Retrograde growing intravenous leiomyomatosis-a case report.

IF 0.7 Q3 MEDICINE, GENERAL & INTERNAL
AME Case Reports Pub Date : 2025-03-07 eCollection Date: 2025-01-01 DOI:10.21037/acr-24-196
Jinrong Xiong, Shan Zhang, Wanying Wu, Peng Zhou, Xiaoyu Qi, Gezheng Chen, Fei Cai, Binbin Long, Qin Li, Chao Yang
{"title":"Retrograde growing intravenous leiomyomatosis-a case report.","authors":"Jinrong Xiong, Shan Zhang, Wanying Wu, Peng Zhou, Xiaoyu Qi, Gezheng Chen, Fei Cai, Binbin Long, Qin Li, Chao Yang","doi":"10.21037/acr-24-196","DOIUrl":null,"url":null,"abstract":"<p><strong>Background: </strong>Leiomyomatosis is a benign tumor that usually originates from smooth muscle cells and can appear at any location. Intravenous leiomyomatosis (IVL) usually grows along blood vessels and extends toward the iliac vein and the inferior vena cava (IVC). It extends toward the right heart cavity and the main pulmonary artery in extreme cases. IVL is a rare smooth muscle tumor that is histologically benign but clinically aggressive. It is not typical for IVL to develop metastases, but rather to grow progressively and cause mechanical compression in surrounding.</p><p><strong>Case description: </strong>We report a case of retrogradely growing IVL, originating in the uterus and extending along the venous system to the right heart. At the same time, this leiomyomatosis retrogrades into the right external iliac vein. A 48-year-old woman with a mass in the IVC was admitted to Wuhan Union Hospital. She had undergone a hysterectomy for fibroids 2 years previously. Computed tomography venography and three-dimensional reconstruction revealed filling defects in the IVC, right internal and external iliac veins, right common iliac vein, right renal vein, and right atrium. After a multidisciplinary consultation, IVC leiomyomatosis was considered, and surgical treatment was performed.</p><p><strong>Conclusions: </strong>We report a case of retrogradely growing IVL. It originates in the uterus, extends along the venous system to the right internal iliac vein, and grows retrogradely into the external iliac vein. This is a new growth path that has rarely been mentioned.</p>","PeriodicalId":29752,"journal":{"name":"AME Case Reports","volume":"9 ","pages":"54"},"PeriodicalIF":0.7000,"publicationDate":"2025-03-07","publicationTypes":"Journal Article","fieldsOfStudy":null,"isOpenAccess":false,"openAccessPdf":"https://www.ncbi.nlm.nih.gov/pmc/articles/PMC12053637/pdf/","citationCount":"0","resultStr":null,"platform":"Semanticscholar","paperid":null,"PeriodicalName":"AME Case Reports","FirstCategoryId":"1085","ListUrlMain":"https://doi.org/10.21037/acr-24-196","RegionNum":0,"RegionCategory":null,"ArticlePicture":[],"TitleCN":null,"AbstractTextCN":null,"PMCID":null,"EPubDate":"2025/1/1 0:00:00","PubModel":"eCollection","JCR":"Q3","JCRName":"MEDICINE, GENERAL & INTERNAL","Score":null,"Total":0}
引用次数: 0

Abstract

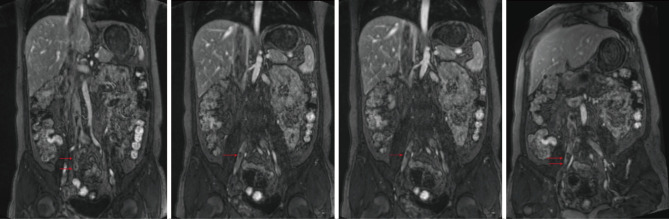
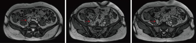
Background: Leiomyomatosis is a benign tumor that usually originates from smooth muscle cells and can appear at any location. Intravenous leiomyomatosis (IVL) usually grows along blood vessels and extends toward the iliac vein and the inferior vena cava (IVC). It extends toward the right heart cavity and the main pulmonary artery in extreme cases. IVL is a rare smooth muscle tumor that is histologically benign but clinically aggressive. It is not typical for IVL to develop metastases, but rather to grow progressively and cause mechanical compression in surrounding.

Case description: We report a case of retrogradely growing IVL, originating in the uterus and extending along the venous system to the right heart. At the same time, this leiomyomatosis retrogrades into the right external iliac vein. A 48-year-old woman with a mass in the IVC was admitted to Wuhan Union Hospital. She had undergone a hysterectomy for fibroids 2 years previously. Computed tomography venography and three-dimensional reconstruction revealed filling defects in the IVC, right internal and external iliac veins, right common iliac vein, right renal vein, and right atrium. After a multidisciplinary consultation, IVC leiomyomatosis was considered, and surgical treatment was performed.

Conclusions: We report a case of retrogradely growing IVL. It originates in the uterus, extends along the venous system to the right internal iliac vein, and grows retrogradely into the external iliac vein. This is a new growth path that has rarely been mentioned.

Abstract Image

Abstract Image

Abstract Image

静脉逆行生长性平滑肌瘤1例。
背景:平滑肌瘤病是一种良性肿瘤,通常起源于平滑肌细胞,可出现在任何部位。静脉平滑肌瘤病(IVL)通常沿着血管生长,并向髂静脉和下腔静脉(IVC)延伸。在极端情况下,它向右心腔和肺动脉主动脉延伸。IVL是一种罕见的平滑肌肿瘤,组织学上是良性的,但临床上具有侵袭性。IVL发生转移并不典型,而是逐渐生长并引起周围的机械压迫。病例描述:我们报告一例逆行生长的IVL,起源于子宫并沿着静脉系统延伸到右心脏。同时,平滑肌瘤病向右髂外静脉逆行。一名48岁女性下颌骨肿块被武汉协和医院收治。两年前,她因肌瘤接受了子宫切除术。ct静脉造影及三维重建显示下腔静脉、右髂内外静脉、右髂总静脉、右肾静脉、右心房充盈缺损。经过多学科咨询,考虑下腔静脉平滑肌瘤病,并进行手术治疗。结论:我们报告一例逆行生长的IVL。它起源于子宫,沿静脉系统延伸至右髂内静脉,并逆行生长至髂外静脉。这是一条很少被提及的新的增长路径。
本文章由计算机程序翻译,如有差异,请以英文原文为准。
求助全文
约1分钟内获得全文 求助全文
来源期刊
自引率
0.00%
发文量
0
×
引用
GB/T 7714-2015
复制
MLA
复制
APA
复制
导出至
BibTeX EndNote RefMan NoteFirst NoteExpress
×
提示
您的信息不完整,为了账户安全,请先补充。
现在去补充
×
提示
您因"违规操作"
具体请查看互助需知
我知道了
×
提示
确定
请完成安全验证×
copy
已复制链接
快去分享给好友吧!
我知道了
右上角分享
点击右上角分享
0
联系我们:info@booksci.cn Book学术提供免费学术资源搜索服务,方便国内外学者检索中英文文献。致力于提供最便捷和优质的服务体验。 Copyright © 2023 布克学术 All rights reserved.
京ICP备2023020795号-1
ghs 京公网安备 11010802042870号
Book学术文献互助
Book学术文献互助群
群 号:604180095
Book学术官方微信