General Anesthesia Surgery for Early Breast Cancer in a Patient with Severe Heart Failure due to Dilated Cardiomyopathy: A Case Report.

IF 0.7 Q4 SURGERY
Surgical Case Reports Pub Date : 2025-01-01 Epub Date: 2025-04-09 DOI:10.70352/scrj.cr.25-0034
Tomohiro Oshino, Karin Shikishima, Yumi Moriya, Mitsuchika Hosoda, Kiwamu Kamiya, Toshiyuki Nagai, Toshihisa Anzai, Masato Takahashi
{"title":"General Anesthesia Surgery for Early Breast Cancer in a Patient with Severe Heart Failure due to Dilated Cardiomyopathy: A Case Report.","authors":"Tomohiro Oshino, Karin Shikishima, Yumi Moriya, Mitsuchika Hosoda, Kiwamu Kamiya, Toshiyuki Nagai, Toshihisa Anzai, Masato Takahashi","doi":"10.70352/scrj.cr.25-0034","DOIUrl":null,"url":null,"abstract":"<p><strong>Introduction: </strong>Perioperative mortality is significantly higher in cases of heart failure with severe left ventricular ejection fraction (LVEF) reduction, making it challenging to decide whether to proceed with surgery for early-stage breast cancer, which is not immediately fatal. However, the prognosis of heart failure has improved and breast cancer is increasingly becoming a prognostic factor. Herein, we report the case of a breast cancer patient with severe heart failure due to dilated cardiomyopathy (DC), who was deemed fit to undergo surgery under general anesthesia after obtaining sufficient informed consent and achieving improvement in heart failure symptoms during endocrine therapy.</p><p><strong>Case presentation: </strong>A 64-year-old female with a history of DC and sustained ventricular tachycardia, who had received cardiac resynchronization therapy with defibrillator implantation, underwent breast cancer surgery. She had been repeatedly hospitalized for heart failure with an LVEF of 19% and New York Heart Association (NYHA) Class III status, and heart transplant surgery was considered. However, a screening computed tomography scan revealed right breast cancer, and neither heart transplantation nor breast cancer surgery was performed. Endocrine therapy was initiated and failed 48 months after administration. Although the LVEF remained low at 21%, the NYHA classification improved to Class II, and she had not been hospitalized for heart failure for an extended period since her breast cancer diagnosis. Therefore, breast cancer surgery was performed under general anesthesia and no postoperative complications were observed throughout the course of the surgery.</p><p><strong>Conclusion: </strong>Given that the prognosis for heart failure may statistically be better than that for breast cancer, early breast cancer surgery should be performed in patients with stable heart failure symptoms.</p>","PeriodicalId":22096,"journal":{"name":"Surgical Case Reports","volume":"11 1","pages":""},"PeriodicalIF":0.7000,"publicationDate":"2025-01-01","publicationTypes":"Journal Article","fieldsOfStudy":null,"isOpenAccess":false,"openAccessPdf":"https://www.ncbi.nlm.nih.gov/pmc/articles/PMC12006746/pdf/","citationCount":"0","resultStr":null,"platform":"Semanticscholar","paperid":null,"PeriodicalName":"Surgical Case Reports","FirstCategoryId":"1085","ListUrlMain":"https://doi.org/10.70352/scrj.cr.25-0034","RegionNum":0,"RegionCategory":null,"ArticlePicture":[],"TitleCN":null,"AbstractTextCN":null,"PMCID":null,"EPubDate":"2025/4/9 0:00:00","PubModel":"Epub","JCR":"Q4","JCRName":"SURGERY","Score":null,"Total":0}
引用次数: 0

Abstract

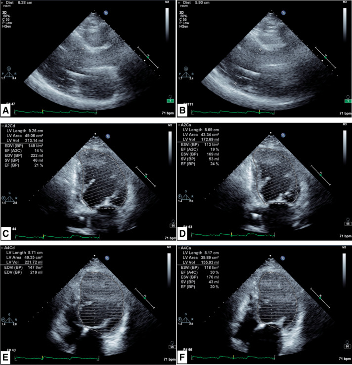
Introduction: Perioperative mortality is significantly higher in cases of heart failure with severe left ventricular ejection fraction (LVEF) reduction, making it challenging to decide whether to proceed with surgery for early-stage breast cancer, which is not immediately fatal. However, the prognosis of heart failure has improved and breast cancer is increasingly becoming a prognostic factor. Herein, we report the case of a breast cancer patient with severe heart failure due to dilated cardiomyopathy (DC), who was deemed fit to undergo surgery under general anesthesia after obtaining sufficient informed consent and achieving improvement in heart failure symptoms during endocrine therapy.

