Diagnosis of pneumonia from chest X-ray images using YOLO deep learning.

IF 2.8 4区 计算机科学 Q3 COMPUTER SCIENCE, ARTIFICIAL INTELLIGENCE
Frontiers in Neurorobotics Pub Date : 2025-04-28 eCollection Date: 2025-01-01 DOI:10.3389/fnbot.2025.1576438
Yanchun Xie, Binbin Zhu, Yang Jiang, Bin Zhao, Hailong Yu
{"title":"Diagnosis of pneumonia from chest X-ray images using YOLO deep learning.","authors":"Yanchun Xie, Binbin Zhu, Yang Jiang, Bin Zhao, Hailong Yu","doi":"10.3389/fnbot.2025.1576438","DOIUrl":null,"url":null,"abstract":"<p><p>Early and accurate diagnosis of pneumonia is crucial to improve cure rates and reduce mortality. Traditional chest X-ray analysis relies on physician experience, which can lead to subjectivity and misdiagnosis. To address this, we propose a novel pneumonia diagnosis method using the Fast-YOLO deep learning network that we introduced. First, we constructed a pneumonia dataset containing five categories and applied image enhancement techniques to increase data diversity and improve the model's generalization ability. Next, the YOLOv11 network structure was redesigned to accommodate the complex features of pneumonia X-ray images. By integrating the C3k2 module, DCNv2, and DynamicConv, the Fast-YOLO network effectively enhanced feature representation and reduced computational complexity (FPS increased from 53 to 120). Experimental results subsequently show that our method outperforms other commonly used detection models in terms of accuracy, recall, and mAP, offering better real-time detection capability and clinical application potential.</p>","PeriodicalId":12628,"journal":{"name":"Frontiers in Neurorobotics","volume":"19 ","pages":"1576438"},"PeriodicalIF":2.8000,"publicationDate":"2025-04-28","publicationTypes":"Journal Article","fieldsOfStudy":null,"isOpenAccess":false,"openAccessPdf":"https://www.ncbi.nlm.nih.gov/pmc/articles/PMC12077197/pdf/","citationCount":"0","resultStr":null,"platform":"Semanticscholar","paperid":null,"PeriodicalName":"Frontiers in Neurorobotics","FirstCategoryId":"94","ListUrlMain":"https://doi.org/10.3389/fnbot.2025.1576438","RegionNum":4,"RegionCategory":"计算机科学","ArticlePicture":[],"TitleCN":null,"AbstractTextCN":null,"PMCID":null,"EPubDate":"2025/1/1 0:00:00","PubModel":"eCollection","JCR":"Q3","JCRName":"COMPUTER SCIENCE, ARTIFICIAL INTELLIGENCE","Score":null,"Total":0}
引用次数: 0

Abstract

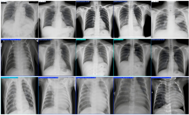
Early and accurate diagnosis of pneumonia is crucial to improve cure rates and reduce mortality. Traditional chest X-ray analysis relies on physician experience, which can lead to subjectivity and misdiagnosis. To address this, we propose a novel pneumonia diagnosis method using the Fast-YOLO deep learning network that we introduced. First, we constructed a pneumonia dataset containing five categories and applied image enhancement techniques to increase data diversity and improve the model's generalization ability. Next, the YOLOv11 network structure was redesigned to accommodate the complex features of pneumonia X-ray images. By integrating the C3k2 module, DCNv2, and DynamicConv, the Fast-YOLO network effectively enhanced feature representation and reduced computational complexity (FPS increased from 53 to 120). Experimental results subsequently show that our method outperforms other commonly used detection models in terms of accuracy, recall, and mAP, offering better real-time detection capability and clinical application potential.

Abstract Image

Abstract Image

Abstract Image

基于YOLO深度学习的胸片肺炎诊断。
肺炎的早期和准确诊断对于提高治愈率和降低死亡率至关重要。传统的胸部x线分析依赖于医生的经验,容易导致主观性和误诊。为了解决这个问题,我们提出了一种新的肺炎诊断方法,使用我们介绍的Fast-YOLO深度学习网络。首先,我们构建了包含五个类别的肺炎数据集,并应用图像增强技术来增加数据的多样性,提高模型的泛化能力。接下来,重新设计了YOLOv11网络结构,以适应肺炎x线图像的复杂特征。通过集成C3k2模块、DCNv2和DynamicConv, Fast-YOLO网络有效地增强了特征表示,降低了计算复杂度(FPS从53增加到120)。实验结果表明,该方法在准确率、召回率和mAP等方面均优于其他常用检测模型,具有更好的实时检测能力和临床应用潜力。
本文章由计算机程序翻译,如有差异,请以英文原文为准。
求助全文
约1分钟内获得全文 求助全文
来源期刊
Frontiers in Neurorobotics
Frontiers in Neurorobotics COMPUTER SCIENCE, ARTIFICIAL INTELLIGENCER-ROBOTICS
CiteScore
5.20
自引率
6.50%
发文量
250
审稿时长
14 weeks
期刊介绍: Frontiers in Neurorobotics publishes rigorously peer-reviewed research in the science and technology of embodied autonomous neural systems. Specialty Chief Editors Alois C. Knoll and Florian Röhrbein at the Technische Universität München are supported by an outstanding Editorial Board of international experts. This multidisciplinary open-access journal is at the forefront of disseminating and communicating scientific knowledge and impactful discoveries to researchers, academics and the public worldwide. Neural systems include brain-inspired algorithms (e.g. connectionist networks), computational models of biological neural networks (e.g. artificial spiking neural nets, large-scale simulations of neural microcircuits) and actual biological systems (e.g. in vivo and in vitro neural nets). The focus of the journal is the embodiment of such neural systems in artificial software and hardware devices, machines, robots or any other form of physical actuation. This also includes prosthetic devices, brain machine interfaces, wearable systems, micro-machines, furniture, home appliances, as well as systems for managing micro and macro infrastructures. Frontiers in Neurorobotics also aims to publish radically new tools and methods to study plasticity and development of autonomous self-learning systems that are capable of acquiring knowledge in an open-ended manner. Models complemented with experimental studies revealing self-organizing principles of embodied neural systems are welcome. Our journal also publishes on the micro and macro engineering and mechatronics of robotic devices driven by neural systems, as well as studies on the impact that such systems will have on our daily life.
×
引用
GB/T 7714-2015
复制
MLA
复制
APA
复制
导出至
BibTeX EndNote RefMan NoteFirst NoteExpress
×
提示
您的信息不完整,为了账户安全,请先补充。
现在去补充
×
提示
您因"违规操作"
具体请查看互助需知
我知道了
×
提示
确定
请完成安全验证×
copy
已复制链接
快去分享给好友吧!
我知道了
右上角分享
点击右上角分享
0
联系我们:info@booksci.cn Book学术提供免费学术资源搜索服务,方便国内外学者检索中英文文献。致力于提供最便捷和优质的服务体验。 Copyright © 2023 布克学术 All rights reserved.
京ICP备2023020795号-1
ghs 京公网安备 11010802042870号
Book学术文献互助
Book学术文献互助群
群 号:604180095
Book学术官方微信