Rehabilitation of a patient with extensive odontogenic myxoma treated conservatively: A case report with 14 years of follow-up.

Q2 Dentistry
Ana L L M Paz, Cristhiane A Leite, Bruno A L A Mariz, Luiz E R Volpato, André C Rocha
{"title":"Rehabilitation of a patient with extensive odontogenic myxoma treated conservatively: A case report with 14 years of follow-up.","authors":"Ana L L M Paz, Cristhiane A Leite, Bruno A L A Mariz, Luiz E R Volpato, André C Rocha","doi":"10.4317/jced.62679","DOIUrl":null,"url":null,"abstract":"<p><p>Odontogenic myxoma is an odontogenic tumor of mesenchymal origin that presents locally invasive behavior. Its treatment is surgical, and the approach can be more conservative or radical. This article presents the rehabilitation of a patient with extensive odontogenic myxoma in the mandible treated conservatively with follow-up for 14 years. A 17-year-old male patient sought care with a painless swelling in the mandibular region causing facial asymmetry. Imaging exams showed a mixed image, with intralesional septa, involving the left anterior and posterior regions of the mandible with a small remaining basilar and lingual bone. An incisional biopsy was performed which confirmed the diagnosis of odontogenic myxoma. Due to the extent of the lesion, a conservative approach was chosen, with excision of the lesion and peripheral ostectomy, with recurrence of the lesion after 48 months, with a new approach being performed. After 14 years of follow-up, without further recurrence of the lesion, the patient was rehabilitated with dental implants and protocol-type prosthesis. Conservative treatment led to bone remodeling and enabled patient rehabilitation with oral implants and an implant-supported prosthesis. Thus, conservative treatment of odontogenic myxomas is a viable alternative for similar cases, and its longitudinal postoperative follow-up is essential. <b>Key words:</b>Conservative Treatment, Dental Implants, Myxoma; Oral Pathology, Oral Surgery.</p>","PeriodicalId":15376,"journal":{"name":"Journal of Clinical and Experimental Dentistry","volume":"17 4","pages":"e488-e492"},"PeriodicalIF":0.0000,"publicationDate":"2025-04-01","publicationTypes":"Journal Article","fieldsOfStudy":null,"isOpenAccess":false,"openAccessPdf":"https://www.ncbi.nlm.nih.gov/pmc/articles/PMC12077831/pdf/","citationCount":"0","resultStr":null,"platform":"Semanticscholar","paperid":null,"PeriodicalName":"Journal of Clinical and Experimental Dentistry","FirstCategoryId":"1085","ListUrlMain":"https://doi.org/10.4317/jced.62679","RegionNum":0,"RegionCategory":null,"ArticlePicture":[],"TitleCN":null,"AbstractTextCN":null,"PMCID":null,"EPubDate":"","PubModel":"","JCR":"Q2","JCRName":"Dentistry","Score":null,"Total":0}
引用次数: 0

