A rare etiology of acute abdomen: a falciform ligament necrosis case report.

IF 0.7 Q3 MEDICINE, GENERAL & INTERNAL
AME Case Reports Pub Date : 2025-04-10 eCollection Date: 2025-01-01 DOI:10.21037/acr-24-168
Hugo Steyaert, Nour Kassab, Abdelilah Mehdi, Sorin Cimpean
{"title":"A rare etiology of acute abdomen: a falciform ligament necrosis case report.","authors":"Hugo Steyaert, Nour Kassab, Abdelilah Mehdi, Sorin Cimpean","doi":"10.21037/acr-24-168","DOIUrl":null,"url":null,"abstract":"<p><strong>Background: </strong>Falciform ligament necrosis (FLN) is a rare and challenging condition often presenting with nonspecific symptoms resembling more common abdominal pathologies.</p><p><strong>Case description: </strong>Here, we present a case of a 61-year-old male, admitted to emergencies with severe abdominal pain and one episode of vomiting. The patient initially diagnosed with mild acute pancreatitis and probable cholecystitis. Because of its severe clinical picture, the patient was admitted to our intensive car unit. Subsequent imaging revealed progression to gangrenous cholecystitis. Decision was taken to drain the gallbladder under computed tomography (CT) scan. Despite antibiotic therapy, the patient developed acute respiratory distress syndrome (ARDS), necessitating intubation. Upon stabilization, an exploratory laparoscopy revealed infected necrosis of the falciform ligament, prompting resection and drainage. Postoperatively, the patient presented a progressive clinical and biological amelioration. The drain was removed and the follow-up was uneventful. A laparoscopic cholecystectomy was scheduled 3 months later.</p><p><strong>Conclusions: </strong>FLN poses diagnostic challenges due to its nonspecific symptoms and tendency to mimic other abdominal pathologies. Diagnostic laparoscopy emerges as a valuable tool for both confirmation and treatment, enabling necrotic tissue excision and effective drainage. This case underscores the importance of considering rare entities like FLN in the differential diagnosis of abdominal acute pain, with laparoscopic intervention offering a definitive therapeutic option.</p>","PeriodicalId":29752,"journal":{"name":"AME Case Reports","volume":"9 ","pages":"60"},"PeriodicalIF":0.7000,"publicationDate":"2025-04-10","publicationTypes":"Journal Article","fieldsOfStudy":null,"isOpenAccess":false,"openAccessPdf":"https://www.ncbi.nlm.nih.gov/pmc/articles/PMC12053843/pdf/","citationCount":"0","resultStr":null,"platform":"Semanticscholar","paperid":null,"PeriodicalName":"AME Case Reports","FirstCategoryId":"1085","ListUrlMain":"https://doi.org/10.21037/acr-24-168","RegionNum":0,"RegionCategory":null,"ArticlePicture":[],"TitleCN":null,"AbstractTextCN":null,"PMCID":null,"EPubDate":"2025/1/1 0:00:00","PubModel":"eCollection","JCR":"Q3","JCRName":"MEDICINE, GENERAL & INTERNAL","Score":null,"Total":0}
引用次数: 0

Abstract

Background: Falciform ligament necrosis (FLN) is a rare and challenging condition often presenting with nonspecific symptoms resembling more common abdominal pathologies.

