Cardiac tamponade revealing tuberculous pericarditis: a case report.

Access microbiology Pub Date : 2025-05-02 eCollection Date: 2025-01-01 DOI:10.1099/acmi.0.000983.v4
Oumaima Skalante, Mariam Hachimi Idrissi, Soukaina Cherkaoui, Elmostafa Benaissa, Yassine Ben Lahlou, Mariama Chadli
{"title":"Cardiac tamponade revealing tuberculous pericarditis: a case report.","authors":"Oumaima Skalante, Mariam Hachimi Idrissi, Soukaina Cherkaoui, Elmostafa Benaissa, Yassine Ben Lahlou, Mariama Chadli","doi":"10.1099/acmi.0.000983.v4","DOIUrl":null,"url":null,"abstract":"<p><p>Tuberculosis remains a major public health issue in Morocco. Pulmonary tuberculosis is the most common form, but various extrapulmonary forms exist. Tuberculous pericarditis is a rare form of extrapulmonary tuberculosis that can be complicated by cardiac tamponade, pericardial constriction or their combination, which can threaten the patient's life. Its clinical and radiological signs are nonspecific, and the clinical presentation can be misleading and incomplete, sometimes even with an initial tamponade. We report the case of a 68-year-old female patient admitted for intense retrosternal chest pain associated with acute dyspnoea, evolving in the context of unquantified weight loss and general deterioration. Additionally, she reported a history of fever and night sweats. Clinical examination revealed a conscious, febrile, hypotensive, tachycardic, polypneic patient with good oxygen saturation, signs of right heart failure and muffled heart sounds on auscultation. Chest X-ray revealed cardiomegaly, and the ECG showed diffuse low voltage. Given the presence of Beck's triad suggestive of cardiac tamponade, a transthoracic echocardiogram was performed, revealing a large pericardial effusion with a 'swinging heart'. A chest CT scan also confirmed the large pericardial effusion. The diagnosis of cardiac tamponade was made based on the clinical and radiological findings, and pericardial drainage was performed, after which the patient showed clinical improvement. PCR GenXpert MTB/RIF Ultra detected the presence of <i>Mycobacterium tuberculosis</i> in the pericardial fluid, with no resistance to rifampicin. Culture was positive for <i>M. tuberculosis</i>. The diagnosis of tuberculous pericarditis was, thus, confirmed, and the patient was started on quadruple antituberculosis therapy with good clinical progress.</p>","PeriodicalId":94366,"journal":{"name":"Access microbiology","volume":"7 5","pages":""},"PeriodicalIF":0.0000,"publicationDate":"2025-05-02","publicationTypes":"Journal Article","fieldsOfStudy":null,"isOpenAccess":false,"openAccessPdf":"https://www.ncbi.nlm.nih.gov/pmc/articles/PMC12048714/pdf/","citationCount":"0","resultStr":null,"platform":"Semanticscholar","paperid":null,"PeriodicalName":"Access microbiology","FirstCategoryId":"1085","ListUrlMain":"https://doi.org/10.1099/acmi.0.000983.v4","RegionNum":0,"RegionCategory":null,"ArticlePicture":[],"TitleCN":null,"AbstractTextCN":null,"PMCID":null,"EPubDate":"2025/1/1 0:00:00","PubModel":"eCollection","JCR":"","JCRName":"","Score":null,"Total":0}
引用次数: 0

