Gallbladder and Small Intestinal Luminal Opacification by Vicarious Contrast Medium Excretion Can be Observed on Delayed Computed Tomography in Healthy Dogs.

IF 1.5 2区 农林科学 Q2 VETERINARY SCIENCES
Hyeeun Jo, Sang-Kwon Lee, Sooyoung Choi, Miori Kishimoto, Kija Lee
{"title":"Gallbladder and Small Intestinal Luminal Opacification by Vicarious Contrast Medium Excretion Can be Observed on Delayed Computed Tomography in Healthy Dogs.","authors":"Hyeeun Jo, Sang-Kwon Lee, Sooyoung Choi, Miori Kishimoto, Kija Lee","doi":"10.1111/vru.70033","DOIUrl":null,"url":null,"abstract":"<p><p>Vicarious excretion is a nonrenal pathway of excretion for intravenously injected iodinated contrast media, with a limited understanding of its influencing factors and imaging features. In this prospective pilot study, gallbladder opacification (GBO) and small intestinal luminal opacification (SILO) were assessed to identify vicarious excretion patterns following intravenous contrast media administration for CT in clinically healthy dogs. Eight beagles were studied using a crossover method, divided into fed and fasted groups. The fed group was fed at 5 and 13 h after the first CT scan, while the fasted group was fed only at 13 h. Noncontrast and postcontrast CT scans were performed at 90 s, 10 min, 1 h, 4 h, 12 h, and 24 h after iohexol injection. The GBO was subjectively scored from grade 0 to 5 based on the attenuation value and area of opacification. The SILO was evaluated subjectively based on contrast intensity (weak or marked) and distribution. The GBO was observed from 1 h after contrast injection. Significant differences were noted in median GBO scores within the groups at 4, 12, and 24 h on Friedman's test followed by the post hoc Wilcoxon signed-rank test. The scores were significantly higher in the fasted group at 12 h on the Wilcoxon signed-rank test. The SILO occurred 10 min after contrast administration, with various distributions. In conclusion, GBO and SILO can be observed during delayed CT phases, and fasting increases the intensity and duration of GBO in clinically healthy dogs. These findings should not be interpreted as pathological changes.</p>","PeriodicalId":23581,"journal":{"name":"Veterinary Radiology & Ultrasound","volume":"66 3","pages":"e70033"},"PeriodicalIF":1.5000,"publicationDate":"2025-05-01","publicationTypes":"Journal Article","fieldsOfStudy":null,"isOpenAccess":false,"openAccessPdf":"https://www.ncbi.nlm.nih.gov/pmc/articles/PMC12046108/pdf/","citationCount":"0","resultStr":null,"platform":"Semanticscholar","paperid":null,"PeriodicalName":"Veterinary Radiology & Ultrasound","FirstCategoryId":"97","ListUrlMain":"https://doi.org/10.1111/vru.70033","RegionNum":2,"RegionCategory":"农林科学","ArticlePicture":[],"TitleCN":null,"AbstractTextCN":null,"PMCID":null,"EPubDate":"","PubModel":"","JCR":"Q2","JCRName":"VETERINARY SCIENCES","Score":null,"Total":0}
引用次数: 0

Abstract

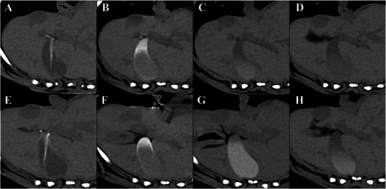
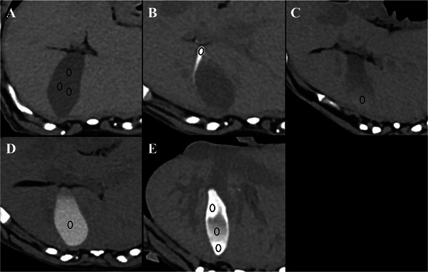
Vicarious excretion is a nonrenal pathway of excretion for intravenously injected iodinated contrast media, with a limited understanding of its influencing factors and imaging features. In this prospective pilot study, gallbladder opacification (GBO) and small intestinal luminal opacification (SILO) were assessed to identify vicarious excretion patterns following intravenous contrast media administration for CT in clinically healthy dogs. Eight beagles were studied using a crossover method, divided into fed and fasted groups. The fed group was fed at 5 and 13 h after the first CT scan, while the fasted group was fed only at 13 h. Noncontrast and postcontrast CT scans were performed at 90 s, 10 min, 1 h, 4 h, 12 h, and 24 h after iohexol injection. The GBO was subjectively scored from grade 0 to 5 based on the attenuation value and area of opacification. The SILO was evaluated subjectively based on contrast intensity (weak or marked) and distribution. The GBO was observed from 1 h after contrast injection. Significant differences were noted in median GBO scores within the groups at 4, 12, and 24 h on Friedman's test followed by the post hoc Wilcoxon signed-rank test. The scores were significantly higher in the fasted group at 12 h on the Wilcoxon signed-rank test. The SILO occurred 10 min after contrast administration, with various distributions. In conclusion, GBO and SILO can be observed during delayed CT phases, and fasting increases the intensity and duration of GBO in clinically healthy dogs. These findings should not be interpreted as pathological changes.

