Ultrasound findings for the diagnosis of biliary atresia in neonates.

Q3 Medicine
Radiologia Brasileira Pub Date : 2025-04-25 eCollection Date: 2025-01-01 DOI:10.1590/0100-3984.2024.0102
Elazir Barbosa Mota Di Puglia, Pedro Augusto Nascimento Daltro, Heron Werner Junior, Miriam Menna Barreto, Flávia Angélica Ferreira Francisco, Sérgio Ferreira Alves Junior, Ivonete Siviero, Claudia Renata S Paio Rezende, Edson Marchiori
{"title":"Ultrasound findings for the diagnosis of biliary atresia in neonates.","authors":"Elazir Barbosa Mota Di Puglia, Pedro Augusto Nascimento Daltro, Heron Werner Junior, Miriam Menna Barreto, Flávia Angélica Ferreira Francisco, Sérgio Ferreira Alves Junior, Ivonete Siviero, Claudia Renata S Paio Rezende, Edson Marchiori","doi":"10.1590/0100-3984.2024.0102","DOIUrl":null,"url":null,"abstract":"<p><strong>Objective: </strong>To investigate and identify the main abdominal ultrasound findings in patients with biliary atresia (BA).</p><p><strong>Materials and methods: </strong>This was a retrospective study of the ultrasound images of 44 patients with neonatal cholestasis. We excluded 18 patients in whom a final diagnosis of BA was not confirmed or who were lost to clinical follow-up. The main ultrasound findings evaluated were gallbladder length and morphology; triangular cord thickness; hepatic artery enlargement; hepatic subcapsular flow; cysts in the porta hepatis; presence of a distinct triangular cord with linear, tubular, or round hypoechoic portions; and polysplenia syndrome.</p><p><strong>Results: </strong>Abnormal gallbladder morphology and triangular cord thickening were the main ultrasound findings in the patients with BA. Gallbladder abnormalities were present in all patients. Hepatic artery enlargement was the third most common finding, present in 19 (73%) patients. Six patients (23%) had subcapsular arterial flow and four (15%) had cysts in the porta hepatis. Hypoechoic or cystic portions of the triangular cord were present in three patients (11%), and we found that BA was accompanied by polysplenia syndrome in three patients (11%).</p><p><strong>Conclusion: </strong>Ultrasound is the examination of greatest diagnostic relevance in the investigation of cholestasis in newborns and infants; it enables the establishment of BA suspicion and the indication for laparotomy with intraoperative cholangiography.</p>","PeriodicalId":20842,"journal":{"name":"Radiologia Brasileira","volume":"58 ","pages":"e20240102"},"PeriodicalIF":0.0000,"publicationDate":"2025-04-25","publicationTypes":"Journal Article","fieldsOfStudy":null,"isOpenAccess":false,"openAccessPdf":"https://www.ncbi.nlm.nih.gov/pmc/articles/PMC12076785/pdf/","citationCount":"0","resultStr":null,"platform":"Semanticscholar","paperid":null,"PeriodicalName":"Radiologia Brasileira","FirstCategoryId":"1085","ListUrlMain":"https://doi.org/10.1590/0100-3984.2024.0102","RegionNum":0,"RegionCategory":null,"ArticlePicture":[],"TitleCN":null,"AbstractTextCN":null,"PMCID":null,"EPubDate":"2025/1/1 0:00:00","PubModel":"eCollection","JCR":"Q3","JCRName":"Medicine","Score":null,"Total":0}
引用次数: 0

Abstract

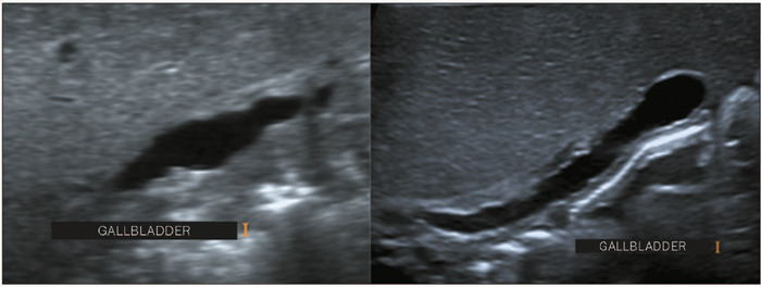
Objective: To investigate and identify the main abdominal ultrasound findings in patients with biliary atresia (BA).

