The protective effects of melatonin on testis, sperm parameters quality, and in-vitro fertilization in mice following treatment with aflatoxin B1: An experimental study.

IF 1.8 Q3 OBSTETRICS & GYNECOLOGY
International Journal of Reproductive Biomedicine Pub Date : 2025-05-01 eCollection Date: 2025-02-01 DOI:10.18502/ijrm.v23i2.18492
Maryam Sabahi, Mojtaba Karimipour, Abass Ahmadi, Bagher Pourheydar, Gholamhossein Farjah
{"title":"The protective effects of melatonin on testis, sperm parameters quality, and in-vitro fertilization in mice following treatment with aflatoxin B1: An experimental study.","authors":"Maryam Sabahi, Mojtaba Karimipour, Abass Ahmadi, Bagher Pourheydar, Gholamhossein Farjah","doi":"10.18502/ijrm.v23i2.18492","DOIUrl":null,"url":null,"abstract":"<p><strong>Background: </strong>Aflatoxin B1 (AFB1) contamination of foods and animal feeds is a public health issue. Exposure to AFB1 induces oxidative stress and can cause male reproductive toxicity. Melatonin (MLT) is a neuro-hormone produced by the pineal gland and the testis and is known as a potent antioxidant.</p><p><strong>Objective: </strong>This study aims to determine the protective effect of MLT on testicular tissue alterations, sperm parameter indexes, and in vitro fertility assays in mice treated with AFB1.</p><p><strong>Materials and methods: </strong>In this experimental study, 28 adult male NMRI mice (8-10 wk old, 25-27 gr) were divided randomly into 4 groups: control, MLT (20 mg/kg/day, intraperitoneally), AFB1 (50 <math><mi>μ</mi></math> g/kg/day, intraperitoneally) and MLT+AFB1. After 35 consecutive days, testis histological changes, sperm quality parameters, the rate of sperm with DNA damage, and in vitro fertilization outcomes up to the blastocyst stage were surveyed and compared between groups.</p><p><strong>Results: </strong>Our results showed that AFB1 administration induced histological alterations in the testis and significantly decreased all the sperm parameters and in vitro fertility (fertilization and blastocyst formation rates) compared to control. Additionally, the percentages of immature sperms and sperms with DNA damage significantly (p <math><mo><</mo></math> 0.001) increased in the AFB1-treated group. MLT treatment in the MLT+AFB1group significantly increased testis quality and sperm parameters and improved in vitro fertilizaton rate and in vitro embryonic development.</p><p><strong>Conclusion: </strong>These findings demonstrated that MLT can compensate for the adverse effects of AFB1 on the quality of testicular tissue, sperm parameters, sperm DNA, and in vitro fertilization outcomes.</p>","PeriodicalId":14386,"journal":{"name":"International Journal of Reproductive Biomedicine","volume":"23 2","pages":"185-198"},"PeriodicalIF":1.8000,"publicationDate":"2025-05-01","publicationTypes":"Journal Article","fieldsOfStudy":null,"isOpenAccess":false,"openAccessPdf":"https://www.ncbi.nlm.nih.gov/pmc/articles/PMC12070049/pdf/","citationCount":"0","resultStr":null,"platform":"Semanticscholar","paperid":null,"PeriodicalName":"International Journal of Reproductive Biomedicine","FirstCategoryId":"1085","ListUrlMain":"https://doi.org/10.18502/ijrm.v23i2.18492","RegionNum":0,"RegionCategory":null,"ArticlePicture":[],"TitleCN":null,"AbstractTextCN":null,"PMCID":null,"EPubDate":"2025/2/1 0:00:00","PubModel":"eCollection","JCR":"Q3","JCRName":"OBSTETRICS & GYNECOLOGY","Score":null,"Total":0}
引用次数: 0

Abstract

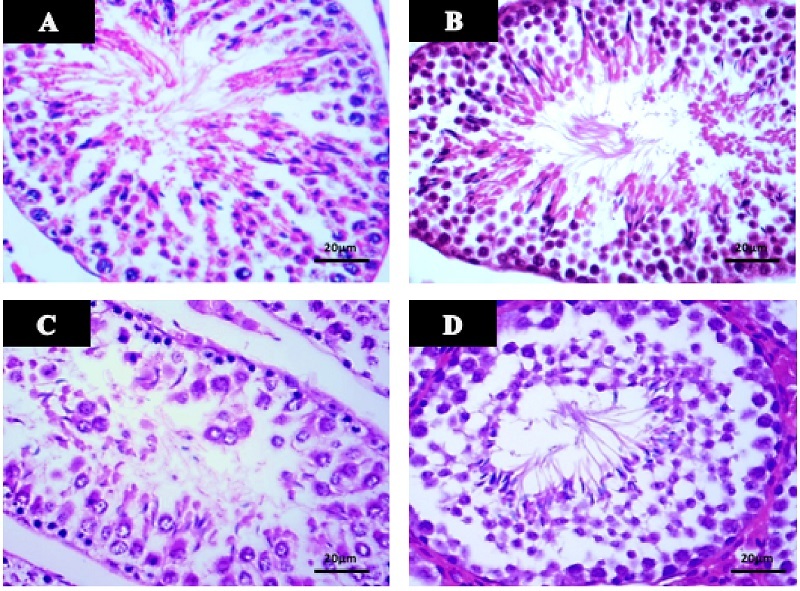
Background: Aflatoxin B1 (AFB1) contamination of foods and animal feeds is a public health issue. Exposure to AFB1 induces oxidative stress and can cause male reproductive toxicity. Melatonin (MLT) is a neuro-hormone produced by the pineal gland and the testis and is known as a potent antioxidant.

