A Rare Case of Early Visualization of Foregut Duplication Cyst in Meckel Scan.

IF 0.5 Q4 RADIOLOGY, NUCLEAR MEDICINE & MEDICAL IMAGING
Indian Journal of Nuclear Medicine Pub Date : 2024-11-01 Epub Date: 2025-03-20 DOI:10.4103/ijnm.ijnm_153_23
Anushna S Babu, Dikhra Khan, Madhavi Tripathi, Rakesh Kumar
{"title":"A Rare Case of Early Visualization of Foregut Duplication Cyst in Meckel Scan.","authors":"Anushna S Babu, Dikhra Khan, Madhavi Tripathi, Rakesh Kumar","doi":"10.4103/ijnm.ijnm_153_23","DOIUrl":null,"url":null,"abstract":"<p><p>Enteric duplications are rare congenital anomalies, which can have varying presentations depending on the size, location, and type of mucosa present. Meckel scan, using technetium-<sup>99m</sup> pertechnetate (Tc-<sup>99m</sup> pertechnetate), is a useful modality for the detection of ectopic functioning gastric mucosa. Thoracic duplication cysts present as the initial photopenic area which is getting filled by Tc-<sup>99m</sup> pertechnetate in the delayed static images of Meckel scan. We report a rare case of foregut duplication cyst, where foregut duplication cyst is visualized earlier in Meckel scan.</p>","PeriodicalId":45830,"journal":{"name":"Indian Journal of Nuclear Medicine","volume":"39 6","pages":"445-448"},"PeriodicalIF":0.5000,"publicationDate":"2024-11-01","publicationTypes":"Journal Article","fieldsOfStudy":null,"isOpenAccess":false,"openAccessPdf":"https://www.ncbi.nlm.nih.gov/pmc/articles/PMC12020966/pdf/","citationCount":"0","resultStr":null,"platform":"Semanticscholar","paperid":null,"PeriodicalName":"Indian Journal of Nuclear Medicine","FirstCategoryId":"1085","ListUrlMain":"https://doi.org/10.4103/ijnm.ijnm_153_23","RegionNum":0,"RegionCategory":null,"ArticlePicture":[],"TitleCN":null,"AbstractTextCN":null,"PMCID":null,"EPubDate":"2025/3/20 0:00:00","PubModel":"Epub","JCR":"Q4","JCRName":"RADIOLOGY, NUCLEAR MEDICINE & MEDICAL IMAGING","Score":null,"Total":0}
引用次数: 0

Abstract

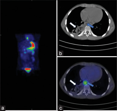
Enteric duplications are rare congenital anomalies, which can have varying presentations depending on the size, location, and type of mucosa present. Meckel scan, using technetium-99m pertechnetate (Tc-99m pertechnetate), is a useful modality for the detection of ectopic functioning gastric mucosa. Thoracic duplication cysts present as the initial photopenic area which is getting filled by Tc-99m pertechnetate in the delayed static images of Meckel scan. We report a rare case of foregut duplication cyst, where foregut duplication cyst is visualized earlier in Meckel scan.

Abstract Image

Abstract Image

Abstract Image

Meckel扫描早期发现前肠重复囊肿1例。
肠重复是一种罕见的先天性异常,它可以根据存在的粘膜的大小,位置和类型而有不同的表现。使用锝-99m高锝酸盐(Tc-99m高锝酸盐)的Meckel扫描是检测胃粘膜异位功能的一种有效方式。在Meckel扫描的延迟静态图像中,胸部重复囊肿表现为初始的光敏区,正在被Tc-99m高技术酸盐填充。我们报告一例罕见的前肠重复囊肿,在早期的Meckel扫描中可见前肠重复囊肿。
本文章由计算机程序翻译,如有差异,请以英文原文为准。
求助全文
约1分钟内获得全文 求助全文
来源期刊
Indian Journal of Nuclear Medicine
Indian Journal of Nuclear Medicine RADIOLOGY, NUCLEAR MEDICINE & MEDICAL IMAGING-
CiteScore
0.70
自引率
0.00%
发文量
46
×
引用
GB/T 7714-2015
复制
MLA
复制
APA
复制
导出至
BibTeX EndNote RefMan NoteFirst NoteExpress
×
提示
您的信息不完整,为了账户安全,请先补充。
现在去补充
×
提示
您因"违规操作"
具体请查看互助需知
我知道了
×
提示
确定
请完成安全验证×
copy
已复制链接
快去分享给好友吧!
我知道了
右上角分享
点击右上角分享
0
联系我们:info@booksci.cn Book学术提供免费学术资源搜索服务,方便国内外学者检索中英文文献。致力于提供最便捷和优质的服务体验。 Copyright © 2023 布克学术 All rights reserved.
京ICP备2023020795号-1
ghs 京公网安备 11010802042870号
Book学术文献互助
Book学术文献互助群
群 号:604180095
Book学术官方微信