Case presentation: A 64-year-old female with a history of DC and sustained ventricular tachycardia, who had received cardiac resynchronization therapy with defibrillator implantation, underwent breast cancer surgery. She had been repeatedly hospitalized for heart failure with an LVEF of 19% and New York Heart Association (NYHA) Class III status, and heart transplant surgery was considered. However, a screening computed tomography scan revealed right breast cancer, and neither heart transplantation nor breast cancer surgery was performed. Endocrine therapy was initiated and failed 48 months after administration. Although the LVEF remained low at 21%, the NYHA classification improved to Class II, and she had not been hospitalized for heart failure for an extended period since her breast cancer diagnosis. Therefore, breast cancer surgery was performed under general anesthesia and no postoperative complications were observed throughout the course of the surgery.

Conclusion: Given that the prognosis for heart failure may statistically be better than that for breast cancer, early breast cancer surgery should be performed in patients with stable heart failure symptoms.

Abstract Image

Abstract Image

Abstract Image

全麻手术治疗扩张型心肌病致严重心力衰竭的早期乳腺癌1例。
导论:伴有严重左心室射血分数(LVEF)降低的心力衰竭患者围手术期死亡率明显更高,这使得决定是否继续进行早期乳腺癌手术变得具有挑战性,因为早期乳腺癌并不立即致命。然而,心力衰竭的预后已经改善,乳腺癌正日益成为一个预后因素。在此,我们报告一例扩张型心肌病(DC)导致的严重心力衰竭的乳腺癌患者,在获得充分的知情同意并在内分泌治疗期间心力衰竭症状得到改善后,被认为适合在全身麻醉下进行手术。病例介绍:一名64岁女性,DC病史,持续性室性心动过速,接受心脏再同步化治疗和除颤器植入,接受乳腺癌手术。她曾多次因心力衰竭住院,LVEF为19%,纽约心脏协会(NYHA)分级为III级,考虑进行心脏移植手术。然而,计算机断层扫描显示右侧乳腺癌,没有进行心脏移植或乳腺癌手术。内分泌治疗开始,48个月后失败。虽然LVEF仍然维持在21%的低水平,但NYHA分级提高到II级,并且自诊断为乳腺癌以来,该患者在较长时间内没有因心力衰竭住院。因此,乳腺癌手术在全麻下进行,整个手术过程中未发生术后并发症。结论:心衰预后在统计学上可能优于乳腺癌,心衰症状稳定的患者应及早行乳腺癌手术治疗。
本文章由计算机程序翻译,如有差异,请以英文原文为准。
求助全文
约1分钟内获得全文 求助全文
来源期刊
自引率
0.00%
发文量
218
审稿时长
13 weeks
×
引用
GB/T 7714-2015
复制
MLA
复制
APA
复制
导出至
BibTeX EndNote RefMan NoteFirst NoteExpress
×
提示
您的信息不完整,为了账户安全,请先补充。
现在去补充
×
提示
您因"违规操作"
具体请查看互助需知
我知道了
×
提示
确定
请完成安全验证×
copy
已复制链接
快去分享给好友吧!
我知道了
右上角分享
点击右上角分享
0
联系我们:info@booksci.cn Book学术提供免费学术资源搜索服务,方便国内外学者检索中英文文献。致力于提供最便捷和优质的服务体验。 Copyright © 2023 布克学术 All rights reserved.
京ICP备2023020795号-1
ghs 京公网安备 11010802042870号
Book学术文献互助
Book学术文献互助群
群 号:604180095
Book学术官方微信