicated cysts. Surgery is the definitive treatment for pulmonary hydatid cysts. The surgical approach is contingent upon a number of factors, including the dimensions of the cyst, the integrity of its structure, whether it is solitary or multiple, unilateral or bilateral, and the extent of lung parenchyma destruction. In contrast to the liver, surgical treatment is promptly planned upon the diagnosis of a pulmonary hydatid cyst. The most effective surgical method is cystotomy and capitonnage while maintaining the integrity of the lung parenchyma to the greatest extent possible. Albendazole is the preferred medical treatment, but it is not recommended for intact cysts during the preoperative period due to its potential to weaken the cyst wall and cause rupture. Albendazole is administered to prevent postoperative recurrence and for treatment in cases where surgery is not feasible.</p>","PeriodicalId":53592,"journal":{"name":"Eurasian Journal of Medicine","volume":"57 1","pages":"1-7"},"PeriodicalIF":1.2000,"publicationDate":"2025-02-03","publicationTypes":"Journal Article","fieldsOfStudy":null,"isOpenAccess":false,"openAccessPdf":"https://www.ncbi.nlm.nih.gov/pmc/articles/PMC12036369/pdf/","citationCount":"0","resultStr":null,"platform":"Semanticscholar","paperid":null,"PeriodicalName":"Eurasian Journal of Medicine","FirstCategoryId":"1085","ListUrlMain":"https://doi.org/10.5152/eurasianjmed.2025.24761","RegionNum":0,"RegionCategory":null,"ArticlePicture":[],"TitleCN":null,"AbstractTextCN":null,"PMCID":null,"EPubDate":"","PubModel":"","JCR":"Q3","JCRName":"MEDICINE, GENERAL & INTERNAL","Score":null,"Total":0}
引用次数: 0

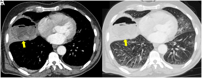
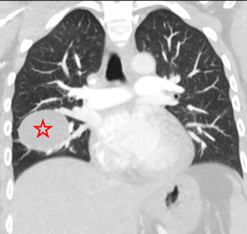
Abstract

Hydatid disease is a zoonotic infection caused by the larval stage of the Echinococcus granulosus worm, commonly found in developing countries. The lungs represent the second most commonly affected organ in both children and adults. The disease is more common in children than in adults, and the growth of hydatid cysts is more rapid in children than in adults. Diagnosing uncomplicated cases of hydatid cysts is generally straightforward clinically and radiologically. However, difficulties may arise in diagnosing complicated cysts. Surgery is the definitive treatment for pulmonary hydatid cysts. The surgical approach is contingent upon a number of factors, including the dimensions of the cyst, the integrity of its structure, whether it is solitary or multiple, unilateral or bilateral, and the extent of lung parenchyma destruction. In contrast to the liver, surgical treatment is promptly planned upon the diagnosis of a pulmonary hydatid cyst. The most effective surgical method is cystotomy and capitonnage while maintaining the integrity of the lung parenchyma to the greatest extent possible. Albendazole is the preferred medical treatment, but it is not recommended for intact cysts during the preoperative period due to its potential to weaken the cyst wall and cause rupture. Albendazole is administered to prevent postoperative recurrence and for treatment in cases where surgery is not feasible.

Abstract Image

Abstract Image

Abstract Image

肺包虫病的治疗现状。
包虫病是一种由细棘球绦虫幼虫期引起的人畜共患感染,常见于发展中国家。肺是儿童和成人中第二大最常受影响的器官。这种疾病在儿童中比在成人中更常见,并且在儿童中包虫病的生长比在成人中更快。诊断无并发症的包虫囊肿通常是简单的临床和放射学。然而,在诊断复杂囊肿时可能会出现困难。手术是肺包虫病的最终治疗方法。手术入路取决于许多因素,包括囊肿的大小,结构的完整性,是单发还是多发,单侧还是双侧,以及肺实质破坏的程度。与肝脏不同的是,一旦诊断出肺包虫病,就立即计划手术治疗。最有效的手术方法是在最大程度上保持肺实质完整的同时进行膀胱切除术和封顶术。阿苯达唑是首选的药物治疗,但术前不推荐用于完整的囊肿,因为它可能削弱囊肿壁,导致破裂。阿苯达唑用于预防术后复发和不能手术治疗的病例。
本文章由计算机程序翻译,如有差异,请以英文原文为准。
求助全文
约1分钟内获得全文 求助全文
来源期刊
Eurasian Journal of Medicine
Eurasian Journal of Medicine Medicine-Medicine (all)
CiteScore
1.90
自引率
6.70%
发文量
59
审稿时长
16 weeks
期刊介绍: Eurasian Journal of Medicine (Eurasian J Med) is an international, scientific, open access periodical published by independent, unbiased, and triple-blinded peer-review principles. The journal is the official publication of Atatürk University School of Medicine and published triannually in February, June, and October. The publication language of the journal is English. The aim of the Eurasian Journal of Medicine is to publish original research papers of the highest scientific and clinical value in all medical fields. The Eurasian J Med also includes reviews, editorial short notes and letters to the editor that either as a comment related to recently published articles in our journal or as a case report. The target audience of the journal includes researchers, physicians and healthcare professionals who are interested or working in in all medical disciplines.
×
引用
GB/T 7714-2015
复制
MLA
复制
APA
复制
导出至
BibTeX EndNote RefMan NoteFirst NoteExpress
×
提示
您的信息不完整,为了账户安全,请先补充。
现在去补充
×
提示
您因"违规操作"
具体请查看互助需知
我知道了
×
提示
确定
请完成安全验证×
copy
已复制链接
快去分享给好友吧!
我知道了
右上角分享
点击右上角分享
0
联系我们:info@booksci.cn Book学术提供免费学术资源搜索服务,方便国内外学者检索中英文文献。致力于提供最便捷和优质的服务体验。 Copyright © 2023 布克学术 All rights reserved.
京ICP备2023020795号-1
ghs 京公网安备 11010802042870号
Book学术文献互助
Book学术文献互助群
群 号:604180095
Book学术官方微信