At the crossroad between Ewing sarcoma and neuroblastoma: a report of two cases of Ewing sarcoma with post treatment neuroblastoma-like differentiation.

IF 2.3 3区 医学 Q2 PATHOLOGY
Giorgia Arcovito, Giacomo Aringhieri, Virna Zampa, Luca Coccoli, Lorenzo Andreani, Alessandro Franchi
{"title":"At the crossroad between Ewing sarcoma and neuroblastoma: a report of two cases of Ewing sarcoma with post treatment neuroblastoma-like differentiation.","authors":"Giorgia Arcovito, Giacomo Aringhieri, Virna Zampa, Luca Coccoli, Lorenzo Andreani, Alessandro Franchi","doi":"10.1186/s13000-025-01649-8","DOIUrl":null,"url":null,"abstract":"<p><strong>Background: </strong>Ewing sarcoma (ES) is the second most frequent sarcoma of bone, often affecting young patients and pursuing an aggressive clinical course. Among therapeutic choices, radio- and chemotherapy are employed in neoadjuvant setting, and they yield variable histological changes in neoplastic tissue, which mainly include necrosis and fibrosis. Cytodifferentiation is seldom observed in pediatric tumors such as nephroblastoma and rhabdomyosarcoma following treatment. Nevertheless, it represents an extremely rare phenomenon in ES.</p><p><strong>Case presentation: </strong>In this study we present the clinico-pathologic and molecular features of two cases of ES undergoing neuroblastoma-like differentiation after treatment. Both tumors were primarily located in bone and presented the histologic and immunohistochemical features of classic ES in needle biopsies. They were treated with standard chemotherapy protocols followed by surgical resection. The resection specimens of the primary tumor of patient 1 and pleural metastases of patient 2 presented foci of eosinophilic fibrillary stroma resembling neuropil and containing cellular elements with wide granular eosinophilic cytoplasm, eccentric nuclei containing vesicular chromatin and prominent nucleoli, reminiscent of ganglion cells. These cells were positive for chromogranin, synaptophysin and CD56, while CD99 was negative. Molecular confirmation of EWSR1 rearrangement was provided in both cases by next generation sequencing and FISH analysis.</p><p><strong>Conclusions: </strong>Evidence of neural differentiation in ES unravels interesting hints about its controversial histogenesis. Furthermore, awareness of this event must be increased to avoid misdiagnosis with neuroblastoma, which shows significant morphological overlap.</p>","PeriodicalId":11237,"journal":{"name":"Diagnostic Pathology","volume":"20 1","pages":"50"},"PeriodicalIF":2.3000,"publicationDate":"2025-04-23","publicationTypes":"Journal Article","fieldsOfStudy":null,"isOpenAccess":false,"openAccessPdf":"https://www.ncbi.nlm.nih.gov/pmc/articles/PMC12016484/pdf/","citationCount":"0","resultStr":null,"platform":"Semanticscholar","paperid":null,"PeriodicalName":"Diagnostic Pathology","FirstCategoryId":"3","ListUrlMain":"https://doi.org/10.1186/s13000-025-01649-8","RegionNum":3,"RegionCategory":"医学","ArticlePicture":[],"TitleCN":null,"AbstractTextCN":null,"PMCID":null,"EPubDate":"","PubModel":"","JCR":"Q2","JCRName":"PATHOLOGY","Score":null,"Total":0}
引用次数: 0

Abstract

Background: Ewing sarcoma (ES) is the second most frequent sarcoma of bone, often affecting young patients and pursuing an aggressive clinical course. Among therapeutic choices, radio- and chemotherapy are employed in neoadjuvant setting, and they yield variable histological changes in neoplastic tissue, which mainly include necrosis and fibrosis. Cytodifferentiation is seldom observed in pediatric tumors such as nephroblastoma and rhabdomyosarcoma following treatment. Nevertheless, it represents an extremely rare phenomenon in ES.

