Platelet-Rich Plasma for Rhinitis Medicamentosa: A Promising Histopathological Study in an Animal Model.

IF 2.5 3区 医学 Q1 OTORHINOLARYNGOLOGY
Otolaryngology- Head and Neck Surgery Pub Date : 2025-09-01 Epub Date: 2025-05-16 DOI:10.1002/ohn.1303
Kamil Gokce Tulaci, Salih Yayman, Erhan Arslan, Hasan Canakci, Tugba Tulaci, Gülay Turan, Omer Hizli, Hasmet Yazici
{"title":"Platelet-Rich Plasma for Rhinitis Medicamentosa: A Promising Histopathological Study in an Animal Model.","authors":"Kamil Gokce Tulaci, Salih Yayman, Erhan Arslan, Hasan Canakci, Tugba Tulaci, Gülay Turan, Omer Hizli, Hasmet Yazici","doi":"10.1002/ohn.1303","DOIUrl":null,"url":null,"abstract":"<p><strong>Objective: </strong>To investigate whether platelet-rich plasma (PRP) has an efficacy on histopathologic changes in rhinitis medicamentosa (RM) in a rat model.</p><p><strong>Study design: </strong>Experimental animal study.</p><p><strong>Setting: </strong>University animal laboratory.</p><p><strong>Methods: </strong>Forty Wistar albino rats were randomly assigned to five groups to assess the effects of various treatments on RM. Group 1 received intranasal normal saline solution (NSS) for 60 days and served as the negative control. Group 2 was administered intranasal oxymetazoline for 60 consecutive days to induce RM. After decapitation, histopathological evaluation confirmed the development of RM in group 2. The remaining three groups were then similarly treated with oxymetazoline for 60 days. Following this period, group-specific treatments were applied for an additional 15 days: group 3 received NSS, group 4 was treated with intranasal corticosteroids, and group 5 received intranasal PRP. Nasal mucosal samples were harvested and subjected to histopathological evaluation to determine treatment-related changes.</p><p><strong>Results: </strong>Intranasal PRP treatment significantly reduced submucosal edema and improved submucosal gland degeneration (SGD) scores in the nasal mucosa. Moreover, PRP treatment led to a greater reduction in total histopathological score compared to steroid treatment (P = .007).</p><p><strong>Conclusion: </strong>This study demonstrated that PRP administration effectively ameliorates submucosal edema, SGD, and total histopathologic score in experimentally induced RM. Given that PRP is an autologous product with a low risk of side effects, it may serve as a promising alternative to steroids in the treatment of RM.</p>","PeriodicalId":19707,"journal":{"name":"Otolaryngology- Head and Neck Surgery","volume":" ","pages":"754-760"},"PeriodicalIF":2.5000,"publicationDate":"2025-09-01","publicationTypes":"Journal Article","fieldsOfStudy":null,"isOpenAccess":false,"openAccessPdf":"https://www.ncbi.nlm.nih.gov/pmc/articles/PMC12379857/pdf/","citationCount":"0","resultStr":null,"platform":"Semanticscholar","paperid":null,"PeriodicalName":"Otolaryngology- Head and Neck Surgery","FirstCategoryId":"3","ListUrlMain":"https://doi.org/10.1002/ohn.1303","RegionNum":3,"RegionCategory":"医学","ArticlePicture":[],"TitleCN":null,"AbstractTextCN":null,"PMCID":null,"EPubDate":"2025/5/16 0:00:00","PubModel":"Epub","JCR":"Q1","JCRName":"OTORHINOLARYNGOLOGY","Score":null,"Total":0}
引用次数: 0

Abstract

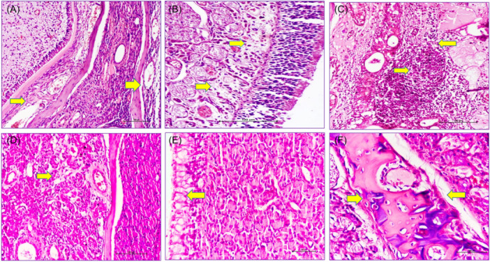
Objective: To investigate whether platelet-rich plasma (PRP) has an efficacy on histopathologic changes in rhinitis medicamentosa (RM) in a rat model.

Study design: Experimental animal study.

