A nomogram model for predicting lymph node metastasis of rectal cancer by combining preoperative magnetic resonance imaging signs and tumour markers.

Polish journal of radiology Pub Date : 2025-03-07 eCollection Date: 2025-01-01 DOI:10.5114/pjr/200612
Meihai Xu, Zheng Wang, Xiu-Feng Qiao, Hai Liao, Dan-Ke Su
{"title":"A nomogram model for predicting lymph node metastasis of rectal cancer by combining preoperative magnetic resonance imaging signs and tumour markers.","authors":"Meihai Xu, Zheng Wang, Xiu-Feng Qiao, Hai Liao, Dan-Ke Su","doi":"10.5114/pjr/200612","DOIUrl":null,"url":null,"abstract":"<p><strong>Purpose: </strong>This study aimed to explore the diagnostic value of high-resolution magnetic resonance images and tumour markers in predicting lymph node metastasis of rectal cancer.</p><p><strong>Material and methods: </strong>The clinical, imaging, and pathological data of patients with suspected rectal cancer were collected. The baseline data, and surgical and pathological characteristics were compared between the lymph node metastasis group and no metastasis group. Univariate and multivariate logistic regression were used to analyse the clinical and pathological factors, and preoperative magnetic resonance imaging (MRI) signs of extramural vascular invasion and rectal cancer lymph node metastasis. A nomogram model was established with statistically significant factors.</p><p><strong>Results: </strong>150 patients were included. Among them, 50 (33.3%) presented with vascular tumour thrombus, and 72 (48.0%) had lymph node metastasis. The detection of regional lymph nodes (DWI-LN) was an independent risk factor for lymph node metastasis. The area under curve of the nomogram model was 0.804.</p><p><strong>Conclusion: </strong>Preoperative serum CA19.9, and the relationship between tumour and peritoneal reflection in preoperative MRI and DWI-LN have clinical value in predicting lymph node metastasis in patients with rectal cancer.</p>","PeriodicalId":94174,"journal":{"name":"Polish journal of radiology","volume":"90 ","pages":"e114-e123"},"PeriodicalIF":0.0000,"publicationDate":"2025-03-07","publicationTypes":"Journal Article","fieldsOfStudy":null,"isOpenAccess":false,"openAccessPdf":"https://www.ncbi.nlm.nih.gov/pmc/articles/PMC12049155/pdf/","citationCount":"0","resultStr":null,"platform":"Semanticscholar","paperid":null,"PeriodicalName":"Polish journal of radiology","FirstCategoryId":"1085","ListUrlMain":"https://doi.org/10.5114/pjr/200612","RegionNum":0,"RegionCategory":null,"ArticlePicture":[],"TitleCN":null,"AbstractTextCN":null,"PMCID":null,"EPubDate":"2025/1/1 0:00:00","PubModel":"eCollection","JCR":"","JCRName":"","Score":null,"Total":0}
引用次数: 0

Abstract

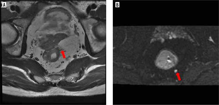
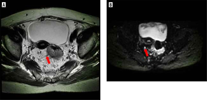
Purpose: This study aimed to explore the diagnostic value of high-resolution magnetic resonance images and tumour markers in predicting lymph node metastasis of rectal cancer.

Material and methods: The clinical, imaging, and pathological data of patients with suspected rectal cancer were collected. The baseline data, and surgical and pathological characteristics were compared between the lymph node metastasis group and no metastasis group. Univariate and multivariate logistic regression were used to analyse the clinical and pathological factors, and preoperative magnetic resonance imaging (MRI) signs of extramural vascular invasion and rectal cancer lymph node metastasis. A nomogram model was established with statistically significant factors.

Results: 150 patients were included. Among them, 50 (33.3%) presented with vascular tumour thrombus, and 72 (48.0%) had lymph node metastasis. The detection of regional lymph nodes (DWI-LN) was an independent risk factor for lymph node metastasis. The area under curve of the nomogram model was 0.804.

Conclusion: Preoperative serum CA19.9, and the relationship between tumour and peritoneal reflection in preoperative MRI and DWI-LN have clinical value in predicting lymph node metastasis in patients with rectal cancer.

Abstract Image

Abstract Image

Abstract Image

结合术前磁共振影像征象与肿瘤标志物预测直肠癌淋巴结转移的nomogram模型。
目的:探讨高分辨率磁共振影像及肿瘤标志物在预测直肠癌淋巴结转移中的诊断价值。材料与方法:收集疑似直肠癌患者的临床、影像学及病理资料。比较淋巴结转移组和无转移组的基线资料、手术及病理特征。采用单因素和多因素logistic回归分析临床和病理因素,以及术前磁共振成像(MRI)的外血管侵犯和直肠癌淋巴结转移征象。建立具有统计学显著因素的nomogram模型。结果:纳入150例患者。其中血管肿瘤血栓50例(33.3%),淋巴结转移72例(48.0%)。区域淋巴结检测(DWI-LN)是淋巴结转移的独立危险因素。模态图模型曲线下面积为0.804。结论:术前血清CA19.9、肿瘤与术前MRI腹膜反射的关系及DWI-LN对预测直肠癌患者淋巴结转移具有临床价值。
本文章由计算机程序翻译,如有差异,请以英文原文为准。
求助全文
约1分钟内获得全文 求助全文
来源期刊
CiteScore
2.10
自引率
0.00%
发文量
0
×
引用
GB/T 7714-2015
复制
MLA
复制
APA
复制
导出至
BibTeX EndNote RefMan NoteFirst NoteExpress
×
提示
您的信息不完整,为了账户安全,请先补充。
现在去补充
×
提示
您因"违规操作"
具体请查看互助需知
我知道了
×
提示
确定
请完成安全验证×
copy
已复制链接
快去分享给好友吧!
我知道了
右上角分享
点击右上角分享
0
联系我们:info@booksci.cn Book学术提供免费学术资源搜索服务,方便国内外学者检索中英文文献。致力于提供最便捷和优质的服务体验。 Copyright © 2023 布克学术 All rights reserved.
京ICP备2023020795号-1
ghs 京公网安备 11010802042870号
Book学术文献互助
Book学术文献互助群
群 号:604180095
Book学术官方微信