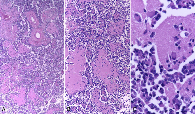
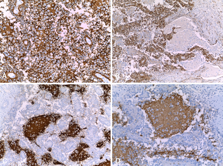
Case presentation: In this study we present the clinico-pathologic and molecular features of two cases of ES undergoing neuroblastoma-like differentiation after treatment. Both tumors were primarily located in bone and presented the histologic and immunohistochemical features of classic ES in needle biopsies. They were treated with standard chemotherapy protocols followed by surgical resection. The resection specimens of the primary tumor of patient 1 and pleural metastases of patient 2 presented foci of eosinophilic fibrillary stroma resembling neuropil and containing cellular elements with wide granular eosinophilic cytoplasm, eccentric nuclei containing vesicular chromatin and prominent nucleoli, reminiscent of ganglion cells. These cells were positive for chromogranin, synaptophysin and CD56, while CD99 was negative. Molecular confirmation of EWSR1 rearrangement was provided in both cases by next generation sequencing and FISH analysis.

Conclusions: Evidence of neural differentiation in ES unravels interesting hints about its controversial histogenesis. Furthermore, awareness of this event must be increased to avoid misdiagnosis with neuroblastoma, which shows significant morphological overlap.

Abstract Image

Abstract Image

Abstract Image

尤因肉瘤与神经母细胞瘤的十字路口:尤因肉瘤治疗后出现神经母细胞瘤样分化2例报告。
背景:尤文氏肉瘤(Ewing sarcoma, ES)是第二常见的骨肉瘤,常影响年轻患者,并具有侵袭性的临床病程。在治疗选择中,放疗和化疗在新辅助设置中使用,它们在肿瘤组织中产生可变的组织学改变,主要包括坏死和纤维化。在儿童肿瘤如肾母细胞瘤和横纹肌肉瘤治疗后很少观察到细胞分化。然而,这在ES中是一种极其罕见的现象。病例介绍:在本研究中,我们报告了两例经治疗后发生神经母细胞瘤样分化的ES的临床病理和分子特征。这两个肿瘤主要位于骨中,在针活检中表现出典型ES的组织学和免疫组织化学特征。他们接受标准的化疗方案,然后进行手术切除。患者1的原发肿瘤和患者2的胸膜转移灶的切除标本显示嗜酸性纤维间质灶,类似于神经节细胞,含有嗜酸性细胞的宽颗粒细胞质,偏心核含有泡状染色质和突出的核仁,使人联想到神经节细胞。这些细胞嗜铬粒蛋白、突触素和CD56阳性,CD99阴性。通过下一代测序和FISH分析,这两种情况下的EWSR1重排都得到了分子证实。结论:ES神经分化的证据揭示了其有争议的组织发生的有趣线索。此外,必须提高对这一事件的认识,以避免误诊为神经母细胞瘤,神经母细胞瘤表现出明显的形态学重叠。
本文章由计算机程序翻译,如有差异,请以英文原文为准。
求助全文
约1分钟内获得全文 求助全文
来源期刊
Diagnostic Pathology
Diagnostic Pathology 医学-病理学
CiteScore
4.60
自引率
0.00%
发文量
93
审稿时长
1 months
期刊介绍: Diagnostic Pathology is an open access, peer-reviewed, online journal that considers research in surgical and clinical pathology, immunology, and biology, with a special focus on cutting-edge approaches in diagnostic pathology and tissue-based therapy. The journal covers all aspects of surgical pathology, including classic diagnostic pathology, prognosis-related diagnosis (tumor stages, prognosis markers, such as MIB-percentage, hormone receptors, etc.), and therapy-related findings. The journal also focuses on the technological aspects of pathology, including molecular biology techniques, morphometry aspects (stereology, DNA analysis, syntactic structure analysis), communication aspects (telecommunication, virtual microscopy, virtual pathology institutions, etc.), and electronic education and quality assurance (for example interactive publication, on-line references with automated updating, etc.).
×
引用
GB/T 7714-2015
复制
MLA
复制
APA
复制
导出至
BibTeX EndNote RefMan NoteFirst NoteExpress
×
提示
您的信息不完整,为了账户安全,请先补充。
现在去补充
×
提示
您因"违规操作"
具体请查看互助需知
我知道了
×
提示
确定
请完成安全验证×
copy
已复制链接
快去分享给好友吧!
我知道了
右上角分享
点击右上角分享
0
联系我们:info@booksci.cn Book学术提供免费学术资源搜索服务,方便国内外学者检索中英文文献。致力于提供最便捷和优质的服务体验。 Copyright © 2023 布克学术 All rights reserved.
京ICP备2023020795号-1
ghs 京公网安备 11010802042870号
Book学术文献互助
Book学术文献互助群
群 号:604180095
Book学术官方微信