A rare case of Yersinia pseudotuberculosis liver abscess and bacteremia in a heterozygous carrier of HFE1 H63D and MPEG1 mutations in Turkiye.

IF 2.1 Q4 GASTROENTEROLOGY & HEPATOLOGY
Hepatology Forum Pub Date : 2024-10-25 eCollection Date: 2025-01-01 DOI:10.14744/hf.2023.2023.0041
Muhammed Alper Ozarslan, Hasan Selcuk Ozkan, Mert Pekerbas, Bartu Cetin, Mustafa Mustafayev, Fulya Gunsar, Asude Durmaz, Ayca Aykut, Sohret Aydemir
{"title":"A rare case of <i>Yersinia pseudotuberculosis</i> liver abscess and bacteremia in a heterozygous carrier of <i>HFE</i>1 <i>H63D</i> and <i>MPEG1</i> mutations in Turkiye.","authors":"Muhammed Alper Ozarslan, Hasan Selcuk Ozkan, Mert Pekerbas, Bartu Cetin, Mustafa Mustafayev, Fulya Gunsar, Asude Durmaz, Ayca Aykut, Sohret Aydemir","doi":"10.14744/hf.2023.2023.0041","DOIUrl":null,"url":null,"abstract":"<p><p><i>Yersinia pseudotuberculosis</i> is a rare pathogenic organism in humans and is encountered mostly in patients with acquired or hereditary iron overload. This case report presents such a case with no known risk factors for iron overload, except heterozygous mutations in <i>MPEG1</i> and <i>HFE</i> genes, while presenting the first patient with <i>Y. pseudotuberculosis</i> liver abscess in Turkiye. Here we present a 63-years-old male with known long-standing hypertension, type 2 diabetes, peripheral artery disease and chronic kidney disease presenting with right upper quadrant pain, nausea, vomiting and fever, whose imaging studies revealed multiple liver abscesses. While investigating the etiology, <i>Yersinia pseudotuberculosis</i> growth was observed in his abscess aspiration material and blood culture. Genetic analysis conducted after the detection of a ferritin level of 13725 µg/L, showed a heterozygous <i>H63D</i> mutation in HFE. Consequent whole-exon-sequencing reported an additional heterozygous p. Thr73Ala mutation in <i>MPEG1</i>. Even though, <i>Y. pseudotuberculosis</i> is detected mostly in patients with primary hemochromatosis, even heterozygous carriers of hemochromatosis may present clinically if concomitant comorbidities exist and may pose a challenge not only to clinicians but also to laboratory diagnosticians.</p>","PeriodicalId":29722,"journal":{"name":"Hepatology Forum","volume":"6 1","pages":"22-25"},"PeriodicalIF":2.1000,"publicationDate":"2024-10-25","publicationTypes":"Journal Article","fieldsOfStudy":null,"isOpenAccess":false,"openAccessPdf":"https://www.ncbi.nlm.nih.gov/pmc/articles/PMC12008461/pdf/","citationCount":"0","resultStr":null,"platform":"Semanticscholar","paperid":null,"PeriodicalName":"Hepatology Forum","FirstCategoryId":"1085","ListUrlMain":"https://doi.org/10.14744/hf.2023.2023.0041","RegionNum":0,"RegionCategory":null,"ArticlePicture":[],"TitleCN":null,"AbstractTextCN":null,"PMCID":null,"EPubDate":"2025/1/1 0:00:00","PubModel":"eCollection","JCR":"Q4","JCRName":"GASTROENTEROLOGY & HEPATOLOGY","Score":null,"Total":0}
引用次数: 0

Abstract

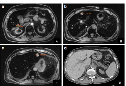
Yersinia pseudotuberculosis is a rare pathogenic organism in humans and is encountered mostly in patients with acquired or hereditary iron overload. This case report presents such a case with no known risk factors for iron overload, except heterozygous mutations in MPEG1 and HFE genes, while presenting the first patient with Y. pseudotuberculosis liver abscess in Turkiye. Here we present a 63-years-old male with known long-standing hypertension, type 2 diabetes, peripheral artery disease and chronic kidney disease presenting with right upper quadrant pain, nausea, vomiting and fever, whose imaging studies revealed multiple liver abscesses. While investigating the etiology, Yersinia pseudotuberculosis growth was observed in his abscess aspiration material and blood culture. Genetic analysis conducted after the detection of a ferritin level of 13725 µg/L, showed a heterozygous H63D mutation in HFE. Consequent whole-exon-sequencing reported an additional heterozygous p. Thr73Ala mutation in MPEG1. Even though, Y. pseudotuberculosis is detected mostly in patients with primary hemochromatosis, even heterozygous carriers of hemochromatosis may present clinically if concomitant comorbidities exist and may pose a challenge not only to clinicians but also to laboratory diagnosticians.

Abstract Image

Abstract Image

一例罕见的假结核耶尔森氏菌肝脓肿和菌血症在土耳其HFE1 H63D和MPEG1突变杂合携带者。
假结核耶尔森菌是一种罕见的人类致病菌,主要见于获得性或遗传性铁超载患者。本病例报告报道了土耳其首例假结核杆菌肝脓肿患者,除了MPEG1和HFE基因杂合突变外,没有已知的铁超载危险因素。我们报告一位63岁男性,已知长期高血压、2型糖尿病、外周动脉疾病和慢性肾脏疾病,表现为右上腹疼痛、恶心、呕吐和发烧,影像学检查显示多发肝脓肿。在调查病因时,在脓肿吸吸材料和血培养中观察到假结核耶尔森菌的生长。检测铁蛋白水平13725µg/L后进行遗传分析,HFE出现H63D杂合突变。随后的全外显子测序报告了MPEG1中额外的杂合p. Thr73Ala突变。尽管假结核杆菌主要在原发性血色素沉着症患者中检测到,但如果血色素沉着症的杂合携带者存在合并症,则可能在临床上出现,这不仅对临床医生而且对实验室诊断人员构成挑战。
本文章由计算机程序翻译,如有差异,请以英文原文为准。
求助全文
约1分钟内获得全文 求助全文
来源期刊
CiteScore
1.90
自引率
12.50%
发文量
0
×
引用
GB/T 7714-2015
复制
MLA
复制
APA
复制
导出至
BibTeX EndNote RefMan NoteFirst NoteExpress
×
提示
您的信息不完整,为了账户安全,请先补充。
现在去补充
×
提示
您因"违规操作"
具体请查看互助需知
我知道了
×
提示
确定
请完成安全验证×
copy
已复制链接
快去分享给好友吧!
我知道了
右上角分享
点击右上角分享
0
联系我们:info@booksci.cn Book学术提供免费学术资源搜索服务,方便国内外学者检索中英文文献。致力于提供最便捷和优质的服务体验。 Copyright © 2023 布克学术 All rights reserved.
京ICP备2023020795号-1
ghs 京公网安备 11010802042870号
Book学术文献互助
Book学术文献互助群
群 号:604180095
Book学术官方微信