Giant right atrial myxoma complicated with massive pulmonary embolism and right-sided heart failure: a case report.

IF 0.7 Q3 MEDICINE, GENERAL & INTERNAL
AME Case Reports Pub Date : 2025-01-06 eCollection Date: 2025-01-01 DOI:10.21037/acr-24-145
Duolikun Mutailifu, Abudousaimi Aini, Abudunaibi Maimaitiaili
{"title":"Giant right atrial myxoma complicated with massive pulmonary embolism and right-sided heart failure: a case report.","authors":"Duolikun Mutailifu, Abudousaimi Aini, Abudunaibi Maimaitiaili","doi":"10.21037/acr-24-145","DOIUrl":null,"url":null,"abstract":"<p><strong>Background: </strong>About 75% of myxomas occur in the left atrium and 10-20% in the right atrium. Right atrium myxomas producing a wide range of potential symptoms and complications, from asymptomatic to serious presentations with acute pulmonary embolism (PE) or cardiogenic shock. Early diagnosis and prompt surgical intervention are critical.</p><p><strong>Case description: </strong>A 43-year-old man presented with progressive dyspnea, fatigue, and palpitations, imaging revealed a large mobile right atrial myxoma (78 mm × 52 mm) causing intermittent tricuspid valve obstruction and multifocal pulmonary emboli. Laboratory tests showed elevated B-type natriuretic peptide (BNP) and D-dimer levels. The patient was diagnosed with a benign cardiac tumor, PE, and New York Heart Association (NYHA) Class III heart function. Open-chest surgery with cardiopulmonary bypass resulted in successful tumor resection and emboli extraction. Postoperatively, the patient showed significant symptom improvement and no tumor recurrence at the 6-month follow-up. It is such giant right atrial myxomas that speak for the need for early diagnosis with surgical intervention.</p><p><strong>Conclusions: </strong>This case is illustrative of the practical outcome brought about by multidisciplinary involvement. These cases are rare, and the possibility of embolizing makes them inevitable for a meticulous clinical assessment with enhanced imaging, preferably with the help of computed tomography pulmonary angiography (CTPA) techniques, for diagnosis and management of these complex conditions. Early recognition and intervention are paramount to mitigating the risk of life-threatening complications such as pulmonary hypertension and embolism. Timely surgical intervention can prevent severe hemodynamic disturbances and improve patient outcomes.</p>","PeriodicalId":29752,"journal":{"name":"AME Case Reports","volume":"9 ","pages":"41"},"PeriodicalIF":0.7000,"publicationDate":"2025-01-06","publicationTypes":"Journal Article","fieldsOfStudy":null,"isOpenAccess":false,"openAccessPdf":"https://www.ncbi.nlm.nih.gov/pmc/articles/PMC12053975/pdf/","citationCount":"0","resultStr":null,"platform":"Semanticscholar","paperid":null,"PeriodicalName":"AME Case Reports","FirstCategoryId":"1085","ListUrlMain":"https://doi.org/10.21037/acr-24-145","RegionNum":0,"RegionCategory":null,"ArticlePicture":[],"TitleCN":null,"AbstractTextCN":null,"PMCID":null,"EPubDate":"2025/1/1 0:00:00","PubModel":"eCollection","JCR":"Q3","JCRName":"MEDICINE, GENERAL & INTERNAL","Score":null,"Total":0}
引用次数: 0

Abstract

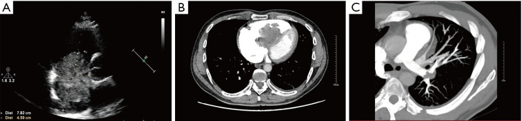
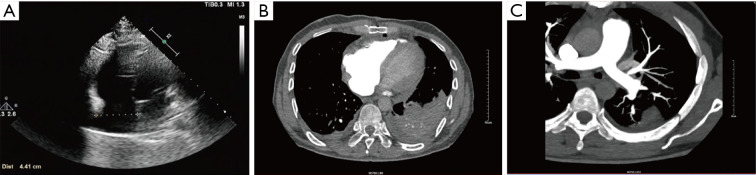
Background: About 75% of myxomas occur in the left atrium and 10-20% in the right atrium. Right atrium myxomas producing a wide range of potential symptoms and complications, from asymptomatic to serious presentations with acute pulmonary embolism (PE) or cardiogenic shock. Early diagnosis and prompt surgical intervention are critical.

