Analysis of misdiagnosis and mistreatment of 11 cases of non-tuberculous testicular abscess: case series.

IF 0.7 Q3 MEDICINE, GENERAL & INTERNAL
AME Case Reports Pub Date : 2025-03-27 eCollection Date: 2025-01-01 DOI:10.21037/acr-24-222
Yanmei Li, Zhuorui Zhang, Liangyun Zhao
{"title":"Analysis of misdiagnosis and mistreatment of 11 cases of non-tuberculous testicular abscess: case series.","authors":"Yanmei Li, Zhuorui Zhang, Liangyun Zhao","doi":"10.21037/acr-24-222","DOIUrl":null,"url":null,"abstract":"<p><strong>Background: </strong>Non-tuberculous testicular abscess is primarily a late-stage development complication of urological inflammation. As the disease progresses, some cases' imaging, laboratory results, and clinical symptoms are not typical enough, which frequently results in delayed treatment or a misdiagnosis that necessitates a non-essential orchiectomy. We analyze and summarize the data related to the surgical treatment of non-tuberculous testicular abscesses diagnosed in our hospital in order to help with the clinical diagnosis of related diseases and the choice of treatment. This is done through the analysis and summary of the pertinent data on the diagnosis of non-tuberculous testicular abscess for surgical treatment at our hospital.</p><p><strong>Case description: </strong>Clinical information for 11 patients with testicular abscesses who were diagnosed for surgical treatment in our hospital between 2006 and 2023 was retrospectively examined. Out of the eleven patients with nontuberculous testicular abscesses who had postoperative testicular pathology confirm the diagnosis, five had imaging-diagnosed testicular infarcts, two received orchiectomy due to misdiagnosis of testicular tumors, and one had an incorrect diagnosis of testicular torsion.</p><p><strong>Conclusions: </strong>Non-tuberculous testicular abscesses can present with a wide range of unusual clinical signs, making a diagnosis difficult to make. In order to reduce the risk of orchiectomy and testicular atrophy, the foundation of clinical therapeutic decision-making is to obtain a precise diagnosis whenever feasible and to intervene as soon as necessary with incision and decompression.</p>","PeriodicalId":29752,"journal":{"name":"AME Case Reports","volume":"9 ","pages":"38"},"PeriodicalIF":0.7000,"publicationDate":"2025-03-27","publicationTypes":"Journal Article","fieldsOfStudy":null,"isOpenAccess":false,"openAccessPdf":"https://www.ncbi.nlm.nih.gov/pmc/articles/PMC12053968/pdf/","citationCount":"0","resultStr":null,"platform":"Semanticscholar","paperid":null,"PeriodicalName":"AME Case Reports","FirstCategoryId":"1085","ListUrlMain":"https://doi.org/10.21037/acr-24-222","RegionNum":0,"RegionCategory":null,"ArticlePicture":[],"TitleCN":null,"AbstractTextCN":null,"PMCID":null,"EPubDate":"2025/1/1 0:00:00","PubModel":"eCollection","JCR":"Q3","JCRName":"MEDICINE, GENERAL & INTERNAL","Score":null,"Total":0}
引用次数: 0

Abstract

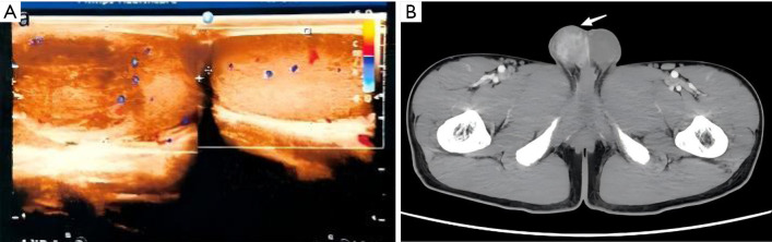
Background: Non-tuberculous testicular abscess is primarily a late-stage development complication of urological inflammation. As the disease progresses, some cases' imaging, laboratory results, and clinical symptoms are not typical enough, which frequently results in delayed treatment or a misdiagnosis that necessitates a non-essential orchiectomy. We analyze and summarize the data related to the surgical treatment of non-tuberculous testicular abscesses diagnosed in our hospital in order to help with the clinical diagnosis of related diseases and the choice of treatment. This is done through the analysis and summary of the pertinent data on the diagnosis of non-tuberculous testicular abscess for surgical treatment at our hospital.

Case description: Clinical information for 11 patients with testicular abscesses who were diagnosed for surgical treatment in our hospital between 2006 and 2023 was retrospectively examined. Out of the eleven patients with nontuberculous testicular abscesses who had postoperative testicular pathology confirm the diagnosis, five had imaging-diagnosed testicular infarcts, two received orchiectomy due to misdiagnosis of testicular tumors, and one had an incorrect diagnosis of testicular torsion.

Conclusions: Non-tuberculous testicular abscesses can present with a wide range of unusual clinical signs, making a diagnosis difficult to make. In order to reduce the risk of orchiectomy and testicular atrophy, the foundation of clinical therapeutic decision-making is to obtain a precise diagnosis whenever feasible and to intervene as soon as necessary with incision and decompression.

Abstract Image

Abstract Image

Abstract Image

非结核性睾丸脓肿11例误诊误治分析。
背景:非结核性睾丸脓肿主要是泌尿系统炎症的晚期并发症。随着病情的发展,一些病例的影像学、实验室结果和临床症状不够典型,这往往导致治疗延误或误诊,需要进行非必要的睾丸切除术。我们对我院诊断的非结核性睾丸脓肿的手术治疗资料进行分析和总结,以帮助临床对相关疾病的诊断和治疗方案的选择。本文通过对我院非结核性睾丸脓肿手术诊断的相关资料进行分析和总结。病例描述:回顾性分析我院2006年至2023年诊断为手术治疗的11例睾丸脓肿患者的临床资料。11例非结核性睾丸脓肿术后病理证实诊断,其中5例影像学诊断为睾丸梗死,2例因误诊为睾丸肿瘤而行睾丸切除术,1例误诊为睾丸扭转。结论:非结核性睾丸脓肿可表现为多种不寻常的临床体征,使诊断困难。为了降低睾丸切除术和睾丸萎缩的风险,在可行的情况下获得准确的诊断,并在必要时及时干预,进行切开减压,是临床治疗决策的基础。
本文章由计算机程序翻译,如有差异,请以英文原文为准。
求助全文
约1分钟内获得全文 求助全文
来源期刊
自引率
0.00%
发文量
0
×
引用
GB/T 7714-2015
复制
MLA
复制
APA
复制
导出至
BibTeX EndNote RefMan NoteFirst NoteExpress
×
提示
您的信息不完整,为了账户安全,请先补充。
现在去补充
×
提示
您因"违规操作"
具体请查看互助需知
我知道了
×
提示
确定
请完成安全验证×
copy
已复制链接
快去分享给好友吧!
我知道了
右上角分享
点击右上角分享
0
联系我们:info@booksci.cn Book学术提供免费学术资源搜索服务,方便国内外学者检索中英文文献。致力于提供最便捷和优质的服务体验。 Copyright © 2023 布克学术 All rights reserved.
京ICP备2023020795号-1
ghs 京公网安备 11010802042870号
Book学术文献互助
Book学术文献互助群
群 号:604180095
Book学术官方微信