From Retinal Vasculitis to Stroke, from Systemic Findings to Diagnosis, the Necessity of Multidisciplinary Management in Behçet's Disease: A Case Report.

IF 0.6 Q4 OPHTHALMOLOGY
Case Reports in Ophthalmology Pub Date : 2025-04-04 eCollection Date: 2025-01-01 DOI:10.1159/000545635
Sayena Jabbehdari, Anthony Oganov, Sami H Uwaydat
{"title":"From Retinal Vasculitis to Stroke, from Systemic Findings to Diagnosis, the Necessity of Multidisciplinary Management in Behçet's Disease: A Case Report.","authors":"Sayena Jabbehdari, Anthony Oganov, Sami H Uwaydat","doi":"10.1159/000545635","DOIUrl":null,"url":null,"abstract":"<p><strong>Introduction: </strong>Behçet's disease (BD) is a rare, chronic multisystem disorder characterized by occlusive vasculitis, which can present with a variety of systemic and ocular manifestations. The diagnosis of BD is often challenging, particularly in populations with low prevalence. Retinal vasculitis and stroke can be key indicators, and the early involvement of a multidisciplinary team is essential for accurate diagnosis and management to prevent long-term complications.</p><p><strong>Case presentation: </strong>A 40-year-old African American female presented with vision changes in her left eye and a history of multiple strokes. Examination revealed retinal ischemia and vasculitis, raising suspicion of an underlying systemic condition. Extensive workup for infectious and inflammatory causes was negative. As her condition progressed, the patient developed genital ulcers, prompting further investigation. A biopsy of the genital ulcer confirmed BD, and a multidisciplinary approach involving ophthalmology, rheumatology, and neurology was initiated. The patient was treated with high-dose corticosteroids, immunosuppressive therapy, and intravitreal corticosteroids, leading to stabilization of her ocular and systemic symptoms. Despite her history of stroke, the collaboration between specialties facilitated better management of her condition and prevention of further complications.</p><p><strong>Conclusion: </strong>It is crucial to include BD as a potential diagnosis in cases of ophthalmic or systemic vasculitis, even in regions and populations with low prevalence. Early referral to a rheumatologist for cases of vasculitis and timely collaboration are essential for accurate diagnosis, prevention of systemic complications, and appropriate management.</p>","PeriodicalId":9635,"journal":{"name":"Case Reports in Ophthalmology","volume":"16 1","pages":"317-322"},"PeriodicalIF":0.6000,"publicationDate":"2025-04-04","publicationTypes":"Journal Article","fieldsOfStudy":null,"isOpenAccess":false,"openAccessPdf":"https://www.ncbi.nlm.nih.gov/pmc/articles/PMC12077862/pdf/","citationCount":"0","resultStr":null,"platform":"Semanticscholar","paperid":null,"PeriodicalName":"Case Reports in Ophthalmology","FirstCategoryId":"1085","ListUrlMain":"https://doi.org/10.1159/000545635","RegionNum":0,"RegionCategory":null,"ArticlePicture":[],"TitleCN":null,"AbstractTextCN":null,"PMCID":null,"EPubDate":"2025/1/1 0:00:00","PubModel":"eCollection","JCR":"Q4","JCRName":"OPHTHALMOLOGY","Score":null,"Total":0}
引用次数: 0

Abstract

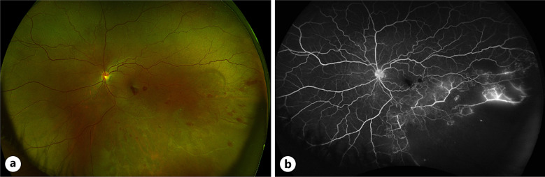
Introduction: Behçet's disease (BD) is a rare, chronic multisystem disorder characterized by occlusive vasculitis, which can present with a variety of systemic and ocular manifestations. The diagnosis of BD is often challenging, particularly in populations with low prevalence. Retinal vasculitis and stroke can be key indicators, and the early involvement of a multidisciplinary team is essential for accurate diagnosis and management to prevent long-term complications.

