Pneumoperitoneum Caused by a Ruptured Splenic Abscess Mimicking Gastrointestinal Perforation: A Case Report.

IF 0.7 Q4 SURGERY
Surgical Case Reports Pub Date : 2025-01-01 Epub Date: 2025-04-25 DOI:10.70352/scrj.cr.24-0098
Naoki Kawahara, Mitsuaki Kojima, Koji Morishita
{"title":"Pneumoperitoneum Caused by a Ruptured Splenic Abscess Mimicking Gastrointestinal Perforation: A Case Report.","authors":"Naoki Kawahara, Mitsuaki Kojima, Koji Morishita","doi":"10.70352/scrj.cr.24-0098","DOIUrl":null,"url":null,"abstract":"<p><strong>Introduction: </strong>Splenic abscess is a rare but potentially life-threatening condition that can rupture, leading to pneumoperitoneum and symptoms that mimic gastrointestinal perforation in rare cases. This can significantly complicate accurate diagnosis and prompt treatment. A splenic abscess can become life-threatening by rupturing, which may cause diffuse peritonitis or sepsis.</p><p><strong>Case presentation: </strong>A 68-year-old man with uncontrolled diabetes presented with fever, chills, and abdominal pain. Initial evaluation at a previous hospital, including computed tomography (CT), suggested a lower gastrointestinal perforation, leading to his transfer to our facility. CT revealed a non-enhancing lesion with gas in the spleen and free intraperitoneal air; however, there was no clear evidence of gastrointestinal perforation. An emergency exploratory laparotomy was performed, which revealed purulent ascites and a ruptured splenic abscess without any gastrointestinal perforation. After thorough lavage to eliminate contamination, open abdominal management was initiated owing to a need for catecholamine support and an inability to completely rule out the possibility of gastrointestinal perforation. A second-look laparotomy confirmed that there was no further contamination or gastrointestinal tract perforation. Blood and abscess cultures revealed <i>Escherichia coli</i>, leading us to initiate targeted antibiotic therapy. The patient recovered successfully and was discharged on postoperative day 40 without any recurrence. Ruptured splenic abscess with pneumoperitoneum is rare and poses significant diagnostic challenges, particularly in patients with diabetes, owing to its clinical similarity to gastrointestinal perforation. This study highlights the utility of exploratory laparotomy and staged open abdominal management when gastrointestinal perforation cannot be ruled out.</p><p><strong>Conclusions: </strong>Physicians should consider ruptured splenic abscesses in patients with pneumoperitoneum, particularly those with diabetes. Exploratory laparotomy with staged open abdominal management may represent an effective approach that facilitates safe monitoring and targeted treatment, thereby reducing the risk of fatal complications.</p>","PeriodicalId":22096,"journal":{"name":"Surgical Case Reports","volume":"11 1","pages":""},"PeriodicalIF":0.7000,"publicationDate":"2025-01-01","publicationTypes":"Journal Article","fieldsOfStudy":null,"isOpenAccess":false,"openAccessPdf":"https://www.ncbi.nlm.nih.gov/pmc/articles/PMC12066237/pdf/","citationCount":"0","resultStr":null,"platform":"Semanticscholar","paperid":null,"PeriodicalName":"Surgical Case Reports","FirstCategoryId":"1085","ListUrlMain":"https://doi.org/10.70352/scrj.cr.24-0098","RegionNum":0,"RegionCategory":null,"ArticlePicture":[],"TitleCN":null,"AbstractTextCN":null,"PMCID":null,"EPubDate":"2025/4/25 0:00:00","PubModel":"Epub","JCR":"Q4","JCRName":"SURGERY","Score":null,"Total":0}
引用次数: 0

Abstract

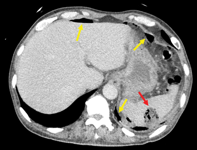
Introduction: Splenic abscess is a rare but potentially life-threatening condition that can rupture, leading to pneumoperitoneum and symptoms that mimic gastrointestinal perforation in rare cases. This can significantly complicate accurate diagnosis and prompt treatment. A splenic abscess can become life-threatening by rupturing, which may cause diffuse peritonitis or sepsis.

