Navigating the Challenges of Persistent Left Superior Vena Cava in the Catheterization of Peripherally Inserted Central Catheter Port: A Case Study.

IF 0.7 Q4 SURGERY
Surgical Case Reports Pub Date : 2025-01-01 Epub Date: 2025-05-01 DOI:10.70352/scrj.cr.24-0088
Takeshi Nakayama, Shinichiro Kobayashi, Shunsuke Murakami, Takahiro Enjoji, Hanako Tetsuo, Yusuke Inoue, Taichiro Kosaka, Akihiko Soyama, Tomohiko Adachi, Kazuma Kobayashi, Kengo Kanetaka, Susumu Eguchi
{"title":"Navigating the Challenges of Persistent Left Superior Vena Cava in the Catheterization of Peripherally Inserted Central Catheter Port: A Case Study.","authors":"Takeshi Nakayama, Shinichiro Kobayashi, Shunsuke Murakami, Takahiro Enjoji, Hanako Tetsuo, Yusuke Inoue, Taichiro Kosaka, Akihiko Soyama, Tomohiko Adachi, Kazuma Kobayashi, Kengo Kanetaka, Susumu Eguchi","doi":"10.70352/scrj.cr.24-0088","DOIUrl":null,"url":null,"abstract":"<p><strong>Introduction: </strong>Persistent left superior vena cava (PLSVC), which is asymptomatic and occurs in 0.3%-0.5% of the general population, is typically detected incidentally but can complicate cardiac procedures owing to its potential to cause arrhythmias. This condition involves an additional venous return pathway to the right atrium, which can alter the cardiac anatomy and is associated with other cardiac aortic anomalies.</p><p><strong>Case presentation: </strong>A 75-year-old male patient required a central venous port for chemotherapy and radiation therapy for mid-thoracic esophageal cancer. Preoperative computed tomography images revealed that the PLSVC ran ventrally to the aortic and left pulmonary arteries, directly communicating with the right atrium. A peripherally inserted central catheter (PICC) port was planned. The catheter tip of the PICC port was placed within the left superior vena cava instead of the more common right superior vena cava, because the appropriate vessels could not be identified in the right upper arm. This anomaly necessitated a review of findings on the preoperative imaging and underscored the importance of early detection through echocardiography and radiographic guidance to prevent procedural complications. Reconstructed three-dimensional images and radiography-guided catheterization support the navigation of PICC port insertion.</p><p><strong>Conclusions: </strong>PLSVC, which is often asymptomatic, requires careful preprocedural planning and imaging to ensure safe PICC port insertion.</p>","PeriodicalId":22096,"journal":{"name":"Surgical Case Reports","volume":"11 1","pages":""},"PeriodicalIF":0.7000,"publicationDate":"2025-01-01","publicationTypes":"Journal Article","fieldsOfStudy":null,"isOpenAccess":false,"openAccessPdf":"https://www.ncbi.nlm.nih.gov/pmc/articles/PMC12055441/pdf/","citationCount":"0","resultStr":null,"platform":"Semanticscholar","paperid":null,"PeriodicalName":"Surgical Case Reports","FirstCategoryId":"1085","ListUrlMain":"https://doi.org/10.70352/scrj.cr.24-0088","RegionNum":0,"RegionCategory":null,"ArticlePicture":[],"TitleCN":null,"AbstractTextCN":null,"PMCID":null,"EPubDate":"2025/5/1 0:00:00","PubModel":"Epub","JCR":"Q4","JCRName":"SURGERY","Score":null,"Total":0}
引用次数: 0

Abstract

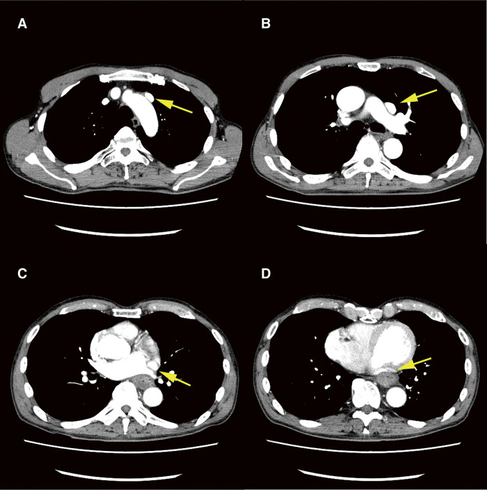
Introduction: Persistent left superior vena cava (PLSVC), which is asymptomatic and occurs in 0.3%-0.5% of the general population, is typically detected incidentally but can complicate cardiac procedures owing to its potential to cause arrhythmias. This condition involves an additional venous return pathway to the right atrium, which can alter the cardiac anatomy and is associated with other cardiac aortic anomalies.

