Total Robot-Assisted Minimally Invasive Esophagectomy for De Novo Esophageal Cancer after Liver Transplantation: The Potential of Robotic Surgery in a Complex Posttransplant Case.

IF 1.3
Toshikatsu Tsuji, Noriyuki Inaki, Jun Kinoshita, Hideki Moriyama, Daisuke Yamamoto, Hiroto Saito, Kenta Doden
{"title":"Total Robot-Assisted Minimally Invasive Esophagectomy for De Novo Esophageal Cancer after Liver Transplantation: The Potential of Robotic Surgery in a Complex Posttransplant Case.","authors":"Toshikatsu Tsuji, Noriyuki Inaki, Jun Kinoshita, Hideki Moriyama, Daisuke Yamamoto, Hiroto Saito, Kenta Doden","doi":"10.5761/atcs.cr.25-00065","DOIUrl":null,"url":null,"abstract":"<p><p>The malignancy risk has increased following improvements in the long-term survival rates after liver transplantation. Reports show a 23.4-fold increase in the risk of de novo esophageal cancer after liver transplantation compared to the general population. We report the case of a 47-year-old female diagnosed with early esophageal cancer after liver transplantation. Endoscopic submucosal dissection was performed; however, due to it being a noncurative resection, additional treatment was required. Total robot-assisted minimally invasive esophagectomy (RAMIE) was performed using a robot for thoracic and abdominal procedures. Although extensive adhesions were observed after liver transplantation, precise surgery using the robot did not damage any vital organs, such as the graft blood vessels. The patient was discharged without postoperative complications. Total RAMIE for esophageal cancer after liver transplantation is a feasible and safe option following careful evaluation of the patient's condition, and expands the possibilities of successful complex posttransplant surgeries through robotic precision.</p>","PeriodicalId":93877,"journal":{"name":"Annals of thoracic and cardiovascular surgery : official journal of the Association of Thoracic and Cardiovascular Surgeons of Asia","volume":"31 1","pages":""},"PeriodicalIF":1.3000,"publicationDate":"2025-01-01","publicationTypes":"Journal Article","fieldsOfStudy":null,"isOpenAccess":false,"openAccessPdf":"https://www.ncbi.nlm.nih.gov/pmc/articles/PMC12055276/pdf/","citationCount":"0","resultStr":null,"platform":"Semanticscholar","paperid":null,"PeriodicalName":"Annals of thoracic and cardiovascular surgery : official journal of the Association of Thoracic and Cardiovascular Surgeons of Asia","FirstCategoryId":"1085","ListUrlMain":"https://doi.org/10.5761/atcs.cr.25-00065","RegionNum":0,"RegionCategory":null,"ArticlePicture":[],"TitleCN":null,"AbstractTextCN":null,"PMCID":null,"EPubDate":"","PubModel":"","JCR":"","JCRName":"","Score":null,"Total":0}
引用次数: 0

Abstract

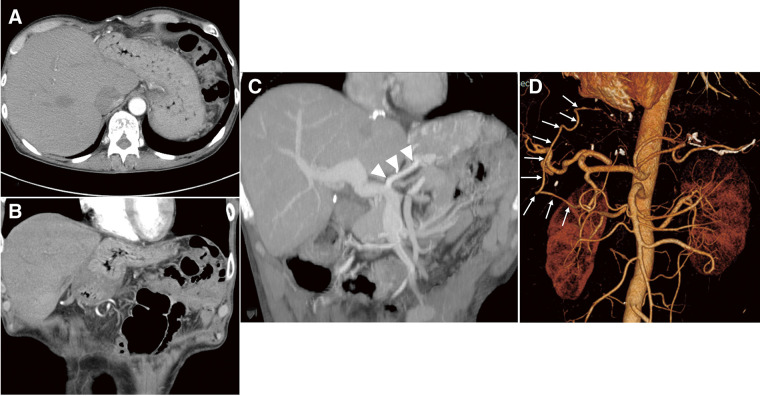
The malignancy risk has increased following improvements in the long-term survival rates after liver transplantation. Reports show a 23.4-fold increase in the risk of de novo esophageal cancer after liver transplantation compared to the general population. We report the case of a 47-year-old female diagnosed with early esophageal cancer after liver transplantation. Endoscopic submucosal dissection was performed; however, due to it being a noncurative resection, additional treatment was required. Total robot-assisted minimally invasive esophagectomy (RAMIE) was performed using a robot for thoracic and abdominal procedures. Although extensive adhesions were observed after liver transplantation, precise surgery using the robot did not damage any vital organs, such as the graft blood vessels. The patient was discharged without postoperative complications. Total RAMIE for esophageal cancer after liver transplantation is a feasible and safe option following careful evaluation of the patient's condition, and expands the possibilities of successful complex posttransplant surgeries through robotic precision.

Abstract Image

Abstract Image

Abstract Image

全机器人辅助微创食管切除术治疗肝移植后新生食管癌:机器人手术在复杂移植后病例中的潜力。
随着肝移植术后长期生存率的提高,恶性肿瘤的风险也随之增加。报告显示,与普通人群相比,肝移植术后新发食管癌的风险增加了23.4倍。我们报告一位47岁女性,在肝移植后被诊断为早期食管癌。内镜下粘膜夹层;然而,由于它是一个不可治愈的切除,需要额外的治疗。全机器人辅助微创食管切除术(RAMIE)由机器人进行胸部和腹部手术。尽管肝移植后观察到广泛的粘连,但使用机器人进行的精确手术并未损害任何重要器官,如移植血管。患者出院,无术后并发症。在仔细评估患者病情后,全RAMIE治疗食管癌肝移植术后是一种可行且安全的选择,并通过机器人精度扩大了复杂移植后手术成功的可能性。
本文章由计算机程序翻译,如有差异,请以英文原文为准。
求助全文
约1分钟内获得全文 求助全文
来源期刊
自引率
0.00%
发文量
0
×
引用
GB/T 7714-2015
复制
MLA
复制
APA
复制
导出至
BibTeX EndNote RefMan NoteFirst NoteExpress
×
提示
您的信息不完整,为了账户安全,请先补充。
现在去补充
×
提示
您因"违规操作"
具体请查看互助需知
我知道了
×
提示
确定
请完成安全验证×
copy
已复制链接
快去分享给好友吧!
我知道了
右上角分享
点击右上角分享
0
联系我们:info@booksci.cn Book学术提供免费学术资源搜索服务,方便国内外学者检索中英文文献。致力于提供最便捷和优质的服务体验。 Copyright © 2023 布克学术 All rights reserved.
京ICP备2023020795号-1
ghs 京公网安备 11010802042870号
Book学术文献互助
Book学术文献互助群
群 号:604180095
Book学术官方微信