Case presentation: A 40-year-old African American female presented with vision changes in her left eye and a history of multiple strokes. Examination revealed retinal ischemia and vasculitis, raising suspicion of an underlying systemic condition. Extensive workup for infectious and inflammatory causes was negative. As her condition progressed, the patient developed genital ulcers, prompting further investigation. A biopsy of the genital ulcer confirmed BD, and a multidisciplinary approach involving ophthalmology, rheumatology, and neurology was initiated. The patient was treated with high-dose corticosteroids, immunosuppressive therapy, and intravitreal corticosteroids, leading to stabilization of her ocular and systemic symptoms. Despite her history of stroke, the collaboration between specialties facilitated better management of her condition and prevention of further complications.

Conclusion: It is crucial to include BD as a potential diagnosis in cases of ophthalmic or systemic vasculitis, even in regions and populations with low prevalence. Early referral to a rheumatologist for cases of vasculitis and timely collaboration are essential for accurate diagnosis, prevention of systemic complications, and appropriate management.

Abstract Image

从视网膜血管炎到中风,从系统发现到诊断,behet病多学科管理的必要性:一个病例报告。
behet病(BD)是一种罕见的慢性多系统疾病,以闭塞性血管炎为特征,可表现为多种全身和眼部表现。双相障碍的诊断通常具有挑战性,特别是在低患病率人群中。视网膜血管炎和中风可能是关键指标,多学科团队的早期介入对于准确诊断和管理以预防长期并发症至关重要。病例介绍:一名40岁非裔美国女性,左眼视力改变,有多次中风病史。检查显示视网膜缺血和血管炎,引起对潜在全身疾病的怀疑。广泛的感染和炎症检查均为阴性。随着病情的发展,患者出现生殖器溃疡,需要进一步调查。生殖器溃疡的活检证实了BD,并启动了包括眼科、风湿病学和神经病学在内的多学科方法。患者接受大剂量皮质类固醇、免疫抑制治疗和玻璃体内皮质类固醇治疗,眼部和全身症状稳定。尽管她有中风史,但专科之间的合作有助于更好地管理她的病情并预防进一步的并发症。结论:在眼科或全身性血管炎病例中,即使是在低患病率的地区和人群中,将BD作为潜在的诊断是至关重要的。血管炎病例的早期转诊和及时合作对于准确诊断、预防全身并发症和适当管理至关重要。
本文章由计算机程序翻译,如有差异,请以英文原文为准。
求助全文
约1分钟内获得全文 求助全文
来源期刊
CiteScore
0.90
自引率
0.00%
发文量
129
审稿时长
12 weeks
期刊介绍: This peer-reviewed online-only journal publishes original case reports covering the entire spectrum of ophthalmology, including prevention, diagnosis, treatment, toxicities of therapy, supportive care, quality-of-life, and survivorship issues. The submission of negative results is strongly encouraged. The journal will also accept case reports dealing with the use of novel technologies, both in the arena of diagnosis and treatment. Supplementary material is welcomed. The intent of the journal is to provide clinicians and researchers with a tool to disseminate their personal experiences to a wider public as well as to review interesting cases encountered by colleagues all over the world. Universally used terms can be searched across the entire growing collection of case reports, further facilitating the retrieval of specific information. Following the open access principle, the entire contents can be retrieved at no charge, guaranteeing easy access to this valuable source of anecdotal information at all times.
×
引用
GB/T 7714-2015
复制
MLA
复制
APA
复制
导出至
BibTeX EndNote RefMan NoteFirst NoteExpress
×
提示
您的信息不完整,为了账户安全,请先补充。
现在去补充
×
提示
您因"违规操作"
具体请查看互助需知
我知道了
×
提示
确定
请完成安全验证×
copy
已复制链接
快去分享给好友吧!
我知道了
右上角分享
点击右上角分享
0
联系我们:info@booksci.cn Book学术提供免费学术资源搜索服务,方便国内外学者检索中英文文献。致力于提供最便捷和优质的服务体验。 Copyright © 2023 布克学术 All rights reserved.
京ICP备2023020795号-1
ghs 京公网安备 11010802042870号
Book学术文献互助
Book学术文献互助群
群 号:604180095
Book学术官方微信