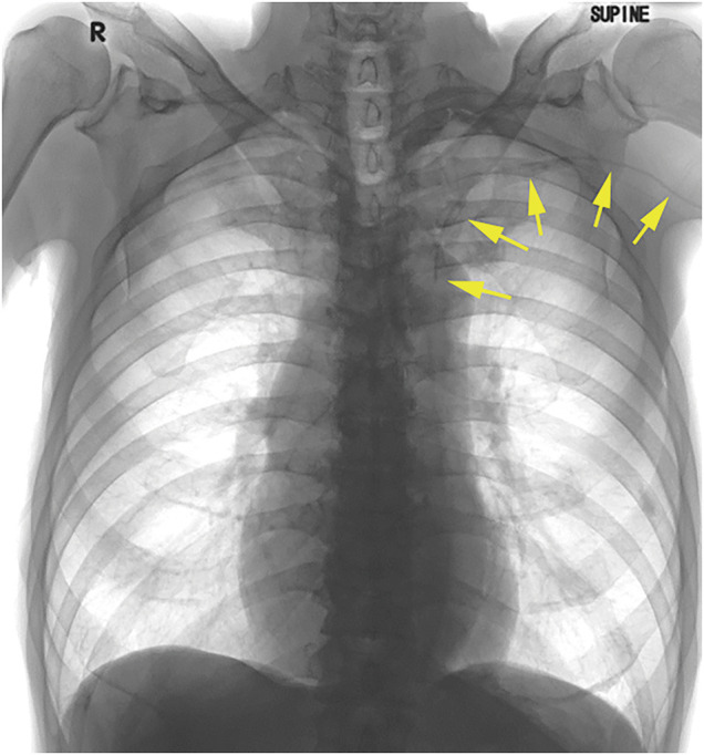
Case presentation: A 75-year-old male patient required a central venous port for chemotherapy and radiation therapy for mid-thoracic esophageal cancer. Preoperative computed tomography images revealed that the PLSVC ran ventrally to the aortic and left pulmonary arteries, directly communicating with the right atrium. A peripherally inserted central catheter (PICC) port was planned. The catheter tip of the PICC port was placed within the left superior vena cava instead of the more common right superior vena cava, because the appropriate vessels could not be identified in the right upper arm. This anomaly necessitated a review of findings on the preoperative imaging and underscored the importance of early detection through echocardiography and radiographic guidance to prevent procedural complications. Reconstructed three-dimensional images and radiography-guided catheterization support the navigation of PICC port insertion.

Conclusions: PLSVC, which is often asymptomatic, requires careful preprocedural planning and imaging to ensure safe PICC port insertion.

Abstract Image

Abstract Image

Abstract Image

持续左上腔静脉外周置管中心静脉插管的挑战:一个案例研究。
持续性左上腔静脉(PLSVC)无症状,发生率为0.3%-0.5%,通常是偶然发现的,但由于其可能导致心律失常,可能使心脏手术复杂化。这种情况涉及到一条额外的静脉返回右心房的通道,它可以改变心脏解剖结构,并与其他心脏主动脉异常有关。病例介绍:一名75岁男性患者,因中胸食管癌需要经中心静脉口进行化疗和放疗。术前计算机断层图像显示,PLSVC腹侧延伸至主动脉和左肺动脉,直接与右心房相通。计划外周插入中心导管(PICC)端口。PICC端口的导管尖端放置在左上腔静脉内,而不是更常见的右上腔静脉内,因为在右上臂无法识别合适的血管。这种异常需要回顾术前影像学的发现,并强调通过超声心动图和x线摄影指导早期发现的重要性,以防止手术并发症。重建的三维图像和x线引导导管支持PICC端口插入的导航。结论:PLSVC通常无症状,需要仔细的术前规划和成像,以确保PICC端口的安全插入。
本文章由计算机程序翻译,如有差异,请以英文原文为准。
求助全文
约1分钟内获得全文 求助全文
来源期刊
自引率
0.00%
发文量
218
审稿时长
13 weeks
×
引用
GB/T 7714-2015
复制
MLA
复制
APA
复制
导出至
BibTeX EndNote RefMan NoteFirst NoteExpress
×
提示
您的信息不完整,为了账户安全,请先补充。
现在去补充
×
提示
您因"违规操作"
具体请查看互助需知
我知道了
×
提示
确定
请完成安全验证×
copy
已复制链接
快去分享给好友吧!
我知道了
右上角分享
点击右上角分享
0
联系我们:info@booksci.cn Book学术提供免费学术资源搜索服务,方便国内外学者检索中英文文献。致力于提供最便捷和优质的服务体验。 Copyright © 2023 布克学术 All rights reserved.
京ICP备2023020795号-1
ghs 京公网安备 11010802042870号
Book学术文献互助
Book学术文献互助群
群 号:604180095
Book学术官方微信