Anatomical variants of the posterior horns of the lateral ventricles: an MRI study.

Frontiers in neuroimaging Pub Date : 2025-04-07 eCollection Date: 2025-01-01 DOI:10.3389/fnimg.2025.1478137
Ronen Spierer, Omer Zarrabi Itzhak, Jonathan Gross, Tamer Sobeh, Shai Shrot
{"title":"Anatomical variants of the posterior horns of the lateral ventricles: an MRI study.","authors":"Ronen Spierer, Omer Zarrabi Itzhak, Jonathan Gross, Tamer Sobeh, Shai Shrot","doi":"10.3389/fnimg.2025.1478137","DOIUrl":null,"url":null,"abstract":"<p><strong>Introduction: </strong>Anatomical variations in the posterior horns of the lateral ventricles are well-documented, with the horn presenting as open, constricted, or completely closed. However, the extent and nature of these variations across different demographics remain under-explored. This study aimed to investigate the anatomical variations of the posterior horn of the lateral ventricles across different age and sex groups and to compare the variations between the right and left sides.</p><p><strong>Methods: </strong>We conducted a retrospective analysis of magnetic resonance imaging (MRI) scans from 217 adult participants across 15 age groups, utilizing a stratified random sampling from a radiology database. MRI scans were analyzed for ventricular dimensions, and horn types (open, constricted, and closed). Statistical significance was defined as <i>p</i>-value < 0.05.</p><p><strong>Results: </strong>Variants of the posterior horn were observed frequently, with open posterior horn being the most common in the left lateral ventricle (41%) and constricted type being the most common in the right lateral ventricle (37%). A significant correlation existed between the right and left horn types, but in most cases, there was a difference in type between the right and the left horns in the same individual. No significant association between age and the type of the posterior horns was found. However, there was a significant difference in the width and length of the horns between the open and other types, with open horns being wider and longer. Lastly, the left horn appeared longer than the right one.</p><p><strong>Discussion: </strong>The findings underline the high variability in posterior horn morphology, which is not significantly influenced by age or sex but varies between individuals and sides. Future studies should explore the functional impact of these anatomical variations.</p>","PeriodicalId":73094,"journal":{"name":"Frontiers in neuroimaging","volume":"4 ","pages":"1478137"},"PeriodicalIF":0.0000,"publicationDate":"2025-04-07","publicationTypes":"Journal Article","fieldsOfStudy":null,"isOpenAccess":false,"openAccessPdf":"https://www.ncbi.nlm.nih.gov/pmc/articles/PMC12009867/pdf/","citationCount":"0","resultStr":null,"platform":"Semanticscholar","paperid":null,"PeriodicalName":"Frontiers in neuroimaging","FirstCategoryId":"1085","ListUrlMain":"https://doi.org/10.3389/fnimg.2025.1478137","RegionNum":0,"RegionCategory":null,"ArticlePicture":[],"TitleCN":null,"AbstractTextCN":null,"PMCID":null,"EPubDate":"2025/1/1 0:00:00","PubModel":"eCollection","JCR":"","JCRName":"","Score":null,"Total":0}
引用次数: 0

Abstract

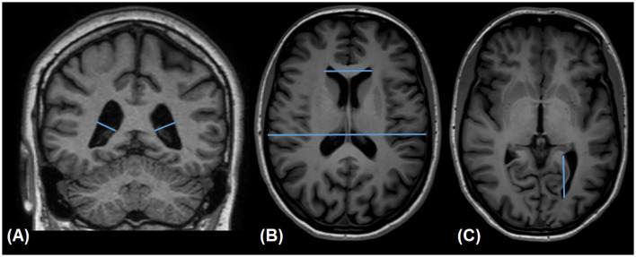
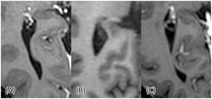
Introduction: Anatomical variations in the posterior horns of the lateral ventricles are well-documented, with the horn presenting as open, constricted, or completely closed. However, the extent and nature of these variations across different demographics remain under-explored. This study aimed to investigate the anatomical variations of the posterior horn of the lateral ventricles across different age and sex groups and to compare the variations between the right and left sides.

Methods: We conducted a retrospective analysis of magnetic resonance imaging (MRI) scans from 217 adult participants across 15 age groups, utilizing a stratified random sampling from a radiology database. MRI scans were analyzed for ventricular dimensions, and horn types (open, constricted, and closed). Statistical significance was defined as p-value < 0.05.

Results: Variants of the posterior horn were observed frequently, with open posterior horn being the most common in the left lateral ventricle (41%) and constricted type being the most common in the right lateral ventricle (37%). A significant correlation existed between the right and left horn types, but in most cases, there was a difference in type between the right and the left horns in the same individual. No significant association between age and the type of the posterior horns was found. However, there was a significant difference in the width and length of the horns between the open and other types, with open horns being wider and longer. Lastly, the left horn appeared longer than the right one.

Discussion: The findings underline the high variability in posterior horn morphology, which is not significantly influenced by age or sex but varies between individuals and sides. Future studies should explore the functional impact of these anatomical variations.

Abstract Image

Abstract Image

Abstract Image

侧脑室后角的解剖变异:一项MRI研究。
简介:侧脑室后角的解剖变化有充分的文献记载,其角表现为开放、收缩或完全关闭。然而,这些差异在不同人口统计中的程度和性质仍未得到充分探讨。本研究旨在探讨侧脑室后角在不同年龄和性别群体中的解剖变化,并比较左右侧脑室的变化。方法:我们对来自15个年龄组的217名成年参与者的磁共振成像(MRI)扫描进行了回顾性分析,利用放射学数据库中的分层随机抽样。MRI扫描分析心室尺寸和角类型(开放、收缩和关闭)。p值< 0.05为差异有统计学意义。结果:经常观察到后角的变异,其中左侧侧脑室最常见的是开放式后角(41%),右侧侧脑室最常见的是缩窄型(37%)。左右角类型之间存在显著的相关性,但在大多数情况下,同一个体的左右角类型存在差异。年龄和后角的类型之间没有明显的联系。然而,开角和其他类型的角在宽度和长度上存在显著差异,开角更宽更长。最后,左角看起来比右角长。讨论:研究结果强调了后角形态的高度可变性,其不受年龄或性别的显著影响,但在个体和两侧之间存在差异。未来的研究应探讨这些解剖变异对功能的影响。
本文章由计算机程序翻译,如有差异,请以英文原文为准。
求助全文
约1分钟内获得全文 求助全文
来源期刊
自引率
0.00%
发文量
0
×
引用
GB/T 7714-2015
复制
MLA
复制
APA
复制
导出至
BibTeX EndNote RefMan NoteFirst NoteExpress
×
提示
您的信息不完整,为了账户安全,请先补充。
现在去补充
×
提示
您因"违规操作"
具体请查看互助需知
我知道了
×
提示
确定
请完成安全验证×
copy
已复制链接
快去分享给好友吧!
我知道了
右上角分享
点击右上角分享
0
联系我们:info@booksci.cn Book学术提供免费学术资源搜索服务,方便国内外学者检索中英文文献。致力于提供最便捷和优质的服务体验。 Copyright © 2023 布克学术 All rights reserved.
京ICP备2023020795号-1
ghs 京公网安备 11010802042870号
Book学术文献互助
Book学术文献互助群
群 号:604180095
Book学术官方微信