Assessment of immune infiltrate in oral cancer: An immunohistochemical study.

Q3 Medicine
Deepti Sharma, Abi M Thomas, Kanwardeep S Kwatra, George Koshy, Ranjeet S Mashon
{"title":"Assessment of immune infiltrate in oral cancer: An immunohistochemical study.","authors":"Deepti Sharma, Abi M Thomas, Kanwardeep S Kwatra, George Koshy, Ranjeet S Mashon","doi":"10.4103/jomfp.jomfp_184_24","DOIUrl":null,"url":null,"abstract":"<p><strong>Background: </strong>The biomarkers of antitumour immune response provide valuable prognostic information and aid in the stratification and treatment of cancer. Tumour microenvironment (TME) defines the cancer biology, and assessment of tumour-infiltrating lymphocytes (TILs) in oral squamous cell carcinoma is an arena of vigorous research.</p><p><strong>Aims and objectives: </strong>The present study is designed to determine the association of CD8<sup>+</sup> and CD3<sup>+</sup> T lymphocytes with clinicopathological parameters and their role as prognostic biomarkers.</p><p><strong>Materials and methods: </strong>This is an observational and institution-based study. Tissue blocks of histologically proven oral squamous cell carcinoma patients were retrieved from archives, and all clinicopathological parameters were noted. The semiquantitative and quantitative methods of TILs assessment were meticulously applied both in the stromal and intratumoural regions using immunohistochemistry. The standard statistical methods were employed for data analysis.</p><p><strong>Results: </strong>A significant association of CD8<sup>+</sup> T lymphocytes with clinical tumour size (<i>P</i> = 0.012), clinical (<i>P</i> = 0.011), and pathological (<i>P</i> = 0.048) staging was observed. CD3<sup>+</sup> T lymphocytes were significantly associated with clinical node involvement. However, no survival benefits were observed with both biomarkers.</p><p><strong>Conclusion: </strong>CD8<sup>+</sup> T lymphocytes showed a significant association with clinical tumour size, clinical, and pathological staging. However, the study did not provide evidence for the prognostic value of the presence of CD3<sup>+</sup> and CD8<sup>+</sup> T lymphocytes in the tumour epithelium and stroma of oral cancer patients.</p>","PeriodicalId":38846,"journal":{"name":"Journal of Oral and Maxillofacial Pathology","volume":"29 1","pages":"66-75"},"PeriodicalIF":0.0000,"publicationDate":"2025-01-01","publicationTypes":"Journal Article","fieldsOfStudy":null,"isOpenAccess":false,"openAccessPdf":"https://www.ncbi.nlm.nih.gov/pmc/articles/PMC12002589/pdf/","citationCount":"0","resultStr":null,"platform":"Semanticscholar","paperid":null,"PeriodicalName":"Journal of Oral and Maxillofacial Pathology","FirstCategoryId":"1085","ListUrlMain":"https://doi.org/10.4103/jomfp.jomfp_184_24","RegionNum":0,"RegionCategory":null,"ArticlePicture":[],"TitleCN":null,"AbstractTextCN":null,"PMCID":null,"EPubDate":"2025/3/28 0:00:00","PubModel":"Epub","JCR":"Q3","JCRName":"Medicine","Score":null,"Total":0}
引用次数: 0

Abstract

Background: The biomarkers of antitumour immune response provide valuable prognostic information and aid in the stratification and treatment of cancer. Tumour microenvironment (TME) defines the cancer biology, and assessment of tumour-infiltrating lymphocytes (TILs) in oral squamous cell carcinoma is an arena of vigorous research.

Aims and objectives: The present study is designed to determine the association of CD8+ and CD3+ T lymphocytes with clinicopathological parameters and their role as prognostic biomarkers.

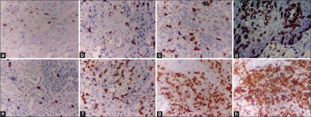
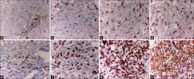
Materials and methods: This is an observational and institution-based study. Tissue blocks of histologically proven oral squamous cell carcinoma patients were retrieved from archives, and all clinicopathological parameters were noted. The semiquantitative and quantitative methods of TILs assessment were meticulously applied both in the stromal and intratumoural regions using immunohistochemistry. The standard statistical methods were employed for data analysis.

