"Unveiling Unique Pathologies in Obstructive Sleep Apnea: Two Intriguing Case Reports".

IF 1.8 Q4 CLINICAL NEUROLOGY
Sleep Science Pub Date : 2024-06-05 eCollection Date: 2025-03-01 DOI:10.1055/s-0044-1787531
Peter M Baptista, Carlos O'connor, Mahran Altoron, Laura Rodriguez-Alcala, Guillermo Plaza-Mayor
{"title":"\"Unveiling Unique Pathologies in Obstructive Sleep Apnea: Two Intriguing Case Reports\".","authors":"Peter M Baptista, Carlos O'connor, Mahran Altoron, Laura Rodriguez-Alcala, Guillermo Plaza-Mayor","doi":"10.1055/s-0044-1787531","DOIUrl":null,"url":null,"abstract":"<p><p>Obstructive sleep apnea (OSA) is often associated with reduced pharyngeal muscle tone and an anatomically narrowed pharyngeal airspace. We try to describe two cases with OSA that were diagnosed with vascular lesions during DISE: One of them was an aberrant internal carotid artery, and the second one was a glomus tumor. These anatomic anomalies contribute to airspace narrowing in these patients. These two cases describe an exciting presentation of sleep apnea and remind us of the importance of clinically recognizing vascular alterations to avoid damage during routine oropharyngeal procedures.</p>","PeriodicalId":21848,"journal":{"name":"Sleep Science","volume":"18 1","pages":"e114-e118"},"PeriodicalIF":1.8000,"publicationDate":"2024-06-05","publicationTypes":"Journal Article","fieldsOfStudy":null,"isOpenAccess":false,"openAccessPdf":"https://www.ncbi.nlm.nih.gov/pmc/articles/PMC12020557/pdf/","citationCount":"0","resultStr":null,"platform":"Semanticscholar","paperid":null,"PeriodicalName":"Sleep Science","FirstCategoryId":"1085","ListUrlMain":"https://doi.org/10.1055/s-0044-1787531","RegionNum":0,"RegionCategory":null,"ArticlePicture":[],"TitleCN":null,"AbstractTextCN":null,"PMCID":null,"EPubDate":"2025/3/1 0:00:00","PubModel":"eCollection","JCR":"Q4","JCRName":"CLINICAL NEUROLOGY","Score":null,"Total":0}
引用次数: 0

Abstract

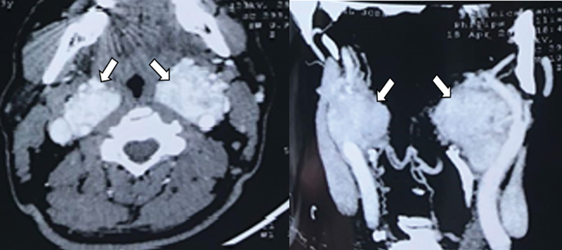
Obstructive sleep apnea (OSA) is often associated with reduced pharyngeal muscle tone and an anatomically narrowed pharyngeal airspace. We try to describe two cases with OSA that were diagnosed with vascular lesions during DISE: One of them was an aberrant internal carotid artery, and the second one was a glomus tumor. These anatomic anomalies contribute to airspace narrowing in these patients. These two cases describe an exciting presentation of sleep apnea and remind us of the importance of clinically recognizing vascular alterations to avoid damage during routine oropharyngeal procedures.

Abstract Image

Abstract Image

Abstract Image

“揭示阻塞性睡眠呼吸暂停的独特病理:两个有趣的病例报告”。
阻塞性睡眠呼吸暂停(OSA)通常与咽肌张力降低和咽空域解剖变窄有关。我们试图描述两例OSA患者在DISE期间被诊断为血管病变:其中一例为异常颈内动脉,另一例为血管球瘤。这些解剖异常导致这些患者的空域狭窄。这两个病例描述了一个令人兴奋的睡眠呼吸暂停的表现,并提醒我们临床识别血管改变的重要性,以避免在常规口咽手术中损伤。
本文章由计算机程序翻译,如有差异,请以英文原文为准。
求助全文
约1分钟内获得全文 求助全文
来源期刊
Sleep Science
Sleep Science CLINICAL NEUROLOGY-
CiteScore
2.50
自引率
12.50%
发文量
124
审稿时长
10 weeks
×
引用
GB/T 7714-2015
复制
MLA
复制
APA
复制
导出至
BibTeX EndNote RefMan NoteFirst NoteExpress
×
提示
您的信息不完整,为了账户安全,请先补充。
现在去补充
×
提示
您因"违规操作"
具体请查看互助需知
我知道了
×
提示
确定
请完成安全验证×
copy
已复制链接
快去分享给好友吧!
我知道了
右上角分享
点击右上角分享
0
联系我们:info@booksci.cn Book学术提供免费学术资源搜索服务,方便国内外学者检索中英文文献。致力于提供最便捷和优质的服务体验。 Copyright © 2023 布克学术 All rights reserved.
京ICP备2023020795号-1
ghs 京公网安备 11010802042870号
Book学术文献互助
Book学术文献互助群
群 号:604180095
Book学术官方微信