Total anomalous pulmonary venous connection - prenatal echocardiography and neonatal follow-up.

IF 1.5 Q3 RADIOLOGY, NUCLEAR MEDICINE & MEDICAL IMAGING
Journal of Ultrasonography Pub Date : 2025-05-03 eCollection Date: 2025-04-01 DOI:10.15557/jou.2025.0012
Sławomir Witkowski, Jerzy Węgrzynowski, Michał Krekora, Iwona Maroszyńska, Anna Mazurek-Kula, Piotr Grzelak, Katarzyna Januszewska, Iwona Strzelecka, Maria Respondek-Liberska
{"title":"Total anomalous pulmonary venous connection - prenatal echocardiography and neonatal follow-up.","authors":"Sławomir Witkowski, Jerzy Węgrzynowski, Michał Krekora, Iwona Maroszyńska, Anna Mazurek-Kula, Piotr Grzelak, Katarzyna Januszewska, Iwona Strzelecka, Maria Respondek-Liberska","doi":"10.15557/jou.2025.0012","DOIUrl":null,"url":null,"abstract":"<p><p>Total anomalous pulmonary venous connection is a rare congenital heart defect that can be diagnosed prenatally and might be very important for perinatal management. In addition to other cardiac abnormalities (levocardia, situs inversus, small left ventricle, double outlet right ventricle, parallel great vessels, and hypoplastic aortic arch), total anomalous pulmonary venous connection of a subdiaphragmatic type was diagnosed during a prenatal echocardiography examination in the second half of pregnancy. Fetal echocardiography monitoring showed no signs of congestive heart failure. The neonate was born at 38 weeks of gestation at our tertiary center. Postnatal echocardiography revealed significant progression in neonatal hemodynamics, and early cardiac surgery, involving repair of the pulmonary veins, pulmonary artery banding, and aortic arch reconstruction, was performed with a good outcome. This case is an excellent example of the value of prenatal echocardiography.</p>","PeriodicalId":45612,"journal":{"name":"Journal of Ultrasonography","volume":"25 101","pages":"20250012"},"PeriodicalIF":1.5000,"publicationDate":"2025-05-03","publicationTypes":"Journal Article","fieldsOfStudy":null,"isOpenAccess":false,"openAccessPdf":"https://www.ncbi.nlm.nih.gov/pmc/articles/PMC12049186/pdf/","citationCount":"0","resultStr":null,"platform":"Semanticscholar","paperid":null,"PeriodicalName":"Journal of Ultrasonography","FirstCategoryId":"1085","ListUrlMain":"https://doi.org/10.15557/jou.2025.0012","RegionNum":0,"RegionCategory":null,"ArticlePicture":[],"TitleCN":null,"AbstractTextCN":null,"PMCID":null,"EPubDate":"2025/4/1 0:00:00","PubModel":"eCollection","JCR":"Q3","JCRName":"RADIOLOGY, NUCLEAR MEDICINE & MEDICAL IMAGING","Score":null,"Total":0}
引用次数: 0

Abstract

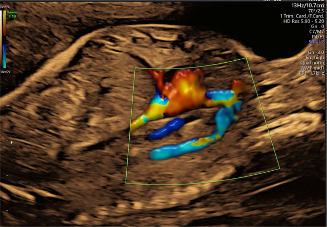
Total anomalous pulmonary venous connection is a rare congenital heart defect that can be diagnosed prenatally and might be very important for perinatal management. In addition to other cardiac abnormalities (levocardia, situs inversus, small left ventricle, double outlet right ventricle, parallel great vessels, and hypoplastic aortic arch), total anomalous pulmonary venous connection of a subdiaphragmatic type was diagnosed during a prenatal echocardiography examination in the second half of pregnancy. Fetal echocardiography monitoring showed no signs of congestive heart failure. The neonate was born at 38 weeks of gestation at our tertiary center. Postnatal echocardiography revealed significant progression in neonatal hemodynamics, and early cardiac surgery, involving repair of the pulmonary veins, pulmonary artery banding, and aortic arch reconstruction, was performed with a good outcome. This case is an excellent example of the value of prenatal echocardiography.

Abstract Image

Abstract Image

Abstract Image

全异常肺静脉连接-产前超声心动图和新生儿随访。
全异常肺静脉连接是一种罕见的先天性心脏缺陷,可以在产前诊断,并可能对围产期处理非常重要。除了其他心脏异常(左心、逆位、左心室小、右心室双出口、平行大血管和主动脉弓发育不全)外,在妊娠后半期的产前超声心动图检查中还诊断出膈下型肺静脉连接完全异常。胎儿超声心动图监测显示没有充血性心力衰竭的迹象。这名新生儿在妊娠38周时在我们的第三中心出生。出生后超声心动图显示新生儿血流动力学有明显进展,早期心脏手术包括肺静脉修复、肺动脉绑扎和主动脉弓重建,结果良好。这个病例是产前超声心动图价值的一个很好的例子。
本文章由计算机程序翻译,如有差异,请以英文原文为准。
求助全文
约1分钟内获得全文 求助全文
来源期刊
Journal of Ultrasonography
Journal of Ultrasonography RADIOLOGY, NUCLEAR MEDICINE & MEDICAL IMAGING-
CiteScore
2.30
自引率
0.00%
发文量
58
审稿时长
20 weeks
×
引用
GB/T 7714-2015
复制
MLA
复制
APA
复制
导出至
BibTeX EndNote RefMan NoteFirst NoteExpress
×
提示
您的信息不完整,为了账户安全,请先补充。
现在去补充
×
提示
您因"违规操作"
具体请查看互助需知
我知道了
×
提示
确定
请完成安全验证×
copy
已复制链接
快去分享给好友吧!
我知道了
右上角分享
点击右上角分享
0
联系我们:info@booksci.cn Book学术提供免费学术资源搜索服务,方便国内外学者检索中英文文献。致力于提供最便捷和优质的服务体验。 Copyright © 2023 布克学术 All rights reserved.
京ICP备2023020795号-1
ghs 京公网安备 11010802042870号
Book学术文献互助
Book学术文献互助群
群 号:604180095
Book学术官方微信