Novel Pathogenic Variants in IFT140 and IFT172 Genes in Three Patients with Similar Retinal Dystrophy Phenotypes.

IF 0.6 Q4 OPHTHALMOLOGY
Case Reports in Ophthalmology Pub Date : 2025-03-26 eCollection Date: 2025-01-01 DOI:10.1159/000545390
Jennifer Adeghate, Samantha R Goldburg, Sherry Bass, Joshua Schwimmer, Talia R Kaden
{"title":"Novel Pathogenic Variants in <i>IFT140</i> and <i>IFT172</i> Genes in Three Patients with Similar Retinal Dystrophy Phenotypes.","authors":"Jennifer Adeghate, Samantha R Goldburg, Sherry Bass, Joshua Schwimmer, Talia R Kaden","doi":"10.1159/000545390","DOIUrl":null,"url":null,"abstract":"<p><strong>Introduction: </strong>The intraflagellar transport (IFT) complex plays a key role in protein transport and turnover within photoreceptors. <i>IFT140</i> and <i>IFT172</i> gene mutations have been associated with skeletal ciliopathies that occur concurrently with retinal dystrophy. These mutations have also been associated with non-syndromic retinal dystrophies. This phenotypic heterogeneity can make diagnosis challenging. Here, we report novel variants in <i>IFT140</i> and <i>IFT172</i> genes in 3 patients with similar retinal dystrophy phenotypes.</p><p><strong>Case presentations: </strong>Two siblings (a 51-year-old male and 46-year-old male) who presented with a similar retinal dystrophy, skeletal abnormalities, and kidney disease were found to have the same novel variant in the <i>IFT140</i> gene, along with another, previously reported variant. An unrelated individual with a similar retinal phenotype was found to have a novel variant in the <i>IFT172</i> gene, although this was noted as a variant of uncertain significance. The patients underwent testing with the Blueprint Genetics (Blueprint Genetics Oy, Keilaranta 16 A-B, 02150 Espoo, Finland) \"My Retina Tracker Program Panel Plus\" panel.</p><p><strong>Conclusion: </strong>Novel variants in the <i>IFT140</i> and <i>IFT172</i> genes encoding the IFT complex may contribute to similar retinal dystrophy phenotypes, as noted in our case series.</p>","PeriodicalId":9635,"journal":{"name":"Case Reports in Ophthalmology","volume":"16 1","pages":"323-330"},"PeriodicalIF":0.6000,"publicationDate":"2025-03-26","publicationTypes":"Journal Article","fieldsOfStudy":null,"isOpenAccess":false,"openAccessPdf":"https://www.ncbi.nlm.nih.gov/pmc/articles/PMC12077866/pdf/","citationCount":"0","resultStr":null,"platform":"Semanticscholar","paperid":null,"PeriodicalName":"Case Reports in Ophthalmology","FirstCategoryId":"1085","ListUrlMain":"https://doi.org/10.1159/000545390","RegionNum":0,"RegionCategory":null,"ArticlePicture":[],"TitleCN":null,"AbstractTextCN":null,"PMCID":null,"EPubDate":"2025/1/1 0:00:00","PubModel":"eCollection","JCR":"Q4","JCRName":"OPHTHALMOLOGY","Score":null,"Total":0}
引用次数: 0

Abstract

Introduction: The intraflagellar transport (IFT) complex plays a key role in protein transport and turnover within photoreceptors. IFT140 and IFT172 gene mutations have been associated with skeletal ciliopathies that occur concurrently with retinal dystrophy. These mutations have also been associated with non-syndromic retinal dystrophies. This phenotypic heterogeneity can make diagnosis challenging. Here, we report novel variants in IFT140 and IFT172 genes in 3 patients with similar retinal dystrophy phenotypes.