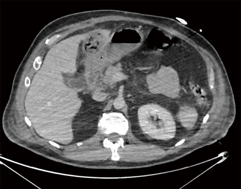
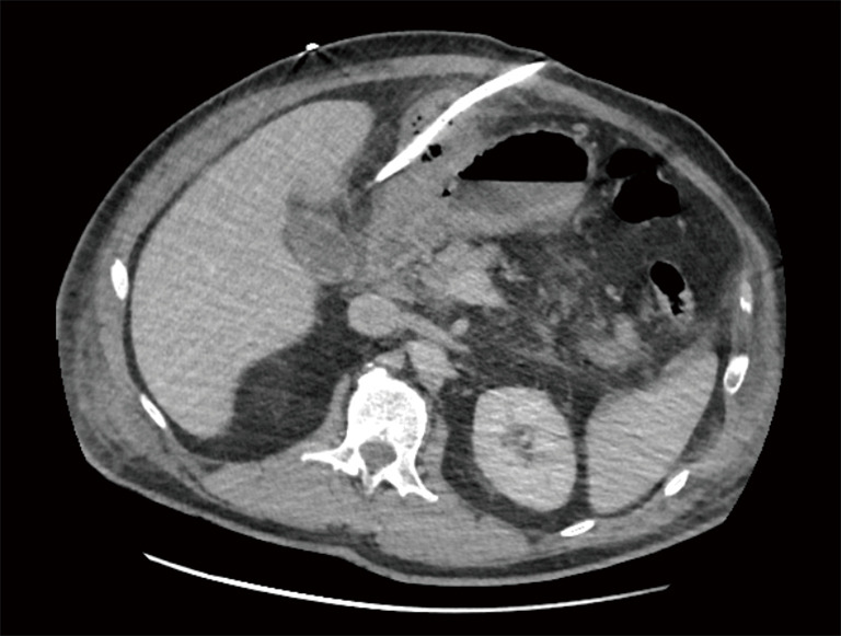
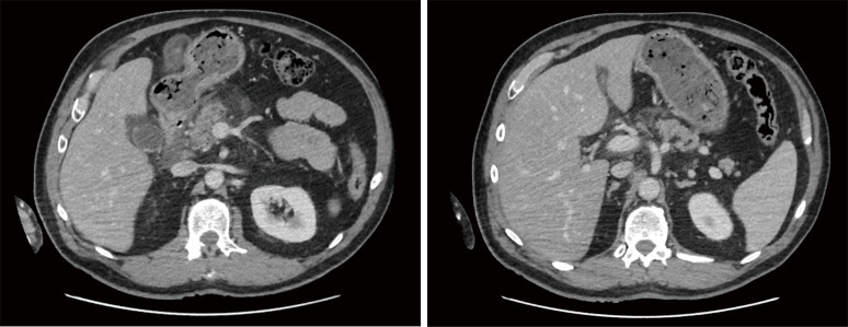
Case description: Here, we present a case of a 61-year-old male, admitted to emergencies with severe abdominal pain and one episode of vomiting. The patient initially diagnosed with mild acute pancreatitis and probable cholecystitis. Because of its severe clinical picture, the patient was admitted to our intensive car unit. Subsequent imaging revealed progression to gangrenous cholecystitis. Decision was taken to drain the gallbladder under computed tomography (CT) scan. Despite antibiotic therapy, the patient developed acute respiratory distress syndrome (ARDS), necessitating intubation. Upon stabilization, an exploratory laparoscopy revealed infected necrosis of the falciform ligament, prompting resection and drainage. Postoperatively, the patient presented a progressive clinical and biological amelioration. The drain was removed and the follow-up was uneventful. A laparoscopic cholecystectomy was scheduled 3 months later.

Conclusions: FLN poses diagnostic challenges due to its nonspecific symptoms and tendency to mimic other abdominal pathologies. Diagnostic laparoscopy emerges as a valuable tool for both confirmation and treatment, enabling necrotic tissue excision and effective drainage. This case underscores the importance of considering rare entities like FLN in the differential diagnosis of abdominal acute pain, with laparoscopic intervention offering a definitive therapeutic option.

Abstract Image

Abstract Image

Abstract Image

急腹症罕见病因:镰状韧带坏死1例报告。
背景:镰状韧带坏死(FLN)是一种罕见且具有挑战性的疾病,通常表现为非特异性症状,类似于更常见的腹部病变。病例描述:在这里,我们提出一个病例61岁的男性,入院急诊严重腹痛和一次呕吐。患者最初诊断为轻度急性胰腺炎和可能的胆囊炎。由于其严重的临床表现,患者被送入我们的重症监护室。随后影像学显示进展为坏疽性胆囊炎。决定在计算机断层扫描(CT)下引流胆囊。尽管抗生素治疗,患者出现急性呼吸窘迫综合征(ARDS),需要插管。稳定后,腹腔镜探查发现镰状韧带感染坏死,提示切除和引流。术后,患者的临床和生物学均有进展性改善。引流管被移走了,随访也很顺利。3个月后行腹腔镜胆囊切除术。结论:FLN由于其非特异性症状和模仿其他腹部病理的倾向,给诊断带来了挑战。诊断腹腔镜作为一种有价值的诊断和治疗工具,使坏死组织切除和有效引流成为可能。本病例强调了在鉴别诊断腹部急性疼痛时考虑FLN等罕见实体的重要性,腹腔镜干预提供了明确的治疗选择。
本文章由计算机程序翻译,如有差异,请以英文原文为准。
求助全文
约1分钟内获得全文 求助全文
来源期刊
自引率
0.00%
发文量
0
×
引用
GB/T 7714-2015
复制
MLA
复制
APA
复制
导出至
BibTeX EndNote RefMan NoteFirst NoteExpress
×
提示
您的信息不完整,为了账户安全,请先补充。
现在去补充
×
提示
您因"违规操作"
具体请查看互助需知
我知道了
×
提示
确定
请完成安全验证×
copy
已复制链接
快去分享给好友吧!
我知道了
右上角分享
点击右上角分享
0
联系我们:info@booksci.cn Book学术提供免费学术资源搜索服务,方便国内外学者检索中英文文献。致力于提供最便捷和优质的服务体验。 Copyright © 2023 布克学术 All rights reserved.
京ICP备2023020795号-1
ghs 京公网安备 11010802042870号
Book学术文献互助
Book学术文献互助群
群 号:604180095
Book学术官方微信