Contrast-enhanced vs. standard endoscopic ultrasound fine-needle aspiration for diagnosing malignant biliary tumors: Randomized controlled trial.

IF 2.3 Q3 GASTROENTEROLOGY & HEPATOLOGY
Endoscopy International Open Pub Date : 2025-05-12 eCollection Date: 2025-01-01 DOI:10.1055/a-2569-8969
Rares Ilie Orzan, Sorana D Bolboacă, Cristina Pojoga, Claudia Hagiu, Ofelia Mosteanu, Ioana Rusu, Voicu Rednic, Radu Seicean, Nadim Al Hajjar, Renata Agoston, Andrada Seicean
{"title":"Contrast-enhanced vs. standard endoscopic ultrasound fine-needle aspiration for diagnosing malignant biliary tumors: Randomized controlled trial.","authors":"Rares Ilie Orzan, Sorana D Bolboacă, Cristina Pojoga, Claudia Hagiu, Ofelia Mosteanu, Ioana Rusu, Voicu Rednic, Radu Seicean, Nadim Al Hajjar, Renata Agoston, Andrada Seicean","doi":"10.1055/a-2569-8969","DOIUrl":null,"url":null,"abstract":"<p><strong>Background and study aims: </strong>Contrast-enhanced endoscopic ultrasound (CH-EUS) is superior to standard EUS for staging biliary duct tumors (BDTs), but its role in guiding EUS-guided fine needle aspiration (EUS-FNA) remains unclear. We compared diagnostic accuracy of CH-EUS-fine needle aspiration (CH-EUS-FNA) and standard EUS-FNA in patients with suspected malignant biliary stenosis.</p><p><strong>Patients and methods: </strong>A parallel randomized controlled trial was conducted in a tertiary medical center and included jaundiced patients with suspected malignant biliary stenosis on computed tomography. The patients were assigned randomly to EUS-FNA or CH-EUS-FNA groups. Final diagnosis was determined based on EUS-FNA, surgical specimen results, endoscopic retrograde cholangiopancreatography (ERCP), or 12-month follow-up.</p><p><strong>Results: </strong>Sixty-one patients were included in the study, 31 in the EUS-FNA group and 30 in the CH-EUS-FNA group. Mean age of participants was 74 ± 11.04 years and mean tumor size was 20.39 ± 9.17 mm, with 43 tumors in the distal bile duct. Final diagnoses were cholangiocarcinoma (37 cases), pancreatic ductal carcinoma (12 cases), other malignancies (3 cases), and benign lesion (9 cases). Diagnostic sensitivity, specificity, and accuracy were 83.3%, 100%, and 87.1% for EUS-FNA, and 82.1%, 100%, and 83.3% for CH-EUS-FNA. Plastic biliary stent placement and tumor location did not influence results. Hyperenhancement in the CH-EUS with rapid washout was observed in 90.9% of cholangiocarcinoma cases.</p><p><strong>Conclusions: </strong>Standard EUS-FNA and CH-EUS-FNA demonstrated comparable diagnostic accuracy in evaluation of extrahepatic bile duct tumors, but with better slightly efficiency and inaccuracy indices than standard EUS-FNA.</p>","PeriodicalId":11671,"journal":{"name":"Endoscopy International Open","volume":"13 ","pages":"a25698969"},"PeriodicalIF":2.3000,"publicationDate":"2025-05-12","publicationTypes":"Journal Article","fieldsOfStudy":null,"isOpenAccess":false,"openAccessPdf":"https://www.ncbi.nlm.nih.gov/pmc/articles/PMC12080515/pdf/","citationCount":"0","resultStr":null,"platform":"Semanticscholar","paperid":null,"PeriodicalName":"Endoscopy International Open","FirstCategoryId":"1085","ListUrlMain":"https://doi.org/10.1055/a-2569-8969","RegionNum":0,"RegionCategory":null,"ArticlePicture":[],"TitleCN":null,"AbstractTextCN":null,"PMCID":null,"EPubDate":"2025/1/1 0:00:00","PubModel":"eCollection","JCR":"Q3","JCRName":"GASTROENTEROLOGY & HEPATOLOGY","Score":null,"Total":0}
引用次数: 0

Abstract

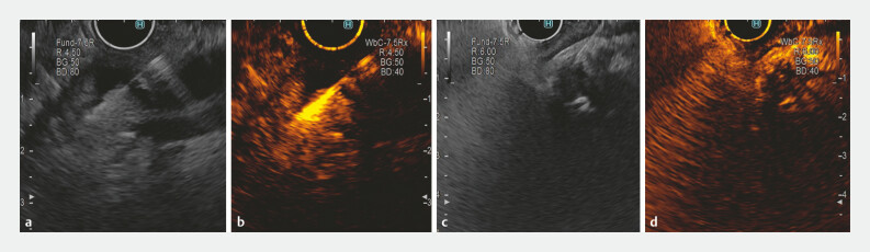
Background and study aims: Contrast-enhanced endoscopic ultrasound (CH-EUS) is superior to standard EUS for staging biliary duct tumors (BDTs), but its role in guiding EUS-guided fine needle aspiration (EUS-FNA) remains unclear. We compared diagnostic accuracy of CH-EUS-fine needle aspiration (CH-EUS-FNA) and standard EUS-FNA in patients with suspected malignant biliary stenosis.

