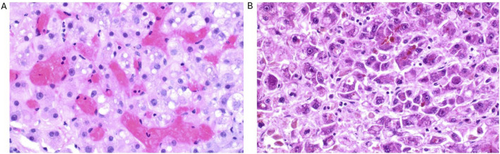
Liver Transplant for Acute Cholestatic Crisis in Sickle Cell Disease.

IF 3 3区 医学 Q1 SURGERY
Transplant International Pub Date : 2025-03-27 eCollection Date: 2025-01-01 DOI:10.3389/ti.2025.14086
Sabrina Welland, Jan Christopher Kamp, Björn Hartleben, Richard Taubert, René Abu Isneineh
{"title":"Liver Transplant for Acute Cholestatic Crisis in Sickle Cell Disease.","authors":"Sabrina Welland, Jan Christopher Kamp, Björn Hartleben, Richard Taubert, René Abu Isneineh","doi":"10.3389/ti.2025.14086","DOIUrl":null,"url":null,"abstract":"","PeriodicalId":23343,"journal":{"name":"Transplant International","volume":"38 ","pages":"14086"},"PeriodicalIF":3.0000,"publicationDate":"2025-03-27","publicationTypes":"Journal Article","fieldsOfStudy":null,"isOpenAccess":false,"openAccessPdf":"https://www.ncbi.nlm.nih.gov/pmc/articles/PMC11981906/pdf/","citationCount":"0","resultStr":null,"platform":"Semanticscholar","paperid":null,"PeriodicalName":"Transplant International","FirstCategoryId":"3","ListUrlMain":"https://doi.org/10.3389/ti.2025.14086","RegionNum":3,"RegionCategory":"医学","ArticlePicture":[],"TitleCN":null,"AbstractTextCN":null,"PMCID":null,"EPubDate":"2025/1/1 0:00:00","PubModel":"eCollection","JCR":"Q1","JCRName":"SURGERY","Score":null,"Total":0}
引用次数: 0

Abstract Image

肝移植治疗镰状细胞病急性胆汁淤积危重症。
本文章由计算机程序翻译,如有差异,请以英文原文为准。
求助全文
约1分钟内获得全文 求助全文
来源期刊
Transplant International
Transplant International 医学-外科
CiteScore
4.70
自引率
6.50%
发文量
211
审稿时长
3-8 weeks
期刊介绍: The aim of the journal is to serve as a forum for the exchange of scientific information in the form of original and high quality papers in the field of transplantation. Clinical and experimental studies, as well as editorials, letters to the editors, and, occasionally, reviews on the biology, physiology, and immunology of transplantation of tissues and organs, are published. Publishing time for the latter is approximately six months, provided major revisions are not needed. The journal is published in yearly volumes, each volume containing twelve issues. Papers submitted to the journal are subject to peer review.
×
引用
GB/T 7714-2015
复制
MLA
复制
APA
复制
导出至
BibTeX EndNote RefMan NoteFirst NoteExpress
×
提示
您的信息不完整,为了账户安全,请先补充。
现在去补充
×
提示
您因"违规操作"
具体请查看互助需知
我知道了
×
提示
确定
请完成安全验证×
copy
已复制链接
快去分享给好友吧!
我知道了
右上角分享
点击右上角分享
0
联系我们:info@booksci.cn Book学术提供免费学术资源搜索服务,方便国内外学者检索中英文文献。致力于提供最便捷和优质的服务体验。 Copyright © 2023 布克学术 All rights reserved.
京ICP备2023020795号-1
ghs 京公网安备 11010802042870号
Book学术文献互助
Book学术文献互助群
群 号:604180095
Book学术官方微信