Abstract Image

Abstract Image

Abstract Image

在健康犬的延迟计算机断层扫描上可以观察到代入造影剂排泄导致的胆囊和小肠腔混浊。
静脉注射碘造影剂的替代排泄是一种非肾性排泄途径,对其影响因素和影像学特征的了解有限。在这项前瞻性先导研究中,对临床健康犬的胆囊混浊(GBO)和小肠腔混浊(SILO)进行评估,以确定静脉注射造影剂后的替代排泄模式。8只小猎犬采用交叉实验方法进行研究,分为进食组和禁食组。饲喂组在CT首次扫描后5、13 h饲喂,禁食组仅在13 h饲喂。注射碘己醇后90 s、10 min、1 h、4 h、12 h、24 h分别进行非对比和对比后CT扫描。根据衰减值和混浊面积对GBO进行0 ~ 5级主观评分。根据对比强度(弱或明显)和分布对SILO进行主观评价。注射造影剂1 h后观察GBO。在弗里德曼检验和事后Wilcoxon符号秩检验中,4、12和24小时组内GBO得分中位数有显著差异。在12小时的Wilcoxon sign -rank检验中,禁食组的得分明显更高。SILO发生于给药后10分钟,且分布不同。综上所述,在CT延迟期可以观察到GBO和SILO,在临床健康犬中,禁食可以增加GBO的强度和持续时间。这些发现不应被解释为病理改变。
本文章由计算机程序翻译,如有差异,请以英文原文为准。
求助全文
约1分钟内获得全文 求助全文
来源期刊
Veterinary Radiology & Ultrasound
Veterinary Radiology & Ultrasound 农林科学-兽医学
CiteScore
2.40
自引率
17.60%
发文量
133
审稿时长
8-16 weeks
期刊介绍: Veterinary Radiology & Ultrasound is a bimonthly, international, peer-reviewed, research journal devoted to the fields of veterinary diagnostic imaging and radiation oncology. Established in 1958, it is owned by the American College of Veterinary Radiology and is also the official journal for six affiliate veterinary organizations. Veterinary Radiology & Ultrasound is represented on the International Committee of Medical Journal Editors, World Association of Medical Editors, and Committee on Publication Ethics. The mission of Veterinary Radiology & Ultrasound is to serve as a leading resource for high quality articles that advance scientific knowledge and standards of clinical practice in the areas of veterinary diagnostic radiology, computed tomography, magnetic resonance imaging, ultrasonography, nuclear imaging, radiation oncology, and interventional radiology. Manuscript types include original investigations, imaging diagnosis reports, review articles, editorials and letters to the Editor. Acceptance criteria include originality, significance, quality, reader interest, composition and adherence to author guidelines.
×
引用
GB/T 7714-2015
复制
MLA
复制
APA
复制
导出至
BibTeX EndNote RefMan NoteFirst NoteExpress
×
提示
您的信息不完整,为了账户安全,请先补充。
现在去补充
×
提示
您因"违规操作"
具体请查看互助需知
我知道了
×
提示
确定
请完成安全验证×
copy
已复制链接
快去分享给好友吧!
我知道了
右上角分享
点击右上角分享
0
联系我们:info@booksci.cn Book学术提供免费学术资源搜索服务,方便国内外学者检索中英文文献。致力于提供最便捷和优质的服务体验。 Copyright © 2023 布克学术 All rights reserved.
京ICP备2023020795号-1
ghs 京公网安备 11010802042870号
Book学术文献互助
Book学术文献互助群
群 号:604180095
Book学术官方微信