Circulating Tumor DNA Testing for Detection and Surveillance of Sinonasal HPV-Associated Cancers.

IF 0.7 Q4 CLINICAL NEUROLOGY
Journal of Neurological Surgery Reports Pub Date : 2025-04-25 eCollection Date: 2025-04-01 DOI:10.1055/a-2576-7496
Avraham E Adelman, Kartik Motwani, Nikita Chapurin
{"title":"Circulating Tumor DNA Testing for Detection and Surveillance of Sinonasal HPV-Associated Cancers.","authors":"Avraham E Adelman, Kartik Motwani, Nikita Chapurin","doi":"10.1055/a-2576-7496","DOIUrl":null,"url":null,"abstract":"<p><strong>Background: </strong>The incidence of human papilloma virus (HPV)-mediated head and neck (H/N) cancers has risen dramatically. While most HPV-associated H/N cancers are oropharyngeal squamous cell carcinoma (OPSCC), sinonasal squamous cell carcinoma (SNSCC) is the second most common. Recent studies highlight an increasing incidence of HPV-positive SNSCC. Circulating tumor HPV DNA (ctDNA) is a noninvasive tool that has become increasingly utilized to detect high-risk HPV genotypes in the setting of OPSCC, with recent studies reporting high sensitivity and specificity in both pretreatment detection and posttreatment surveillance in OPSCC. Only one study exists reporting its use for SNSCC and nasopharyngeal carcinoma, which was successful in pretreatment detection and identification of recurrence posttreatment.</p><p><strong>Case reports: </strong>We report two cases demonstrating the utility of ctDNA in HPV-mediated sinonasal malignancies. Case 1: 60-year-old male who presented with a large nasal cavity cancer. Pretreatment ctDNA testing yielded a positive tumor tissue modified viral (TTMV)-HPV DNA Score of 67, reflective of the normalized tumor tissue modified viral-HPV DNA fragments/mL of plasma, and pathology confirmed HPV+ SNSCC. Posttreatment surveillance with HPV ctDNA and endoscopy has shown no evidence of disease. Case 2 involves a 64-year-old male with HPV+ neuroendocrine carcinoma who developed recurrence. ctDNA testing, previously negative following initial treatment, scored 35 at recurrence, prompting salvage surgery and adjuvant chemoradiation.</p><p><strong>Conclusion: </strong>These cases, along with prior studies, underscore the potential of ctDNA as a diagnostic and surveillance tool for sinonasal malignancies. Further multi-institutional prospective trials with larger cohorts are needed to validate its role in detection and surveillance.</p>","PeriodicalId":44256,"journal":{"name":"Journal of Neurological Surgery Reports","volume":"86 2","pages":"e89-e91"},"PeriodicalIF":0.7000,"publicationDate":"2025-04-25","publicationTypes":"Journal Article","fieldsOfStudy":null,"isOpenAccess":false,"openAccessPdf":"https://www.ncbi.nlm.nih.gov/pmc/articles/PMC12031431/pdf/","citationCount":"0","resultStr":null,"platform":"Semanticscholar","paperid":null,"PeriodicalName":"Journal of Neurological Surgery Reports","FirstCategoryId":"1085","ListUrlMain":"https://doi.org/10.1055/a-2576-7496","RegionNum":0,"RegionCategory":null,"ArticlePicture":[],"TitleCN":null,"AbstractTextCN":null,"PMCID":null,"EPubDate":"2025/4/1 0:00:00","PubModel":"eCollection","JCR":"Q4","JCRName":"CLINICAL NEUROLOGY","Score":null,"Total":0}
引用次数: 0

Abstract

Background: The incidence of human papilloma virus (HPV)-mediated head and neck (H/N) cancers has risen dramatically. While most HPV-associated H/N cancers are oropharyngeal squamous cell carcinoma (OPSCC), sinonasal squamous cell carcinoma (SNSCC) is the second most common. Recent studies highlight an increasing incidence of HPV-positive SNSCC. Circulating tumor HPV DNA (ctDNA) is a noninvasive tool that has become increasingly utilized to detect high-risk HPV genotypes in the setting of OPSCC, with recent studies reporting high sensitivity and specificity in both pretreatment detection and posttreatment surveillance in OPSCC. Only one study exists reporting its use for SNSCC and nasopharyngeal carcinoma, which was successful in pretreatment detection and identification of recurrence posttreatment.

