[Laparoscopic management of gastric schwannoma].

Andric Pérez-Ortiz, Ana Yolanda Sandoval-Mussi, Anallely Luna-Hernández, Antonio Giovanni Spaventa-Ibarrola, Antonio Herrera-González, César Manuel Vargas-Sahagun, Carlos Zerrweck
{"title":"[Laparoscopic management of gastric schwannoma].","authors":"Andric Pérez-Ortiz, Ana Yolanda Sandoval-Mussi, Anallely Luna-Hernández, Antonio Giovanni Spaventa-Ibarrola, Antonio Herrera-González, César Manuel Vargas-Sahagun, Carlos Zerrweck","doi":"10.5281/zenodo.14617155","DOIUrl":null,"url":null,"abstract":"<p><strong>Background: </strong>Gastric schwannoma is a rare GI tract tumor. Commonly, cases are asymptomatic and often misdiagnosed as gastrointestinal stromal tumors (GIST) or gastric leiomyomas.</p><p><strong>Clinical case: </strong>A 34-year-old female presented to the clinic for a gastric sleeve for obesity. Preoperatively, there was a GIST misdiagnosis. A CT scan showed a 16 mm gastric tumor in the lesser curvature adjacent to segment III of the liver. Endoscopic ultrasound showed a lesion arising from the muscularis mucosa. The biopsy was positive for spindle cells. The patient underwent a laparoscopic resection and Roux-en-Y gastric bypass. The pathology report showed S100-positive spindle cells compatible with gastric schwannoma.</p><p><strong>Conclusions: </strong>Like our case, gastric schwannomas are usually asymptomatic and arise in middle-aged women. However, their submucosal location in imaging studies, even endoscopic ultrasound, often leads to misdiagnosis. Postoperative pathology and immunohistochemical examinations are critical for final diagnosis and distinguishing features of other malignant stromal cell tumors. Care must be taken in cases with prominent lymph nodes on diagnostic laparoscopy.</p>","PeriodicalId":94200,"journal":{"name":"Revista medica del Instituto Mexicano del Seguro Social","volume":"63 2","pages":"e6338"},"PeriodicalIF":0.0000,"publicationDate":"2025-03-03","publicationTypes":"Journal Article","fieldsOfStudy":null,"isOpenAccess":false,"openAccessPdf":"https://www.ncbi.nlm.nih.gov/pmc/articles/PMC12052381/pdf/","citationCount":"0","resultStr":null,"platform":"Semanticscholar","paperid":null,"PeriodicalName":"Revista medica del Instituto Mexicano del Seguro Social","FirstCategoryId":"1085","ListUrlMain":"https://doi.org/10.5281/zenodo.14617155","RegionNum":0,"RegionCategory":null,"ArticlePicture":[],"TitleCN":null,"AbstractTextCN":null,"PMCID":null,"EPubDate":"","PubModel":"","JCR":"","JCRName":"","Score":null,"Total":0}
引用次数: 0

Abstract

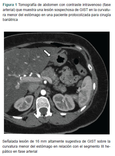
Background: Gastric schwannoma is a rare GI tract tumor. Commonly, cases are asymptomatic and often misdiagnosed as gastrointestinal stromal tumors (GIST) or gastric leiomyomas.

Clinical case: A 34-year-old female presented to the clinic for a gastric sleeve for obesity. Preoperatively, there was a GIST misdiagnosis. A CT scan showed a 16 mm gastric tumor in the lesser curvature adjacent to segment III of the liver. Endoscopic ultrasound showed a lesion arising from the muscularis mucosa. The biopsy was positive for spindle cells. The patient underwent a laparoscopic resection and Roux-en-Y gastric bypass. The pathology report showed S100-positive spindle cells compatible with gastric schwannoma.

Conclusions: Like our case, gastric schwannomas are usually asymptomatic and arise in middle-aged women. However, their submucosal location in imaging studies, even endoscopic ultrasound, often leads to misdiagnosis. Postoperative pathology and immunohistochemical examinations are critical for final diagnosis and distinguishing features of other malignant stromal cell tumors. Care must be taken in cases with prominent lymph nodes on diagnostic laparoscopy.

Abstract Image

Abstract Image

Abstract Image

胃神经鞘瘤的腹腔镜治疗。
背景:胃神经鞘瘤是一种罕见的胃肠道肿瘤。通常情况下,病例无症状,经常被误诊为胃肠道间质瘤(GIST)或胃平滑肌瘤。临床病例:一名34岁女性,因肥胖接受胃套手术。术前,有一个GIST误诊。CT扫描显示一个16毫米的胃肿瘤,位于肝III段附近的胃小弯。内窥镜超声显示肌层粘膜病变。活检呈梭形细胞阳性。患者接受了腹腔镜切除和Roux-en-Y胃旁路手术。病理报告显示s100阳性梭形细胞与胃神经鞘瘤相容。结论:与我们的病例一样,胃神经鞘瘤通常无症状,多发生于中年妇女。然而,在影像学研究中,甚至在内镜超声检查中,它们的粘膜下位置经常导致误诊。术后病理和免疫组织化学检查对其他恶性间质细胞瘤的最终诊断和鉴别特征至关重要。在诊断性腹腔镜检查中,必须注意淋巴结突出的病例。
本文章由计算机程序翻译,如有差异,请以英文原文为准。
求助全文
约1分钟内获得全文 求助全文
来源期刊
自引率
0.00%
发文量
0
×
引用
GB/T 7714-2015
复制
MLA
复制
APA
复制
导出至
BibTeX EndNote RefMan NoteFirst NoteExpress
×
提示
您的信息不完整,为了账户安全,请先补充。
现在去补充
×
提示
您因"违规操作"
具体请查看互助需知
我知道了
×
提示
确定
请完成安全验证×
copy
已复制链接
快去分享给好友吧!
我知道了
右上角分享
点击右上角分享
0
联系我们:info@booksci.cn Book学术提供免费学术资源搜索服务,方便国内外学者检索中英文文献。致力于提供最便捷和优质的服务体验。 Copyright © 2023 布克学术 All rights reserved.
京ICP备2023020795号-1
ghs 京公网安备 11010802042870号
Book学术文献互助
Book学术文献互助群
群 号:604180095
Book学术官方微信