Abstract

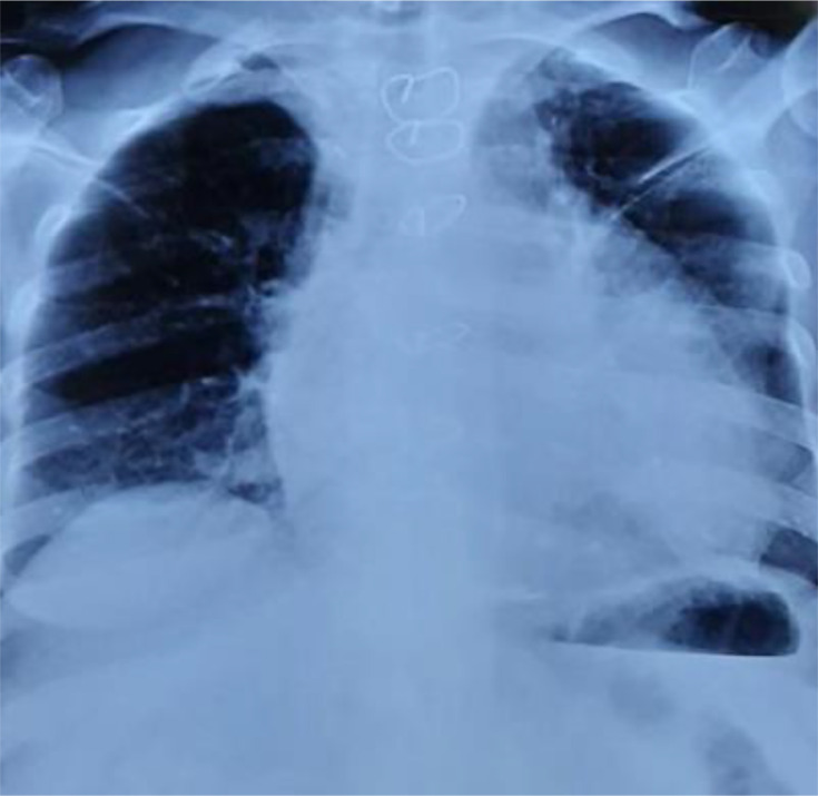
Tuberculosis remains a major public health issue in Morocco. Pulmonary tuberculosis is the most common form, but various extrapulmonary forms exist. Tuberculous pericarditis is a rare form of extrapulmonary tuberculosis that can be complicated by cardiac tamponade, pericardial constriction or their combination, which can threaten the patient's life. Its clinical and radiological signs are nonspecific, and the clinical presentation can be misleading and incomplete, sometimes even with an initial tamponade. We report the case of a 68-year-old female patient admitted for intense retrosternal chest pain associated with acute dyspnoea, evolving in the context of unquantified weight loss and general deterioration. Additionally, she reported a history of fever and night sweats. Clinical examination revealed a conscious, febrile, hypotensive, tachycardic, polypneic patient with good oxygen saturation, signs of right heart failure and muffled heart sounds on auscultation. Chest X-ray revealed cardiomegaly, and the ECG showed diffuse low voltage. Given the presence of Beck's triad suggestive of cardiac tamponade, a transthoracic echocardiogram was performed, revealing a large pericardial effusion with a 'swinging heart'. A chest CT scan also confirmed the large pericardial effusion. The diagnosis of cardiac tamponade was made based on the clinical and radiological findings, and pericardial drainage was performed, after which the patient showed clinical improvement. PCR GenXpert MTB/RIF Ultra detected the presence of Mycobacterium tuberculosis in the pericardial fluid, with no resistance to rifampicin. Culture was positive for M. tuberculosis. The diagnosis of tuberculous pericarditis was, thus, confirmed, and the patient was started on quadruple antituberculosis therapy with good clinical progress.

Abstract Image

Abstract Image

Abstract Image

心包填塞显示结核性心包炎1例。
结核病仍然是摩洛哥的一个主要公共卫生问题。肺结核是最常见的形式,但也存在多种肺外形式。结核性心包炎是一种罕见的肺外结核,可并发心包填塞、心包收缩或两者合并,危及患者生命。它的临床和放射学征象是非特异性的,临床表现可能是误导和不完整的,有时甚至有最初的填塞。我们报告一例68岁的女性患者,因剧烈胸骨后胸痛并伴有急性呼吸困难而入院,在未量化的体重减轻和全身恶化的背景下发展。此外,她还报告有发热和盗汗病史。临床检查显示患者意识清醒、发热、低血压、心动过速、多息,血氧饱和度良好,有右心衰征象,听诊心音不清。胸片示心脏肿大,心电图示弥漫性低电压。考虑到贝克三联征提示心脏填塞,经胸超声心动图显示大量心包积液伴“摇摆心”。胸部CT扫描也证实有大量心包积液。根据临床及影像学表现诊断为心包填塞,并行心包引流,术后患者临床好转。PCR GenXpert MTB/RIF Ultra检测到心包液中存在结核分枝杆菌,对利福平无耐药性。结核分枝杆菌培养呈阳性。确诊结核性心包炎,开始四联抗结核治疗,临床进展良好。
本文章由计算机程序翻译,如有差异,请以英文原文为准。
求助全文
约1分钟内获得全文 求助全文
来源期刊
CiteScore
2.00
自引率
0.00%
发文量
0
×
引用
GB/T 7714-2015
复制
MLA
复制
APA
复制
导出至
BibTeX EndNote RefMan NoteFirst NoteExpress
×
提示
您的信息不完整,为了账户安全,请先补充。
现在去补充
×
提示
您因"违规操作"
具体请查看互助需知
我知道了
×
提示
确定
请完成安全验证×
copy
已复制链接
快去分享给好友吧!
我知道了
右上角分享
点击右上角分享
0
联系我们:info@booksci.cn Book学术提供免费学术资源搜索服务,方便国内外学者检索中英文文献。致力于提供最便捷和优质的服务体验。 Copyright © 2023 布克学术 All rights reserved.
京ICP备2023020795号-1
ghs 京公网安备 11010802042870号
Book学术文献互助
Book学术文献互助群
群 号:604180095
Book学术官方微信