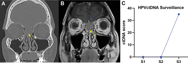
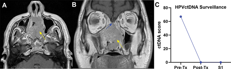
Case reports: We report two cases demonstrating the utility of ctDNA in HPV-mediated sinonasal malignancies. Case 1: 60-year-old male who presented with a large nasal cavity cancer. Pretreatment ctDNA testing yielded a positive tumor tissue modified viral (TTMV)-HPV DNA Score of 67, reflective of the normalized tumor tissue modified viral-HPV DNA fragments/mL of plasma, and pathology confirmed HPV+ SNSCC. Posttreatment surveillance with HPV ctDNA and endoscopy has shown no evidence of disease. Case 2 involves a 64-year-old male with HPV+ neuroendocrine carcinoma who developed recurrence. ctDNA testing, previously negative following initial treatment, scored 35 at recurrence, prompting salvage surgery and adjuvant chemoradiation.

Conclusion: These cases, along with prior studies, underscore the potential of ctDNA as a diagnostic and surveillance tool for sinonasal malignancies. Further multi-institutional prospective trials with larger cohorts are needed to validate its role in detection and surveillance.

Abstract Image

Abstract Image

循环肿瘤DNA检测用于鼻窦hpv相关癌症的检测和监测。
背景:人乳头瘤病毒(HPV)介导的头颈部(H/N)癌症的发病率急剧上升。虽然大多数hpv相关的H/N癌症是口咽鳞状细胞癌(OPSCC),但鼻窦鳞状细胞癌(SNSCC)是第二常见的。最近的研究强调hpv阳性SNSCC的发病率越来越高。循环肿瘤HPV DNA (ctDNA)是一种无创工具,已越来越多地用于检测OPSCC中的高危HPV基因型,最近的研究报告在OPSCC的预处理检测和治疗后监测中具有高灵敏度和特异性。目前仅有一项研究报道了其在SNSCC和鼻咽癌中的应用,并成功地进行了预处理检测和治疗后复发的鉴定。病例报告:我们报告了两个病例,证明了ctDNA在hpv介导的鼻窦恶性肿瘤中的应用。病例1:60岁男性,患大鼻腔癌。ctDNA预处理检测显示肿瘤组织修饰病毒(TTMV)-HPV DNA评分为67分阳性,反映血浆中肿瘤组织修饰病毒-HPV DNA片段/mL归一化,病理证实为HPV+ SNSCC。治疗后监测HPV ctDNA和内窥镜检查显示没有疾病的证据。病例2为64岁男性,HPV+神经内分泌癌复发。ctDNA检测在最初治疗后呈阴性,复发时得分为35分,促使挽救性手术和辅助放化疗。结论:这些病例与先前的研究一起,强调了ctDNA作为鼻窦恶性肿瘤诊断和监测工具的潜力。需要更多的多机构前瞻性试验来验证其在检测和监测中的作用。
本文章由计算机程序翻译,如有差异,请以英文原文为准。
求助全文
约1分钟内获得全文 求助全文
来源期刊
自引率
0.00%
发文量
31
审稿时长
12 weeks
×
引用
GB/T 7714-2015
复制
MLA
复制
APA
复制
导出至
BibTeX EndNote RefMan NoteFirst NoteExpress
×
提示
您的信息不完整,为了账户安全,请先补充。
现在去补充
×
提示
您因"违规操作"
具体请查看互助需知
我知道了
×
提示
确定
请完成安全验证×
copy
已复制链接
快去分享给好友吧!
我知道了
右上角分享
点击右上角分享
0
联系我们:info@booksci.cn Book学术提供免费学术资源搜索服务,方便国内外学者检索中英文文献。致力于提供最便捷和优质的服务体验。 Copyright © 2023 布克学术 All rights reserved.
京ICP备2023020795号-1
ghs 京公网安备 11010802042870号
Book学术文献互助
Book学术文献互助群
群 号:604180095
Book学术官方微信