Diffuse choroidal hemangioma: Ophthalmic outcomes following intensity-modulated radiation therapy.

IF 1.2 Q4 OPHTHALMOLOGY
Taiwan Journal of Ophthalmology Pub Date : 2025-03-10 eCollection Date: 2025-01-01 DOI:10.4103/tjo.TJO-D-24-00139
Jose Cijin Puthussery, Adannia Ufondu, Sheen Cherian, Arun D Singh
{"title":"Diffuse choroidal hemangioma: Ophthalmic outcomes following intensity-modulated radiation therapy.","authors":"Jose Cijin Puthussery, Adannia Ufondu, Sheen Cherian, Arun D Singh","doi":"10.4103/tjo.TJO-D-24-00139","DOIUrl":null,"url":null,"abstract":"<p><strong>Purpose: </strong>To report outcomes in patients treated with low-dose lens-sparing intensity-modulated radiation therapy (IMRT) for diffuse choroidal hemangioma (DCH) associated subretinal (subfoveal) fluid (SRF).</p><p><strong>Material and methods: </strong>Retrospective interventional case series. 10 patients (11 eyes) treated with IMRT for diffuse choroidal hemangioma-associated SRF. Resolution of subretinal fluid, tumor regression, and best-corrected visual acuity (BCVA).</p><p><strong>Results: </strong>The mean age was 9.9 years (range, 0.3-32), with 8 (73%) having exudative retinal detachment in the right eye. The rationale for treatment was the presence of SRF (11 eyes, 100%). At baseline, the maximal height of the tumor was 3.4 mm (range, 1.7-5.3). The mean BCVA in the affected eye was 40 ETDRS letters (range, 5-75). All eyes were treated with IMRT (lens-sparing) at a dose of 20 Gy in 10 fractions. Patients were followed up for an average duration of 7 years (range 6-120 months), with 9 (82%) followed up for more than 2 years. Resolution of SRF was noted in all 11 (100%) eyes, with 6 (55%) eyes showing resolution within 3 months. Tumor response was observed in all eyes 11 (100%) (reduction or stabilization of tumor height), with the mean posttreatment height of 2.0 mm. BCVA improved or remained stable in 10 (91%). Radiation-related complications (cataracts, radiation retinopathy, radiation optic neuropathy) were not observed in any of the treated patients.</p><p><strong>Conclusions: </strong>Low-dose lens-sparing IMRT is a highly effective treatment for diffuse choroidal hemangioma. IMRT resolves subretinal fluid, induces tumor regression, and preserves visual acuity in vast majority of cases.</p>","PeriodicalId":44978,"journal":{"name":"Taiwan Journal of Ophthalmology","volume":"15 1","pages":"103-108"},"PeriodicalIF":1.2000,"publicationDate":"2025-03-10","publicationTypes":"Journal Article","fieldsOfStudy":null,"isOpenAccess":false,"openAccessPdf":"https://www.ncbi.nlm.nih.gov/pmc/articles/PMC11981576/pdf/","citationCount":"0","resultStr":null,"platform":"Semanticscholar","paperid":null,"PeriodicalName":"Taiwan Journal of Ophthalmology","FirstCategoryId":"1085","ListUrlMain":"https://doi.org/10.4103/tjo.TJO-D-24-00139","RegionNum":0,"RegionCategory":null,"ArticlePicture":[],"TitleCN":null,"AbstractTextCN":null,"PMCID":null,"EPubDate":"2025/1/1 0:00:00","PubModel":"eCollection","JCR":"Q4","JCRName":"OPHTHALMOLOGY","Score":null,"Total":0}
引用次数: 0

Abstract

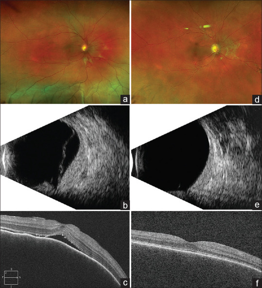
Purpose: To report outcomes in patients treated with low-dose lens-sparing intensity-modulated radiation therapy (IMRT) for diffuse choroidal hemangioma (DCH) associated subretinal (subfoveal) fluid (SRF).