Objective: This study aims to determine the protective effect of MLT on testicular tissue alterations, sperm parameter indexes, and in vitro fertility assays in mice treated with AFB1.

Materials and methods: In this experimental study, 28 adult male NMRI mice (8-10 wk old, 25-27 gr) were divided randomly into 4 groups: control, MLT (20 mg/kg/day, intraperitoneally), AFB1 (50 μ g/kg/day, intraperitoneally) and MLT+AFB1. After 35 consecutive days, testis histological changes, sperm quality parameters, the rate of sperm with DNA damage, and in vitro fertilization outcomes up to the blastocyst stage were surveyed and compared between groups.

Results: Our results showed that AFB1 administration induced histological alterations in the testis and significantly decreased all the sperm parameters and in vitro fertility (fertilization and blastocyst formation rates) compared to control. Additionally, the percentages of immature sperms and sperms with DNA damage significantly (p < 0.001) increased in the AFB1-treated group. MLT treatment in the MLT+AFB1group significantly increased testis quality and sperm parameters and improved in vitro fertilizaton rate and in vitro embryonic development.

Conclusion: These findings demonstrated that MLT can compensate for the adverse effects of AFB1 on the quality of testicular tissue, sperm parameters, sperm DNA, and in vitro fertilization outcomes.

Abstract Image

Abstract Image

Abstract Image

褪黑素对黄曲霉毒素B1治疗小鼠睾丸、精子参数质量和体外受精的保护作用:一项实验研究。
背景:黄曲霉毒素B1 (AFB1)污染的食品和动物饲料是一个公共卫生问题。暴露于AFB1可诱导氧化应激,并可引起男性生殖毒性。褪黑素(MLT)是由松果体和睾丸产生的一种神经激素,被认为是一种有效的抗氧化剂。目的:本研究旨在探讨MLT对AFB1处理小鼠睾丸组织改变、精子参数指标及体外生育能力的保护作用。材料与方法:选取成年雄性NMRI小鼠28只(8-10周龄,25-27克),随机分为对照组、MLT (20 mg/kg/d,腹腔注射)、AFB1 (50 μ g/kg/d,腹腔注射)和MLT+AFB1组。连续35 d后,观察各组至囊胚期的睾丸组织学变化、精子质量参数、DNA损伤率及体外受精结果。结果:我们的研究结果显示,与对照组相比,AFB1给药引起了睾丸组织学改变,显著降低了所有精子参数和体外生育能力(受精率和囊胚形成率)。此外,afb1处理组未成熟精子和DNA损伤精子的百分比显著增加(p 0.001)。MLT+ afb1组的MLT治疗显著提高了睾丸质量和精子参数,改善了体外受精率和体外胚胎发育。结论:这些发现表明MLT可以补偿AFB1对睾丸组织质量、精子参数、精子DNA和体外受精结果的不利影响。
本文章由计算机程序翻译,如有差异,请以英文原文为准。
求助全文
约1分钟内获得全文 求助全文
来源期刊
CiteScore
2.40
自引率
7.70%
发文量
93
审稿时长
16 weeks
期刊介绍: The International Journal of Reproductive BioMedicine (IJRM), formerly published as "Iranian Journal of Reproductive Medicine (ISSN: 1680-6433)", is an international monthly scientific journal for who treat and investigate problems of infertility and human reproductive disorders. This journal accepts Original Papers, Review Articles, Short Communications, Case Reports, Photo Clinics, and Letters to the Editor in the fields of fertility and infertility, ethical and social issues of assisted reproductive technologies, cellular and molecular biology of reproduction including the development of gametes and early embryos, assisted reproductive technologies in model system and in a clinical environment, reproductive endocrinology, andrology, epidemiology, pathology, genetics, oncology, surgery, psychology, and physiology. Emerging topics including cloning and stem cells are encouraged.
×
引用
GB/T 7714-2015
复制
MLA
复制
APA
复制
导出至
BibTeX EndNote RefMan NoteFirst NoteExpress
×
提示
您的信息不完整,为了账户安全,请先补充。
现在去补充
×
提示
您因"违规操作"
具体请查看互助需知
我知道了
×
提示
确定
请完成安全验证×
copy
已复制链接
快去分享给好友吧!
我知道了
右上角分享
点击右上角分享
0
联系我们:info@booksci.cn Book学术提供免费学术资源搜索服务,方便国内外学者检索中英文文献。致力于提供最便捷和优质的服务体验。 Copyright © 2023 布克学术 All rights reserved.
京ICP备2023020795号-1
ghs 京公网安备 11010802042870号
Book学术文献互助
Book学术文献互助群
群 号:604180095
Book学术官方微信