Setting: University animal laboratory.

Methods: Forty Wistar albino rats were randomly assigned to five groups to assess the effects of various treatments on RM. Group 1 received intranasal normal saline solution (NSS) for 60 days and served as the negative control. Group 2 was administered intranasal oxymetazoline for 60 consecutive days to induce RM. After decapitation, histopathological evaluation confirmed the development of RM in group 2. The remaining three groups were then similarly treated with oxymetazoline for 60 days. Following this period, group-specific treatments were applied for an additional 15 days: group 3 received NSS, group 4 was treated with intranasal corticosteroids, and group 5 received intranasal PRP. Nasal mucosal samples were harvested and subjected to histopathological evaluation to determine treatment-related changes.

Results: Intranasal PRP treatment significantly reduced submucosal edema and improved submucosal gland degeneration (SGD) scores in the nasal mucosa. Moreover, PRP treatment led to a greater reduction in total histopathological score compared to steroid treatment (P = .007).

Conclusion: This study demonstrated that PRP administration effectively ameliorates submucosal edema, SGD, and total histopathologic score in experimentally induced RM. Given that PRP is an autologous product with a low risk of side effects, it may serve as a promising alternative to steroids in the treatment of RM.

Abstract Image

富血小板血浆治疗药物性鼻炎:一项有前景的动物模型组织病理学研究。
目的:探讨富血小板血浆(PRP)对药物性鼻炎(RM)模型大鼠组织病理学改变的影响。研究设计:实验动物研究。单位:大学动物实验室。方法:将40只Wistar白化大鼠随机分为5组,观察不同治疗方法对RM的影响。组1给予鼻内生理盐水(NSS)治疗60 d,作为阴性对照。2组患者连续60 d鼻灌氧美唑啉诱导RM。斩首后,组织病理学评估证实2组发生RM。其余三组同样给予羟甲唑啉治疗60天。在此之后,再进行15天的组特异性治疗:第3组给予NSS治疗,第4组给予鼻内皮质类固醇治疗,第5组给予鼻内PRP治疗。收集鼻黏膜样本并进行组织病理学评估以确定治疗相关的变化。结果:鼻内PRP治疗可显著减少鼻黏膜下水肿,改善鼻黏膜下腺变性(SGD)评分。此外,与类固醇治疗相比,PRP治疗导致总组织病理学评分更大的降低(P = .007)。结论:本研究表明,PRP给药可有效改善实验性RM的黏膜下水肿、SGD和总组织病理学评分。鉴于PRP是一种具有低副作用风险的自体产物,它可能作为类固醇治疗RM的有希望的替代品。
本文章由计算机程序翻译,如有差异,请以英文原文为准。
求助全文
约1分钟内获得全文 求助全文
来源期刊
Otolaryngology- Head and Neck Surgery
Otolaryngology- Head and Neck Surgery 医学-耳鼻喉科学
CiteScore
6.70
自引率
2.90%
发文量
250
审稿时长
2-4 weeks
期刊介绍: Otolaryngology–Head and Neck Surgery (OTO-HNS) is the official peer-reviewed publication of the American Academy of Otolaryngology–Head and Neck Surgery Foundation. The mission of Otolaryngology–Head and Neck Surgery is to publish contemporary, ethical, clinically relevant information in otolaryngology, head and neck surgery (ear, nose, throat, head, and neck disorders) that can be used by otolaryngologists, clinicians, scientists, and specialists to improve patient care and public health.
×
引用
GB/T 7714-2015
复制
MLA
复制
APA
复制
导出至
BibTeX EndNote RefMan NoteFirst NoteExpress
×
提示
您的信息不完整,为了账户安全,请先补充。
现在去补充
×
提示
您因"违规操作"
具体请查看互助需知
我知道了
×
提示
确定
请完成安全验证×
copy
已复制链接
快去分享给好友吧!
我知道了
右上角分享
点击右上角分享
0
联系我们:info@booksci.cn Book学术提供免费学术资源搜索服务,方便国内外学者检索中英文文献。致力于提供最便捷和优质的服务体验。 Copyright © 2023 布克学术 All rights reserved.
京ICP备2023020795号-1
ghs 京公网安备 11010802042870号
Book学术文献互助
Book学术文献互助群
群 号:604180095
Book学术官方微信