Material and methods: Retrospective interventional case series. 10 patients (11 eyes) treated with IMRT for diffuse choroidal hemangioma-associated SRF. Resolution of subretinal fluid, tumor regression, and best-corrected visual acuity (BCVA).

Results: The mean age was 9.9 years (range, 0.3-32), with 8 (73%) having exudative retinal detachment in the right eye. The rationale for treatment was the presence of SRF (11 eyes, 100%). At baseline, the maximal height of the tumor was 3.4 mm (range, 1.7-5.3). The mean BCVA in the affected eye was 40 ETDRS letters (range, 5-75). All eyes were treated with IMRT (lens-sparing) at a dose of 20 Gy in 10 fractions. Patients were followed up for an average duration of 7 years (range 6-120 months), with 9 (82%) followed up for more than 2 years. Resolution of SRF was noted in all 11 (100%) eyes, with 6 (55%) eyes showing resolution within 3 months. Tumor response was observed in all eyes 11 (100%) (reduction or stabilization of tumor height), with the mean posttreatment height of 2.0 mm. BCVA improved or remained stable in 10 (91%). Radiation-related complications (cataracts, radiation retinopathy, radiation optic neuropathy) were not observed in any of the treated patients.

Conclusions: Low-dose lens-sparing IMRT is a highly effective treatment for diffuse choroidal hemangioma. IMRT resolves subretinal fluid, induces tumor regression, and preserves visual acuity in vast majority of cases.

Abstract Image

Abstract Image

Abstract Image

弥漫性脉络膜血管瘤:调强放疗后的眼科预后。
目的:报告低剂量保留晶状体的调强放射治疗(IMRT)治疗弥漫性脉络膜血管瘤(DCH)相关视网膜下(中央凹下)积液(SRF)的患者的结果。材料和方法:回顾性介入病例系列。10例(11眼)采用IMRT治疗弥漫性脉络膜血管瘤相关SRF。视网膜下液的溶解、肿瘤消退和最佳矫正视力(BCVA)。结果:平均年龄9.9岁(0.3 ~ 32岁),右眼渗出性视网膜脱离8例(73%)。治疗的理由是存在SRF(11只眼,100%)。在基线时,肿瘤的最大高度为3.4 mm(范围为1.7-5.3)。受累眼的BCVA平均为40个ETDRS字母(范围5-75)。所有眼睛均接受10份剂量为20 Gy的IMRT(保留晶状体)治疗。患者平均随访时间为7年(6-120个月),其中9例(82%)随访时间超过2年。所有11只眼(100%)的SRF都得到了解决,其中6只眼(55%)在3个月内得到了解决。11只(100%)眼观察到肿瘤反应(肿瘤高度降低或稳定),治疗后平均高度为2.0 mm。10例(91%)BCVA改善或保持稳定。所有接受治疗的患者均未发生放射相关并发症(白内障、放射性视网膜病变、放射性视神经病变)。结论:低剂量保留晶状体的IMRT是治疗弥漫性脉络膜血管瘤的有效方法。在绝大多数情况下,IMRT可溶解视网膜下积液,诱导肿瘤消退,并保持视力。
本文章由计算机程序翻译,如有差异,请以英文原文为准。
求助全文
约1分钟内获得全文 求助全文
来源期刊
CiteScore
1.80
自引率
9.10%
发文量
68
审稿时长
19 weeks
×
引用
GB/T 7714-2015
复制
MLA
复制
APA
复制
导出至
BibTeX EndNote RefMan NoteFirst NoteExpress
×
提示
您的信息不完整,为了账户安全,请先补充。
现在去补充
×
提示
您因"违规操作"
具体请查看互助需知
我知道了
×
提示
确定
请完成安全验证×
copy
已复制链接
快去分享给好友吧!
我知道了
右上角分享
点击右上角分享
0
联系我们:info@booksci.cn Book学术提供免费学术资源搜索服务,方便国内外学者检索中英文文献。致力于提供最便捷和优质的服务体验。 Copyright © 2023 布克学术 All rights reserved.
京ICP备2023020795号-1
ghs 京公网安备 11010802042870号
Book学术文献互助
Book学术文献互助群
群 号:604180095
Book学术官方微信