Case description: A 43-year-old man presented with progressive dyspnea, fatigue, and palpitations, imaging revealed a large mobile right atrial myxoma (78 mm × 52 mm) causing intermittent tricuspid valve obstruction and multifocal pulmonary emboli. Laboratory tests showed elevated B-type natriuretic peptide (BNP) and D-dimer levels. The patient was diagnosed with a benign cardiac tumor, PE, and New York Heart Association (NYHA) Class III heart function. Open-chest surgery with cardiopulmonary bypass resulted in successful tumor resection and emboli extraction. Postoperatively, the patient showed significant symptom improvement and no tumor recurrence at the 6-month follow-up. It is such giant right atrial myxomas that speak for the need for early diagnosis with surgical intervention.

Conclusions: This case is illustrative of the practical outcome brought about by multidisciplinary involvement. These cases are rare, and the possibility of embolizing makes them inevitable for a meticulous clinical assessment with enhanced imaging, preferably with the help of computed tomography pulmonary angiography (CTPA) techniques, for diagnosis and management of these complex conditions. Early recognition and intervention are paramount to mitigating the risk of life-threatening complications such as pulmonary hypertension and embolism. Timely surgical intervention can prevent severe hemodynamic disturbances and improve patient outcomes.

Abstract Image

Abstract Image

Abstract Image

巨大右心房黏液瘤合并大量肺栓塞及右侧心力衰竭1例。
背景:约75%的黏液瘤发生在左心房,10-20%发生在右心房。右心房黏液瘤产生广泛的潜在症状和并发症,从无症状到严重的急性肺栓塞(PE)或心源性休克。早期诊断和及时手术治疗至关重要。病例描述:一名43岁男性,表现为进行性呼吸困难、疲劳和心悸,影像学显示有一个大的活动性右心房黏液瘤(78 mm × 52 mm),引起间歇性三尖瓣阻塞和多灶性肺栓塞。实验室检查显示b型利钠肽(BNP)和d -二聚体水平升高。患者被诊断为良性心脏肿瘤、PE和纽约心脏协会(NYHA) III级心功能。开胸手术配合体外循环成功切除肿瘤并取出栓子。术后随访6个月,患者症状明显改善,无肿瘤复发。正是这种巨大的右心房黏液瘤说明了早期诊断和手术干预的必要性。结论:本病例说明了多学科介入所带来的实际结果。这些病例是罕见的,栓塞的可能性使其不可避免地需要通过增强成像进行细致的临床评估,最好是在计算机断层肺血管造影(CTPA)技术的帮助下,以诊断和治疗这些复杂的疾病。早期识别和干预对于降低危及生命的并发症(如肺动脉高压和栓塞)的风险至关重要。及时的手术干预可以预防严重的血流动力学紊乱,改善患者的预后。
本文章由计算机程序翻译,如有差异,请以英文原文为准。
求助全文
约1分钟内获得全文 求助全文
来源期刊
自引率
0.00%
发文量
0
×
引用
GB/T 7714-2015
复制
MLA
复制
APA
复制
导出至
BibTeX EndNote RefMan NoteFirst NoteExpress
×
提示
您的信息不完整,为了账户安全,请先补充。
现在去补充
×
提示
您因"违规操作"
具体请查看互助需知
我知道了
×
提示
确定
请完成安全验证×
copy
已复制链接
快去分享给好友吧!
我知道了
右上角分享
点击右上角分享
0
联系我们:info@booksci.cn Book学术提供免费学术资源搜索服务,方便国内外学者检索中英文文献。致力于提供最便捷和优质的服务体验。 Copyright © 2023 布克学术 All rights reserved.
京ICP备2023020795号-1
ghs 京公网安备 11010802042870号
Book学术文献互助
Book学术文献互助群
群 号:604180095
Book学术官方微信