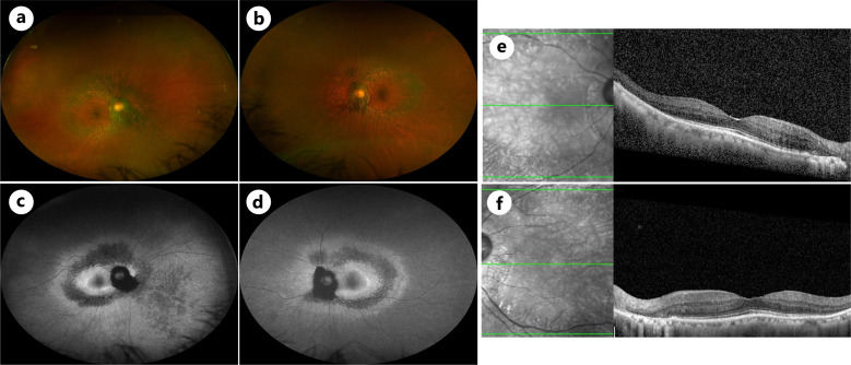
Case presentations: Two siblings (a 51-year-old male and 46-year-old male) who presented with a similar retinal dystrophy, skeletal abnormalities, and kidney disease were found to have the same novel variant in the IFT140 gene, along with another, previously reported variant. An unrelated individual with a similar retinal phenotype was found to have a novel variant in the IFT172 gene, although this was noted as a variant of uncertain significance. The patients underwent testing with the Blueprint Genetics (Blueprint Genetics Oy, Keilaranta 16 A-B, 02150 Espoo, Finland) "My Retina Tracker Program Panel Plus" panel.

Conclusion: Novel variants in the IFT140 and IFT172 genes encoding the IFT complex may contribute to similar retinal dystrophy phenotypes, as noted in our case series.

Abstract Image

Abstract Image

Abstract Image

三例视网膜营养不良相似表型患者中IFT140和IFT172基因的新致病变异
鞭毛内转运复合物(IFT)在光感受器内的蛋白质转运和转换中起着关键作用。IFT140和IFT172基因突变与并发视网膜营养不良的骨骼肌纤毛病有关。这些突变也与非综合征性视网膜营养不良有关。这种表型异质性使诊断具有挑战性。在这里,我们报告了3例视网膜营养不良表型相似的患者中IFT140和IFT172基因的新变异。病例介绍:两名兄弟姐妹(一名51岁男性和一名46岁男性)表现出相似的视网膜营养不良、骨骼异常和肾脏疾病,被发现在IFT140基因中具有相同的新变体,以及另一种先前报道的变体。一个具有相似视网膜表型的不相关个体被发现在IFT172基因中有一个新的变异,尽管这被认为是一个不确定意义的变异。患者接受Blueprint Genetics (Blueprint Genetics Oy, Keilaranta 16 A-B, 02150 Espoo, Finland)的检测。“我的视网膜跟踪程序面板+”面板。结论:编码IFT复合物的IFT140和IFT172基因的新变异可能导致类似的视网膜营养不良表型,正如我们的病例系列所指出的那样。
本文章由计算机程序翻译,如有差异,请以英文原文为准。
求助全文
约1分钟内获得全文 求助全文
来源期刊
CiteScore
0.90
自引率
0.00%
发文量
129
审稿时长
12 weeks
期刊介绍: This peer-reviewed online-only journal publishes original case reports covering the entire spectrum of ophthalmology, including prevention, diagnosis, treatment, toxicities of therapy, supportive care, quality-of-life, and survivorship issues. The submission of negative results is strongly encouraged. The journal will also accept case reports dealing with the use of novel technologies, both in the arena of diagnosis and treatment. Supplementary material is welcomed. The intent of the journal is to provide clinicians and researchers with a tool to disseminate their personal experiences to a wider public as well as to review interesting cases encountered by colleagues all over the world. Universally used terms can be searched across the entire growing collection of case reports, further facilitating the retrieval of specific information. Following the open access principle, the entire contents can be retrieved at no charge, guaranteeing easy access to this valuable source of anecdotal information at all times.
×
引用
GB/T 7714-2015
复制
MLA
复制
APA
复制
导出至
BibTeX EndNote RefMan NoteFirst NoteExpress
×
提示
您的信息不完整,为了账户安全,请先补充。
现在去补充
×
提示
您因"违规操作"
具体请查看互助需知
我知道了
×
提示
确定
请完成安全验证×
copy
已复制链接
快去分享给好友吧!
我知道了
右上角分享
点击右上角分享
0
联系我们:info@booksci.cn Book学术提供免费学术资源搜索服务,方便国内外学者检索中英文文献。致力于提供最便捷和优质的服务体验。 Copyright © 2023 布克学术 All rights reserved.
京ICP备2023020795号-1
ghs 京公网安备 11010802042870号
Book学术文献互助
Book学术文献互助群
群 号:604180095
Book学术官方微信