Patients and methods: A parallel randomized controlled trial was conducted in a tertiary medical center and included jaundiced patients with suspected malignant biliary stenosis on computed tomography. The patients were assigned randomly to EUS-FNA or CH-EUS-FNA groups. Final diagnosis was determined based on EUS-FNA, surgical specimen results, endoscopic retrograde cholangiopancreatography (ERCP), or 12-month follow-up.

Results: Sixty-one patients were included in the study, 31 in the EUS-FNA group and 30 in the CH-EUS-FNA group. Mean age of participants was 74 ± 11.04 years and mean tumor size was 20.39 ± 9.17 mm, with 43 tumors in the distal bile duct. Final diagnoses were cholangiocarcinoma (37 cases), pancreatic ductal carcinoma (12 cases), other malignancies (3 cases), and benign lesion (9 cases). Diagnostic sensitivity, specificity, and accuracy were 83.3%, 100%, and 87.1% for EUS-FNA, and 82.1%, 100%, and 83.3% for CH-EUS-FNA. Plastic biliary stent placement and tumor location did not influence results. Hyperenhancement in the CH-EUS with rapid washout was observed in 90.9% of cholangiocarcinoma cases.

Conclusions: Standard EUS-FNA and CH-EUS-FNA demonstrated comparable diagnostic accuracy in evaluation of extrahepatic bile duct tumors, but with better slightly efficiency and inaccuracy indices than standard EUS-FNA.

Abstract Image

Abstract Image

对比增强与标准内镜超声细针穿刺诊断胆道恶性肿瘤:随机对照试验。
背景与研究目的:对比增强内镜超声(CH-EUS)在胆管肿瘤(bdt)分期方面优于标准EUS,但其在指导EUS引导下细针穿刺(EUS- fna)中的作用尚不清楚。我们比较了ch - eus细针穿刺(CH-EUS-FNA)和标准EUS-FNA对疑似恶性胆道狭窄患者的诊断准确性。患者和方法:在三级医疗中心进行了一项平行随机对照试验,纳入了计算机断层扫描怀疑恶性胆道狭窄的黄疸患者。将患者随机分为EUS-FNA组和CH-EUS-FNA组。最终诊断是根据EUS-FNA、手术标本结果、内镜逆行胆管造影(ERCP)或12个月的随访确定的。结果:共纳入61例患者,其中EUS-FNA组31例,CH-EUS-FNA组30例。参与者平均年龄为74±11.04岁,平均肿瘤大小为20.39±9.17 mm, 43个肿瘤位于远端胆管。最终诊断为胆管癌(37例)、胰管癌(12例)、其他恶性肿瘤(3例)、良性病变(9例)。EUS-FNA的诊断敏感性、特异性和准确性分别为83.3%、100%和87.1%,CH-EUS-FNA的诊断敏感性、特异性和准确性分别为82.1%、100%和83.3%。胆道塑料支架的放置和肿瘤的位置对结果没有影响。在90.9%的胆管癌病例中观察到CH-EUS高增强并快速冲洗。结论:标准EUS-FNA和CH-EUS-FNA对肝外胆管肿瘤的诊断准确性相当,但略有效率和不准确性指标优于标准EUS-FNA。
本文章由计算机程序翻译,如有差异,请以英文原文为准。
求助全文
约1分钟内获得全文 求助全文
来源期刊
Endoscopy International Open
Endoscopy International Open GASTROENTEROLOGY & HEPATOLOGY-
自引率
3.80%
发文量
270
×
引用
GB/T 7714-2015
复制
MLA
复制
APA
复制
导出至
BibTeX EndNote RefMan NoteFirst NoteExpress
×
提示
您的信息不完整,为了账户安全,请先补充。
现在去补充
×
提示
您因"违规操作"
具体请查看互助需知
我知道了
×
提示
确定
请完成安全验证×
copy
已复制链接
快去分享给好友吧!
我知道了
右上角分享
点击右上角分享
0
联系我们:info@booksci.cn Book学术提供免费学术资源搜索服务,方便国内外学者检索中英文文献。致力于提供最便捷和优质的服务体验。 Copyright © 2023 布克学术 All rights reserved.
京ICP备2023020795号-1
ghs 京公网安备 11010802042870号
Book学术文献互助
Book学术文献互助群
群 号:604180095
Book学术官方微信