Foetal cardiac rhabdomyoma due to paternal TSC1 Mutation: a case report and literature review.

IF 2.9 Q1 PATHOLOGY
Eleonora Nardi, Angela Silvano, Oumaima Ammar, Francesca Gensini, Annabella Marozza, Lucia Pasquini, Francesca Castiglione, Viola Seravalli
{"title":"Foetal cardiac rhabdomyoma due to paternal <i>TSC1</i> Mutation: a case report and literature review.","authors":"Eleonora Nardi, Angela Silvano, Oumaima Ammar, Francesca Gensini, Annabella Marozza, Lucia Pasquini, Francesca Castiglione, Viola Seravalli","doi":"10.32074/1591-951X-1099","DOIUrl":null,"url":null,"abstract":"<p><p>Rhabdomyomas are the most common prenatal cardiac tumours, and are often associated with tuberous sclerosis complex (TSC). They have been shown to grow during foetal development, but may often regress or shrink in early childhood.</p><p><p>In the present case, ultrasonography at 20+2 gestational weeks identified two echogenic masses suspicious of rhabdomyomas in the foetal heart. Neither of these tumours caused significant haemodynamic instability. Genetic testing of DNA extracted from amniocytes revealed a pathogenic variant of the <i>TSC1</i> gene, supporting the diagnosis of tuberous sclerosis. The pregnancy was terminated at 21+1 weeks. Pathological examination confirmed the presence of two cardiac rhabdomyomas, histologically characterised by distinctive large vacuolated cells with central nuclei and radial cytoplasmic extensions.</p><p><p>Further research and a multidisciplinary approach are highly recommended to improve management and outcomes of prenatal tumours.</p>","PeriodicalId":45893,"journal":{"name":"PATHOLOGICA","volume":"117 1","pages":"33-38"},"PeriodicalIF":2.9000,"publicationDate":"2025-02-01","publicationTypes":"Journal Article","fieldsOfStudy":null,"isOpenAccess":false,"openAccessPdf":"https://www.ncbi.nlm.nih.gov/pmc/articles/PMC11983078/pdf/","citationCount":"0","resultStr":null,"platform":"Semanticscholar","paperid":null,"PeriodicalName":"PATHOLOGICA","FirstCategoryId":"1085","ListUrlMain":"https://doi.org/10.32074/1591-951X-1099","RegionNum":0,"RegionCategory":null,"ArticlePicture":[],"TitleCN":null,"AbstractTextCN":null,"PMCID":null,"EPubDate":"","PubModel":"","JCR":"Q1","JCRName":"PATHOLOGY","Score":null,"Total":0}
引用次数: 0

Abstract

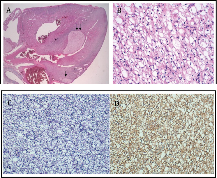
Rhabdomyomas are the most common prenatal cardiac tumours, and are often associated with tuberous sclerosis complex (TSC). They have been shown to grow during foetal development, but may often regress or shrink in early childhood.

In the present case, ultrasonography at 20+2 gestational weeks identified two echogenic masses suspicious of rhabdomyomas in the foetal heart. Neither of these tumours caused significant haemodynamic instability. Genetic testing of DNA extracted from amniocytes revealed a pathogenic variant of the TSC1 gene, supporting the diagnosis of tuberous sclerosis. The pregnancy was terminated at 21+1 weeks. Pathological examination confirmed the presence of two cardiac rhabdomyomas, histologically characterised by distinctive large vacuolated cells with central nuclei and radial cytoplasmic extensions.

Further research and a multidisciplinary approach are highly recommended to improve management and outcomes of prenatal tumours.

Abstract Image

Abstract Image

父亲TSC1突变致胎儿心脏横纹肌瘤1例报告及文献复习。
横纹肌瘤是最常见的产前心脏肿瘤,通常与结节性硬化症(TSC)有关。它们在胎儿发育期间会生长,但在儿童早期可能会退化或萎缩。在本病例中,孕20+2周超声检查发现两个回声肿块,怀疑胎儿心脏横纹肌瘤。这两种肿瘤都没有引起明显的血流动力学不稳定。从羊膜细胞中提取的DNA基因检测显示TSC1基因的致病变异,支持结节性硬化症的诊断。21+1周终止妊娠。病理检查证实有两个心脏横纹肌瘤,组织学特征为明显的大液泡细胞,细胞核中心,胞浆呈放射状延伸。进一步的研究和多学科的方法,强烈建议改善管理和产前肿瘤的结果。
本文章由计算机程序翻译,如有差异,请以英文原文为准。
求助全文
约1分钟内获得全文 求助全文
来源期刊
PATHOLOGICA
PATHOLOGICA PATHOLOGY-
CiteScore
5.90
自引率
5.70%
发文量
108
×
引用
GB/T 7714-2015
复制
MLA
复制
APA
复制
导出至
BibTeX EndNote RefMan NoteFirst NoteExpress
×
提示
您的信息不完整,为了账户安全,请先补充。
现在去补充
×
提示
您因"违规操作"
具体请查看互助需知
我知道了
×
提示
确定
请完成安全验证×
copy
已复制链接
快去分享给好友吧!
我知道了
右上角分享
点击右上角分享
0
联系我们:info@booksci.cn Book学术提供免费学术资源搜索服务,方便国内外学者检索中英文文献。致力于提供最便捷和优质的服务体验。 Copyright © 2023 布克学术 All rights reserved.
京ICP备2023020795号-1
ghs 京公网安备 11010802042870号
Book学术文献互助
Book学术文献互助群
群 号:604180095
Book学术官方微信