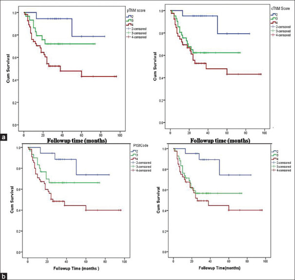
Results: A significant association of CD8+ T lymphocytes with clinical tumour size (P = 0.012), clinical (P = 0.011), and pathological (P = 0.048) staging was observed. CD3+ T lymphocytes were significantly associated with clinical node involvement. However, no survival benefits were observed with both biomarkers.

Conclusion: CD8+ T lymphocytes showed a significant association with clinical tumour size, clinical, and pathological staging. However, the study did not provide evidence for the prognostic value of the presence of CD3+ and CD8+ T lymphocytes in the tumour epithelium and stroma of oral cancer patients.

Abstract Image

Abstract Image

Abstract Image

口腔癌免疫浸润的评估:免疫组织化学研究。
背景:抗肿瘤免疫反应的生物标志物提供了有价值的预后信息,并有助于癌症的分层和治疗。肿瘤微环境(tumor microenvironment, TME)定义了肿瘤生物学,口腔鳞状细胞癌中肿瘤浸润淋巴细胞(tumor浸润淋巴细胞,TILs)的评估是一个活跃的研究领域。目的和目的:本研究旨在确定CD8+和CD3+ T淋巴细胞与临床病理参数的关系及其作为预后生物标志物的作用。材料和方法:这是一项基于机构的观察性研究。从档案中检索组织学证实的口腔鳞状细胞癌患者的组织块,并记录所有临床病理参数。利用免疫组织化学技术,在间质和肿瘤内仔细应用半定量和定量的TILs评估方法。采用标准统计学方法进行数据分析。结果:CD8+ T淋巴细胞与临床肿瘤大小(P = 0.012)、临床分期(P = 0.011)、病理分期(P = 0.048)有显著相关性。CD3+ T淋巴细胞与临床淋巴结受累显著相关。然而,两种生物标志物均未观察到生存益处。结论:CD8+ T淋巴细胞与临床肿瘤大小、临床及病理分期有显著相关性。然而,该研究并未为口腔癌患者肿瘤上皮和间质中CD3+和CD8+ T淋巴细胞的存在提供预后价值的证据。
本文章由计算机程序翻译,如有差异,请以英文原文为准。
求助全文
约1分钟内获得全文 求助全文
来源期刊
Journal of Oral and Maxillofacial Pathology
Journal of Oral and Maxillofacial Pathology Medicine-Otorhinolaryngology
CiteScore
1.40
自引率
0.00%
发文量
115
期刊介绍: The journal of Oral and Maxillofacial Pathology [ISSN:print-(0973-029X, online-1998-393X)] is a tri-annual journal published on behalf of “The Indian Association of Oral and Maxillofacial Pathologists” (IAOMP). The publication of JOMFP was started in the year 1993. The journal publishes papers on a wide spectrum of topics associated with the scope of Oral and Maxillofacial Pathology, also, ensuring scientific merit and quality. It is a comprehensive reading material for the professionals who want to upgrade their diagnostic skills in Oral Diseases; allows exposure to newer topics and methods of research in the Oral-facial Tissues and Pathology. New features allow an open minded thinking and approach to various pathologies. It also encourages authors to showcase quality work done by them and to compile relevant cases which are diagnostically challenging. The Journal takes pride in maintaining the quality of articles and photomicrographs.
×
引用
GB/T 7714-2015
复制
MLA
复制
APA
复制
导出至
BibTeX EndNote RefMan NoteFirst NoteExpress
×
提示
您的信息不完整,为了账户安全,请先补充。
现在去补充
×
提示
您因"违规操作"
具体请查看互助需知
我知道了
×
提示
确定
请完成安全验证×
copy
已复制链接
快去分享给好友吧!
我知道了
右上角分享
点击右上角分享
0
联系我们:info@booksci.cn Book学术提供免费学术资源搜索服务,方便国内外学者检索中英文文献。致力于提供最便捷和优质的服务体验。 Copyright © 2023 布克学术 All rights reserved.
京ICP备2023020795号-1
ghs 京公网安备 11010802042870号
Book学术文献互助
Book学术文献互助群
群 号:604180095
Book学术官方微信