Development of a plant-based vaccine against brucellosis: stable expression of Brucella abortus OMP25 in transgenic tobacco.

IF 2 3区 生物学 Q2 BIOCHEMICAL RESEARCH METHODS
Mansoure Qashqai, Emrah Bertan, Semiha Erisen, Tulin Ozbek, Senay Vural-Korkut
{"title":"Development of a plant-based vaccine against brucellosis: stable expression of Brucella abortus OMP25 in transgenic tobacco.","authors":"Mansoure Qashqai, Emrah Bertan, Semiha Erisen, Tulin Ozbek, Senay Vural-Korkut","doi":"10.1007/s11248-025-00441-0","DOIUrl":null,"url":null,"abstract":"<p><p>Brucellosis, caused by Brucella species, is a global threat to livestock farming, resulting in economic losses and socio-economic challenges, particularly in rural areas. Despite its impact, no licensed human vaccines are available. Animal vaccination remains the most cost-effective control method, but traditional vaccine production is expensive. Edible vaccines, using plants as bioreactors to produce immunogenic antigens, offer a low-cost alternative by eliminating complex purification processes. This study developed a transgenic plant by expressing the Brucella abortus outer membrane protein OMP25 in tobacco plants. OMP25, a conserved transmembrane protein with high immunogenicity, was cloned into a Gateway pDONR vector via a Boundary Pairing reaction and transferred to a binary destination vector via a Left-Right reaction. The destination vector was introduced into Agrobacterium tumefaciens and subsequently used for Agrobacterium-mediated transformation of tobacco plants. Transgenic plants were selected on media containing kanamycin, and the expression of the transgene was verified through the fluorescence of green fluorescent protein. Microcallus formation and shoot development on selective media confirmed kanamycin resistance and the successful integration of the transgene. After phenotypic selection, genomic DNA was extracted from transgenic plants and analyzed by PCR (Polymerase Chain Reaction) using primers specific to the OMP25 gene. Positive PCR results validated the successful integration of the OMP25 gene into the plant genome. Gene expression was further confirmed at the RNA level through real-time quantitative PCR (qRT-PCR) and at the protein level via Western blot analysis. Future studies will evaluate immune responses in animal models. This approach demonstrates the potential for low-cost, effective vaccines to combat brucellosis, addressing critical economic and public health challenges.</p>","PeriodicalId":23258,"journal":{"name":"Transgenic Research","volume":"34 1","pages":"22"},"PeriodicalIF":2.0000,"publicationDate":"2025-04-29","publicationTypes":"Journal Article","fieldsOfStudy":null,"isOpenAccess":false,"openAccessPdf":"https://www.ncbi.nlm.nih.gov/pmc/articles/PMC12041093/pdf/","citationCount":"0","resultStr":null,"platform":"Semanticscholar","paperid":null,"PeriodicalName":"Transgenic Research","FirstCategoryId":"99","ListUrlMain":"https://doi.org/10.1007/s11248-025-00441-0","RegionNum":3,"RegionCategory":"生物学","ArticlePicture":[],"TitleCN":null,"AbstractTextCN":null,"PMCID":null,"EPubDate":"","PubModel":"","JCR":"Q2","JCRName":"BIOCHEMICAL RESEARCH METHODS","Score":null,"Total":0}
引用次数: 0

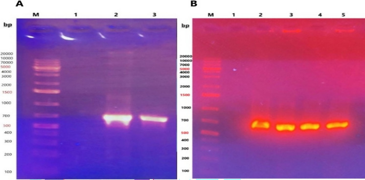
Abstract

Brucellosis, caused by Brucella species, is a global threat to livestock farming, resulting in economic losses and socio-economic challenges, particularly in rural areas. Despite its impact, no licensed human vaccines are available. Animal vaccination remains the most cost-effective control method, but traditional vaccine production is expensive. Edible vaccines, using plants as bioreactors to produce immunogenic antigens, offer a low-cost alternative by eliminating complex purification processes. This study developed a transgenic plant by expressing the Brucella abortus outer membrane protein OMP25 in tobacco plants. OMP25, a conserved transmembrane protein with high immunogenicity, was cloned into a Gateway pDONR vector via a Boundary Pairing reaction and transferred to a binary destination vector via a Left-Right reaction. The destination vector was introduced into Agrobacterium tumefaciens and subsequently used for Agrobacterium-mediated transformation of tobacco plants. Transgenic plants were selected on media containing kanamycin, and the expression of the transgene was verified through the fluorescence of green fluorescent protein. Microcallus formation and shoot development on selective media confirmed kanamycin resistance and the successful integration of the transgene. After phenotypic selection, genomic DNA was extracted from transgenic plants and analyzed by PCR (Polymerase Chain Reaction) using primers specific to the OMP25 gene. Positive PCR results validated the successful integration of the OMP25 gene into the plant genome. Gene expression was further confirmed at the RNA level through real-time quantitative PCR (qRT-PCR) and at the protein level via Western blot analysis. Future studies will evaluate immune responses in animal models. This approach demonstrates the potential for low-cost, effective vaccines to combat brucellosis, addressing critical economic and public health challenges.