Abstract

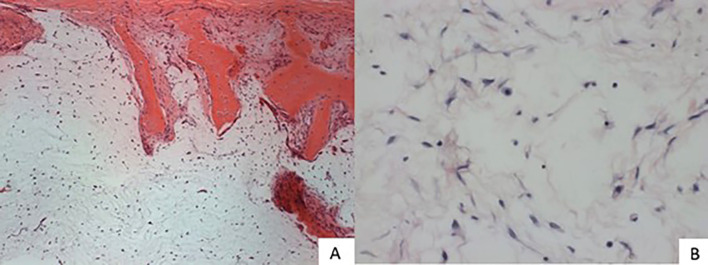
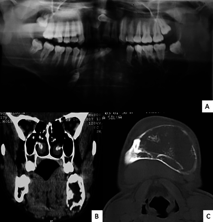
Odontogenic myxoma is an odontogenic tumor of mesenchymal origin that presents locally invasive behavior. Its treatment is surgical, and the approach can be more conservative or radical. This article presents the rehabilitation of a patient with extensive odontogenic myxoma in the mandible treated conservatively with follow-up for 14 years. A 17-year-old male patient sought care with a painless swelling in the mandibular region causing facial asymmetry. Imaging exams showed a mixed image, with intralesional septa, involving the left anterior and posterior regions of the mandible with a small remaining basilar and lingual bone. An incisional biopsy was performed which confirmed the diagnosis of odontogenic myxoma. Due to the extent of the lesion, a conservative approach was chosen, with excision of the lesion and peripheral ostectomy, with recurrence of the lesion after 48 months, with a new approach being performed. After 14 years of follow-up, without further recurrence of the lesion, the patient was rehabilitated with dental implants and protocol-type prosthesis. Conservative treatment led to bone remodeling and enabled patient rehabilitation with oral implants and an implant-supported prosthesis. Thus, conservative treatment of odontogenic myxomas is a viable alternative for similar cases, and its longitudinal postoperative follow-up is essential. Key words:Conservative Treatment, Dental Implants, Myxoma; Oral Pathology, Oral Surgery.

Abstract Image

Abstract Image

Abstract Image

保守治疗广泛牙源性黏液瘤患者的康复:14年随访1例报告。
牙源性黏液瘤是一种牙源性间质肿瘤,具有局部侵袭性。它的治疗是手术,方法可以更保守或激进。本文介绍了一名下颌骨广泛牙源性黏液瘤患者的康复治疗,保守治疗并随访14年。一个17岁的男性患者寻求护理无痛肿胀在下颌区域造成面部不对称。影像学检查显示混合图像,病灶内间隔,累及下颌骨左侧前后区,剩余少量基底骨和舌骨。行切口活检,确诊为牙源性黏液瘤。由于病变的范围,我们选择保守入路,切除病变并周围骨切除术,48个月后病变复发,我们进行了新的入路。经过14年的随访,病变没有进一步复发,患者使用种植体和协议型修复体进行康复。保守治疗导致骨重塑,并使患者通过口腔种植体和种植体支持的假体康复。因此,牙源性黏液瘤的保守治疗是类似病例的可行选择,其术后纵向随访至关重要。关键词:保守治疗;种植体;黏液瘤;口腔病理学,口腔外科。
本文章由计算机程序翻译,如有差异,请以英文原文为准。
求助全文
约1分钟内获得全文 求助全文
来源期刊
CiteScore
2.70
自引率
0.00%
发文量
118
期刊介绍: Indexed in PUBMED, PubMed Central® (PMC) since 2012 and SCOPUSJournal of Clinical and Experimental Dentistry is an Open Access (free access on-line) - http://www.medicinaoral.com/odo/indice.htm. The aim of the Journal of Clinical and Experimental Dentistry is: - Periodontology - Community and Preventive Dentistry - Esthetic Dentistry - Biomaterials and Bioengineering in Dentistry - Operative Dentistry and Endodontics - Prosthetic Dentistry - Orthodontics - Oral Medicine and Pathology - Odontostomatology for the disabled or special patients - Oral Surgery
×
引用
GB/T 7714-2015
复制
MLA
复制
APA
复制
导出至
BibTeX EndNote RefMan NoteFirst NoteExpress
×
提示
您的信息不完整,为了账户安全,请先补充。
现在去补充
×
提示
您因"违规操作"
具体请查看互助需知
我知道了
×
提示
确定
请完成安全验证×
copy
已复制链接
快去分享给好友吧!
我知道了
右上角分享
点击右上角分享
0
联系我们:info@booksci.cn Book学术提供免费学术资源搜索服务,方便国内外学者检索中英文文献。致力于提供最便捷和优质的服务体验。 Copyright © 2023 布克学术 All rights reserved.
京ICP备2023020795号-1
ghs 京公网安备 11010802042870号
Book学术文献互助
Book学术文献互助群
群 号:604180095
Book学术官方微信