Pityriasis rosea-like eruption induced by omalizumab: a case report of a rare side effect.

IF 0.7 Q3 MEDICINE, GENERAL & INTERNAL
AME Case Reports Pub Date : 2025-04-17 eCollection Date: 2025-01-01 DOI:10.21037/acr-24-114
Lamia Alakrash, Lama Alzamil, Mohammed Aljughayman, Salman Almalki
{"title":"Pityriasis rosea-like eruption induced by omalizumab: a case report of a rare side effect.","authors":"Lamia Alakrash, Lama Alzamil, Mohammed Aljughayman, Salman Almalki","doi":"10.21037/acr-24-114","DOIUrl":null,"url":null,"abstract":"<p><strong>Background: </strong>Omalizumab is a monoclonal humanized antibody used as a third-line treatment for chronic spontaneous urticaria (CSU). While it has shown significant efficacy in controlling urticaria symptoms, it is also associated with various adverse effects. Cutaneous side effects of omalizumab have been reported, but the mechanisms underlying these reactions are not fully understood. This case report describes a patient who developed a maculopapular rash after receiving the 8th dose of omalizumab, which has not been previously reported.</p><p><strong>Case description: </strong>The patient in this case was a 46-year-old male with CSU who had been receiving omalizumab injections every four weeks. After the 8th dose, he developed a generalized itchy erythematous skin eruption six days after the injection. The rash progressively worsened over a two-week period. Interestingly, the patient had experienced a milder skin reaction after the 6th dose, which resolved on its own. A skin biopsy showed mild interstitial edema in the dermis with a mild perivascular infiltrate of lymphocytes and eosinophils, consistent with a drug-induced eruption. The patient was advised to hold the next dose of omalizumab and was managed with topical steroids. Significant improvement and resolution of the lesions were observed, and no recurrence or relapse was reported after the patient resumed omalizumab.</p><p><strong>Conclusions: </strong>This case adds to the existing literature by reporting a pityriasis rosea-like eruption as an adverse reaction to omalizumab, which has not been extensively documented. The delayed onset and progressive nature of the rash after the 8th dose, as well as the milder previous reaction after the 6th dose, highlight the importance of considering omalizumab as a potential cause of various cutaneous reactions. Physicians should be vigilant in monitoring patients receiving omalizumab for any signs of skin eruptions or other adverse effects. Further research is needed to understand the mechanisms underlying cutaneous reactions to omalizumab and to establish guidelines for their management. This case emphasizes the need for ongoing attention to potential side effects or reactions in patients receiving omalizumab.</p>","PeriodicalId":29752,"journal":{"name":"AME Case Reports","volume":"9 ","pages":"65"},"PeriodicalIF":0.7000,"publicationDate":"2025-04-17","publicationTypes":"Journal Article","fieldsOfStudy":null,"isOpenAccess":false,"openAccessPdf":"https://www.ncbi.nlm.nih.gov/pmc/articles/PMC12053656/pdf/","citationCount":"0","resultStr":null,"platform":"Semanticscholar","paperid":null,"PeriodicalName":"AME Case Reports","FirstCategoryId":"1085","ListUrlMain":"https://doi.org/10.21037/acr-24-114","RegionNum":0,"RegionCategory":null,"ArticlePicture":[],"TitleCN":null,"AbstractTextCN":null,"PMCID":null,"EPubDate":"2025/1/1 0:00:00","PubModel":"eCollection","JCR":"Q3","JCRName":"MEDICINE, GENERAL & INTERNAL","Score":null,"Total":0}
引用次数: 0

Abstract

Background: Omalizumab is a monoclonal humanized antibody used as a third-line treatment for chronic spontaneous urticaria (CSU). While it has shown significant efficacy in controlling urticaria symptoms, it is also associated with various adverse effects. Cutaneous side effects of omalizumab have been reported, but the mechanisms underlying these reactions are not fully understood. This case report describes a patient who developed a maculopapular rash after receiving the 8th dose of omalizumab, which has not been previously reported.

