Human papilloma virus vaccine induced Kikuchi-Fujimoto disease: A case report.

IF 1.2 Q4 RESPIRATORY SYSTEM
Lung India Pub Date : 2025-05-01 Epub Date: 2025-04-29 DOI:10.4103/lungindia.lungindia_557_24
Benhur Joel Shadrach, Lexmi Priya Raju, Asma Bibi, Kunal Deokar, Priyanka Gaikwad, Jinish Doshi
{"title":"Human papilloma virus vaccine induced Kikuchi-Fujimoto disease: A case report.","authors":"Benhur Joel Shadrach, Lexmi Priya Raju, Asma Bibi, Kunal Deokar, Priyanka Gaikwad, Jinish Doshi","doi":"10.4103/lungindia.lungindia_557_24","DOIUrl":null,"url":null,"abstract":"<p><strong>Abstract: </strong>Cervical lymphadenopathy can be due to numerous causes. The common causes include reactive and infections conditions in children and malignancy in the elderly. Kikuchi-Fujimoto disease (KFD) is a rare cause of cervical lymphadenopathy. As viral vaccines contain viral antigens, they can trigger the development of KFD. The human papillomavirus (HPV) vaccine can trigger KFD. It is important to elicit a history of prior vaccination to identify the trigger in patients with necrotising histiocytic lymphadenitis suspected of having KFD. We hereby report a case of a 16-year-old female who was diagnosed with HPV vaccine induced KFD. Ours is the first case to be reported from India. Histopathology revealed necrotising histiocytic lymphoid hyperplasia and the absence of neutrophils, eosinophils, plasma cells, vessel wall vasculitis, haematoxylin bodies, and Reed-Sternberg cells, and negative aerobic, MTB cultures, anti-nuclear antibodies, clinched the diagnosis of KFD.</p>","PeriodicalId":47462,"journal":{"name":"Lung India","volume":"42 3","pages":"256-259"},"PeriodicalIF":1.2000,"publicationDate":"2025-05-01","publicationTypes":"Journal Article","fieldsOfStudy":null,"isOpenAccess":false,"openAccessPdf":"https://www.ncbi.nlm.nih.gov/pmc/articles/PMC12097663/pdf/","citationCount":"0","resultStr":null,"platform":"Semanticscholar","paperid":null,"PeriodicalName":"Lung India","FirstCategoryId":"1085","ListUrlMain":"https://doi.org/10.4103/lungindia.lungindia_557_24","RegionNum":0,"RegionCategory":null,"ArticlePicture":[],"TitleCN":null,"AbstractTextCN":null,"PMCID":null,"EPubDate":"2025/4/29 0:00:00","PubModel":"Epub","JCR":"Q4","JCRName":"RESPIRATORY SYSTEM","Score":null,"Total":0}
引用次数: 0

Abstract

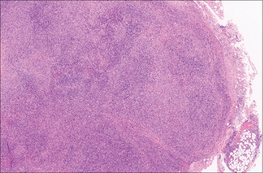
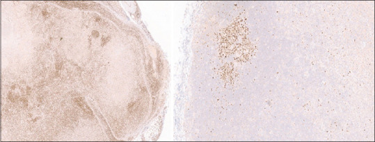
Abstract: Cervical lymphadenopathy can be due to numerous causes. The common causes include reactive and infections conditions in children and malignancy in the elderly. Kikuchi-Fujimoto disease (KFD) is a rare cause of cervical lymphadenopathy. As viral vaccines contain viral antigens, they can trigger the development of KFD. The human papillomavirus (HPV) vaccine can trigger KFD. It is important to elicit a history of prior vaccination to identify the trigger in patients with necrotising histiocytic lymphadenitis suspected of having KFD. We hereby report a case of a 16-year-old female who was diagnosed with HPV vaccine induced KFD. Ours is the first case to be reported from India. Histopathology revealed necrotising histiocytic lymphoid hyperplasia and the absence of neutrophils, eosinophils, plasma cells, vessel wall vasculitis, haematoxylin bodies, and Reed-Sternberg cells, and negative aerobic, MTB cultures, anti-nuclear antibodies, clinched the diagnosis of KFD.

Abstract Image

Abstract Image

Abstract Image

人乳头瘤病毒疫苗致菊池-藤本病1例报告。
摘要:颈淋巴肿大可由多种原因引起。常见的病因包括儿童的反应性和感染性疾病以及老年人的恶性肿瘤。菊池-藤本病(KFD)是一种罕见的颈部淋巴结病。由于病毒疫苗含有病毒抗原,它们可以引发KFD的发展。人乳头瘤病毒(HPV)疫苗可引发KFD。在怀疑患有KFD的坏死性组织细胞性淋巴结炎患者中,重要的是要引出先前的疫苗接种史来确定触发因素。我们在此报告一例16岁的女性谁被诊断为HPV疫苗诱导KFD。这是印度报告的第一例病例。组织病理学显示坏死组织细胞淋巴样增生,中性粒细胞、嗜酸性粒细胞、浆细胞、血管壁血管炎、血红素小体和里德-斯特恩伯格细胞的缺失,有氧、结核分枝杆菌培养、抗核抗体阴性,确定了KFD的诊断。
本文章由计算机程序翻译,如有差异,请以英文原文为准。
求助全文
约1分钟内获得全文 求助全文
来源期刊
Lung India
Lung India RESPIRATORY SYSTEM-
CiteScore
2.30
自引率
12.50%
发文量
114
审稿时长
37 weeks
×
引用
GB/T 7714-2015
复制
MLA
复制
APA
复制
导出至
BibTeX EndNote RefMan NoteFirst NoteExpress
×
提示
您的信息不完整,为了账户安全,请先补充。
现在去补充
×
提示
您因"违规操作"
具体请查看互助需知
我知道了
×
提示
确定
请完成安全验证×
copy
已复制链接
快去分享给好友吧!
我知道了
右上角分享
点击右上角分享
0
联系我们:info@booksci.cn Book学术提供免费学术资源搜索服务,方便国内外学者检索中英文文献。致力于提供最便捷和优质的服务体验。 Copyright © 2023 布克学术 All rights reserved.
京ICP备2023020795号-1
ghs 京公网安备 11010802042870号
Book学术文献互助
Book学术文献互助群
群 号:604180095
Book学术官方微信