Materials and methods: This was a retrospective study of the ultrasound images of 44 patients with neonatal cholestasis. We excluded 18 patients in whom a final diagnosis of BA was not confirmed or who were lost to clinical follow-up. The main ultrasound findings evaluated were gallbladder length and morphology; triangular cord thickness; hepatic artery enlargement; hepatic subcapsular flow; cysts in the porta hepatis; presence of a distinct triangular cord with linear, tubular, or round hypoechoic portions; and polysplenia syndrome.

Results: Abnormal gallbladder morphology and triangular cord thickening were the main ultrasound findings in the patients with BA. Gallbladder abnormalities were present in all patients. Hepatic artery enlargement was the third most common finding, present in 19 (73%) patients. Six patients (23%) had subcapsular arterial flow and four (15%) had cysts in the porta hepatis. Hypoechoic or cystic portions of the triangular cord were present in three patients (11%), and we found that BA was accompanied by polysplenia syndrome in three patients (11%).

Conclusion: Ultrasound is the examination of greatest diagnostic relevance in the investigation of cholestasis in newborns and infants; it enables the establishment of BA suspicion and the indication for laparotomy with intraoperative cholangiography.

Abstract Image

Abstract Image

Abstract Image

超声检查对新生儿胆道闭锁的诊断价值。
目的:探讨胆道闭锁(BA)患者腹部超声的主要表现。材料与方法:回顾性分析44例新生儿胆汁淤积症的超声影像。我们排除了18例最终诊断为BA的患者或未进行临床随访的患者。评价的主要超声表现为胆囊长度和形态;三角绳厚度;肝动脉扩张;肝包膜下血流;肝门囊肿;有明显的三角形索,有线状、管状或圆形的低回声部分;还有多脾综合征。结果:BA患者的超声主要表现为胆囊形态异常和三角索增厚。所有患者均出现胆囊异常。肝动脉扩张是第三常见的表现,19例(73%)患者出现。6例(23%)患者有囊下动脉血流,4例(15%)患者有肝门囊肿。三例(11%)患者三角索出现低回声或囊性部分,我们发现三例(11%)患者BA伴有多脾综合征。结论:超声检查对新生儿和婴幼儿胆汁淤积症的诊断意义最大;它使BA怀疑的建立和术中胆道造影的剖腹手术指征。
本文章由计算机程序翻译,如有差异,请以英文原文为准。
求助全文
约1分钟内获得全文 求助全文
来源期刊
Radiologia Brasileira
Radiologia Brasileira Medicine-Radiology, Nuclear Medicine and Imaging
CiteScore
2.60
自引率
0.00%
发文量
75
审稿时长
28 weeks
×
引用
GB/T 7714-2015
复制
MLA
复制
APA
复制
导出至
BibTeX EndNote RefMan NoteFirst NoteExpress
×
提示
您的信息不完整,为了账户安全,请先补充。
现在去补充
×
提示
您因"违规操作"
具体请查看互助需知
我知道了
×
提示
确定
请完成安全验证×
copy
已复制链接
快去分享给好友吧!
我知道了
右上角分享
点击右上角分享
0
联系我们:info@booksci.cn Book学术提供免费学术资源搜索服务,方便国内外学者检索中英文文献。致力于提供最便捷和优质的服务体验。 Copyright © 2023 布克学术 All rights reserved.
京ICP备2023020795号-1
ghs 京公网安备 11010802042870号
Book学术文献互助
Book学术文献互助群
群 号:604180095
Book学术官方微信