Abstract Image

Abstract Image

Abstract Image

基于植物的布鲁氏菌病疫苗的研制:流产布鲁氏菌OMP25在转基因烟草中的稳定表达
由布鲁氏菌引起的布鲁氏菌病是对畜牧业的全球性威胁,造成经济损失和社会经济挑战,特别是在农村地区。尽管它的影响很大,但目前还没有获得许可的人类疫苗。动物疫苗接种仍然是最具成本效益的控制方法,但传统疫苗生产成本高昂。食用疫苗利用植物作为生物反应器生产免疫原性抗原,通过消除复杂的纯化过程,提供了一种低成本的替代方案。本研究通过在烟草植株中表达流产布鲁氏菌外膜蛋白OMP25,建立了一株转基因植株。OMP25是一种保守的跨膜蛋白,具有较高的免疫原性,通过边界配对反应克隆到Gateway pDONR载体上,并通过左-右反应转移到二元目的载体上。目的载体被引入农杆菌,随后用于农杆菌介导的烟草植株转化。在含有卡那霉素的培养基上选择转基因植株,通过绿色荧光蛋白的荧光验证转基因的表达。在选择性培养基上形成的小愈伤组织和芽的发育证实了其对卡那霉素的抗性和转基因的成功整合。表型选择后,从转基因植株中提取基因组DNA,利用OMP25基因特异性引物进行PCR (Polymerase Chain Reaction)分析。PCR阳性结果证实了OMP25基因成功整合到植物基因组中。通过实时定量PCR (qRT-PCR)在RNA水平上进一步证实基因表达,通过Western blot分析在蛋白水平上进一步证实基因表达。未来的研究将在动物模型中评估免疫反应。这种方法表明,有可能研制出低成本、有效的布鲁氏菌病疫苗,以应对重大的经济和公共卫生挑战。
本文章由计算机程序翻译,如有差异,请以英文原文为准。
求助全文
约1分钟内获得全文 求助全文
来源期刊
Transgenic Research
Transgenic Research 生物-生化研究方法
CiteScore
5.40
自引率
0.00%
发文量
38
审稿时长
4-8 weeks
期刊介绍: Transgenic Research focusses on transgenic and genome edited higher organisms. Manuscripts emphasizing biotechnological applications are strongly encouraged. Intellectual property, ethical issues, societal impact and regulatory aspects also fall within the scope of the journal. Transgenic Research aims to bridge the gap between fundamental and applied science in molecular biology and biotechnology for the plant and animal academic and associated industry communities. Transgenic Research publishes -Original Papers -Reviews: Should critically summarize the current state-of-the-art of the subject in a dispassionate way. Authors are requested to contact a Board Member before submission. Reviews should not be descriptive; rather they should present the most up-to-date information on the subject in a dispassionate and critical way. Perspective Reviews which can address new or controversial aspects are encouraged. -Brief Communications: Should report significant developments in methodology and experimental transgenic higher organisms
×
引用
GB/T 7714-2015
复制
MLA
复制
APA
复制
导出至
BibTeX EndNote RefMan NoteFirst NoteExpress
×
提示
您的信息不完整,为了账户安全,请先补充。
现在去补充
×
提示
您因"违规操作"
具体请查看互助需知
我知道了
×
提示
确定
请完成安全验证×
copy
已复制链接
快去分享给好友吧!
我知道了
右上角分享
点击右上角分享
0
联系我们:info@booksci.cn Book学术提供免费学术资源搜索服务,方便国内外学者检索中英文文献。致力于提供最便捷和优质的服务体验。 Copyright © 2023 布克学术 All rights reserved.
京ICP备2023020795号-1
ghs 京公网安备 11010802042870号
Book学术文献互助
Book学术文献互助群
群 号:604180095
Book学术官方微信