Case presentation: A 68-year-old man with uncontrolled diabetes presented with fever, chills, and abdominal pain. Initial evaluation at a previous hospital, including computed tomography (CT), suggested a lower gastrointestinal perforation, leading to his transfer to our facility. CT revealed a non-enhancing lesion with gas in the spleen and free intraperitoneal air; however, there was no clear evidence of gastrointestinal perforation. An emergency exploratory laparotomy was performed, which revealed purulent ascites and a ruptured splenic abscess without any gastrointestinal perforation. After thorough lavage to eliminate contamination, open abdominal management was initiated owing to a need for catecholamine support and an inability to completely rule out the possibility of gastrointestinal perforation. A second-look laparotomy confirmed that there was no further contamination or gastrointestinal tract perforation. Blood and abscess cultures revealed Escherichia coli, leading us to initiate targeted antibiotic therapy. The patient recovered successfully and was discharged on postoperative day 40 without any recurrence. Ruptured splenic abscess with pneumoperitoneum is rare and poses significant diagnostic challenges, particularly in patients with diabetes, owing to its clinical similarity to gastrointestinal perforation. This study highlights the utility of exploratory laparotomy and staged open abdominal management when gastrointestinal perforation cannot be ruled out.

Conclusions: Physicians should consider ruptured splenic abscesses in patients with pneumoperitoneum, particularly those with diabetes. Exploratory laparotomy with staged open abdominal management may represent an effective approach that facilitates safe monitoring and targeted treatment, thereby reducing the risk of fatal complications.

Abstract Image

脾脓肿破裂致气腹1例(模拟胃肠穿孔)。
简介:脾脓肿是一种罕见但可能危及生命的疾病,其破裂可导致气腹和罕见病例类似胃肠道穿孔的症状。这可能会使准确诊断和及时治疗变得非常复杂。脾脓肿破裂可能危及生命,并可能引起弥漫性腹膜炎或败血症。病例介绍:68岁男性,糖尿病未控制,表现为发热、寒战和腹痛。在以前的医院进行的初步评估,包括计算机断层扫描(CT),提示下消化道穿孔,导致他转移到我们的设施。CT示无增强病灶,脾内有气体,腹腔内有游离气体;然而,没有明确的证据表明胃肠道穿孔。急诊剖腹探查,发现化脓性腹水及脾脓肿破裂,无胃肠道穿孔。在彻底洗胃以消除污染后,由于需要儿茶酚胺支持和无法完全排除胃肠道穿孔的可能性,开始了开腹治疗。再次剖腹检查证实没有进一步的污染或胃肠道穿孔。血液和脓肿培养显示有大肠杆菌,我们开始进行靶向抗生素治疗。患者顺利康复,术后第40天出院,无复发。脾脓肿破裂合并气腹是罕见的,并提出了重大的诊断挑战,特别是在糖尿病患者中,由于其临床与胃肠道穿孔相似。本研究强调了当不能排除胃肠道穿孔时,剖腹探查和分阶段开腹治疗的效用。结论:医生应考虑气腹患者脾脓肿破裂,尤其是糖尿病患者。剖腹探查与分阶段开腹管理可能是一种有效的方法,有助于安全监测和有针对性的治疗,从而降低致命并发症的风险。
本文章由计算机程序翻译,如有差异,请以英文原文为准。
求助全文
约1分钟内获得全文 求助全文
来源期刊
自引率
0.00%
发文量
218
审稿时长
13 weeks
×
引用
GB/T 7714-2015
复制
MLA
复制
APA
复制
导出至
BibTeX EndNote RefMan NoteFirst NoteExpress
×
提示
您的信息不完整,为了账户安全,请先补充。
现在去补充
×
提示
您因"违规操作"
具体请查看互助需知
我知道了
×
提示
确定
请完成安全验证×
copy
已复制链接
快去分享给好友吧!
我知道了
右上角分享
点击右上角分享
0
联系我们:info@booksci.cn Book学术提供免费学术资源搜索服务,方便国内外学者检索中英文文献。致力于提供最便捷和优质的服务体验。 Copyright © 2023 布克学术 All rights reserved.
京ICP备2023020795号-1
ghs 京公网安备 11010802042870号
Book学术文献互助
Book学术文献互助群
群 号:604180095
Book学术官方微信