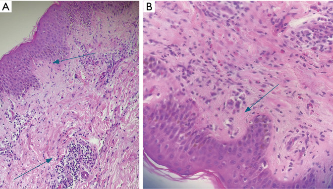
Case description: The patient in this case was a 46-year-old male with CSU who had been receiving omalizumab injections every four weeks. After the 8th dose, he developed a generalized itchy erythematous skin eruption six days after the injection. The rash progressively worsened over a two-week period. Interestingly, the patient had experienced a milder skin reaction after the 6th dose, which resolved on its own. A skin biopsy showed mild interstitial edema in the dermis with a mild perivascular infiltrate of lymphocytes and eosinophils, consistent with a drug-induced eruption. The patient was advised to hold the next dose of omalizumab and was managed with topical steroids. Significant improvement and resolution of the lesions were observed, and no recurrence or relapse was reported after the patient resumed omalizumab.

Conclusions: This case adds to the existing literature by reporting a pityriasis rosea-like eruption as an adverse reaction to omalizumab, which has not been extensively documented. The delayed onset and progressive nature of the rash after the 8th dose, as well as the milder previous reaction after the 6th dose, highlight the importance of considering omalizumab as a potential cause of various cutaneous reactions. Physicians should be vigilant in monitoring patients receiving omalizumab for any signs of skin eruptions or other adverse effects. Further research is needed to understand the mechanisms underlying cutaneous reactions to omalizumab and to establish guidelines for their management. This case emphasizes the need for ongoing attention to potential side effects or reactions in patients receiving omalizumab.

Abstract Image

Abstract Image

Abstract Image

奥玛珠单抗引起玫瑰样糠疹:一例罕见副作用报告。
背景:Omalizumab是一种单克隆人源化抗体,用于慢性自发性荨麻疹(CSU)的三线治疗。虽然它在控制荨麻疹症状方面显示出显著的疗效,但它也与各种不良反应有关。奥玛珠单抗的皮肤副作用已有报道,但这些反应的机制尚不完全清楚。本病例报告描述了一位患者在接受第8剂奥玛珠单抗后出现斑疹,这在以前没有报道过。病例描述:该病例的患者是一名患有CSU的46岁男性,每四周接受一次omalizumab注射。第8次给药后,患者在注射后6天出现全身发痒的红斑性皮肤疹。皮疹在两周内逐渐恶化。有趣的是,在第6次给药后,患者的皮肤反应较轻,并自行消退。皮肤活检显示真皮轻度间质水肿,伴轻度血管周围淋巴细胞和嗜酸性粒细胞浸润,符合药物引起的皮疹。建议患者坚持下一剂量的奥玛珠单抗,并给予局部类固醇治疗。观察到病变明显改善和消退,患者恢复使用奥玛单抗后无复发或复发报告。结论:该病例增加了现有文献,报告了作为奥玛单抗不良反应的玫瑰糠疹样皮疹,但尚未被广泛记录。第8次给药后皮疹的迟发性和进行性,以及第6次给药后较轻的先前反应,突出了将omalizumab视为各种皮肤反应的潜在原因的重要性。医生应警惕监测接受奥玛珠单抗治疗的患者是否有皮肤出疹或其他不良反应的迹象。需要进一步的研究来了解皮肤对omalizumab反应的机制,并建立其管理指南。该病例强调需要持续关注接受omalizumab的患者的潜在副作用或反应。
本文章由计算机程序翻译,如有差异,请以英文原文为准。
求助全文
约1分钟内获得全文 求助全文
来源期刊
自引率
0.00%
发文量
0
×
引用
GB/T 7714-2015
复制
MLA
复制
APA
复制
导出至
BibTeX EndNote RefMan NoteFirst NoteExpress
×
提示
您的信息不完整,为了账户安全,请先补充。
现在去补充
×
提示
您因"违规操作"
具体请查看互助需知
我知道了
×
提示
确定
请完成安全验证×
copy
已复制链接
快去分享给好友吧!
我知道了
右上角分享
点击右上角分享
0
联系我们:info@booksci.cn Book学术提供免费学术资源搜索服务,方便国内外学者检索中英文文献。致力于提供最便捷和优质的服务体验。 Copyright © 2023 布克学术 All rights reserved.
京ICP备2023020795号-1
ghs 京公网安备 11010802042870号
Book学术文献互助
Book学术文献互助群
群 号:604180095
Book学术官方微信