Tumor budding in invasive breast carcinoma and its association with clinicopathological parameters: an experience from a tertiary care center in India.

Korean journal of clinical oncology Pub Date : 2025-04-01 Epub Date: 2025-04-30 DOI:10.14216/kjco.24317
Asmita Shah, Shaivy Malik, Adil Aziz Khan, Charanjeet Ahluwalia
{"title":"Tumor budding in invasive breast carcinoma and its association with clinicopathological parameters: an experience from a tertiary care center in India.","authors":"Asmita Shah, Shaivy Malik, Adil Aziz Khan, Charanjeet Ahluwalia","doi":"10.14216/kjco.24317","DOIUrl":null,"url":null,"abstract":"<p><strong>Purpose: </strong>Breast cancer is one of the most common cancers globally, with an increasing incidence rate. It is a heterogeneous disease, and early metastasis remains a challenge. Tumor budding, defined as single tumor cells or small clusters at the invasive front, has been suggested as a prognostic marker in various cancers, including breast cancer. This study aims to evaluate tumor budding in invasive breast carcinoma using the International Tumor Budding Consensus Conference (ITBCC) scoring system and explore its association with pathological characteristics and prognosis.</p><p><strong>Methods: </strong>A retrospective study was conducted on 100 mastectomy specimens of histopathologically confirmed invasive breast carcinoma, excluding cases that underwent chemotherapy or radiotherapy. Tumor budding was classified as low, intermediate, or high based on the ITBCC scoring method, and associations with clinicopathological features were analyzed using appropriate statistical tests.</p><p><strong>Results: </strong>Tumor budding was classified as high in 52% of cases. A significant association was found between high tumor budding and higher tumor grade (P<0.001), negative estrogen receptor and progesterone receptor status (P<0.001), positive HER2neu status (P=0.003), and high Ki-67 levels (P<0.001). High tumor budding was also linked to higher T stage, and dermal lymphovascular invasion (P=0.001). Our findings support previous studies showing that high tumor budding is associated with poor prognostic factors such as higher tumor grade, negative hormone receptor status, and higher T stage.</p><p><strong>Conclusion: </strong>Tumor budding is a potential prognostic marker in breast cancer, associated with more aggressive tumor characteristics.</p>","PeriodicalId":74045,"journal":{"name":"Korean journal of clinical oncology","volume":"21 1","pages":"13-19"},"PeriodicalIF":0.0000,"publicationDate":"2025-04-01","publicationTypes":"Journal Article","fieldsOfStudy":null,"isOpenAccess":false,"openAccessPdf":"https://www.ncbi.nlm.nih.gov/pmc/articles/PMC12077140/pdf/","citationCount":"0","resultStr":null,"platform":"Semanticscholar","paperid":null,"PeriodicalName":"Korean journal of clinical oncology","FirstCategoryId":"1085","ListUrlMain":"https://doi.org/10.14216/kjco.24317","RegionNum":0,"RegionCategory":null,"ArticlePicture":[],"TitleCN":null,"AbstractTextCN":null,"PMCID":null,"EPubDate":"2025/4/30 0:00:00","PubModel":"Epub","JCR":"","JCRName":"","Score":null,"Total":0}
引用次数: 0

Abstract

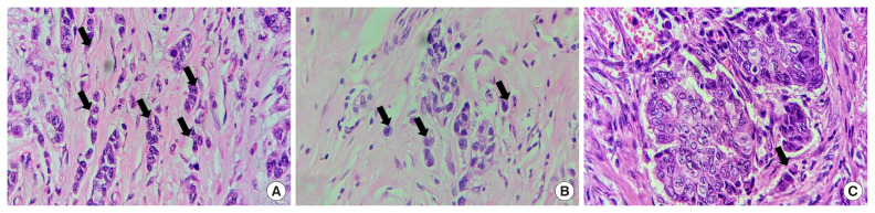
Purpose: Breast cancer is one of the most common cancers globally, with an increasing incidence rate. It is a heterogeneous disease, and early metastasis remains a challenge. Tumor budding, defined as single tumor cells or small clusters at the invasive front, has been suggested as a prognostic marker in various cancers, including breast cancer. This study aims to evaluate tumor budding in invasive breast carcinoma using the International Tumor Budding Consensus Conference (ITBCC) scoring system and explore its association with pathological characteristics and prognosis.

Methods: A retrospective study was conducted on 100 mastectomy specimens of histopathologically confirmed invasive breast carcinoma, excluding cases that underwent chemotherapy or radiotherapy. Tumor budding was classified as low, intermediate, or high based on the ITBCC scoring method, and associations with clinicopathological features were analyzed using appropriate statistical tests.

Results: Tumor budding was classified as high in 52% of cases. A significant association was found between high tumor budding and higher tumor grade (P<0.001), negative estrogen receptor and progesterone receptor status (P<0.001), positive HER2neu status (P=0.003), and high Ki-67 levels (P<0.001). High tumor budding was also linked to higher T stage, and dermal lymphovascular invasion (P=0.001). Our findings support previous studies showing that high tumor budding is associated with poor prognostic factors such as higher tumor grade, negative hormone receptor status, and higher T stage.

Conclusion: Tumor budding is a potential prognostic marker in breast cancer, associated with more aggressive tumor characteristics.

Abstract Image

Abstract Image

浸润性乳腺癌的肿瘤萌芽及其与临床病理参数的关系:来自印度三级保健中心的经验。
目的:乳腺癌是全球最常见的癌症之一,发病率不断上升。它是一种异质性疾病,早期转移仍然是一个挑战。肿瘤出芽,定义为单个肿瘤细胞或侵袭前的小簇,已被认为是包括乳腺癌在内的各种癌症的预后标志物。本研究旨在利用国际肿瘤萌芽共识会议(ITBCC)评分系统评估浸润性乳腺癌的肿瘤萌芽,并探讨其与病理特征和预后的关系。方法:对100例经组织病理学证实的浸润性乳腺癌的乳房切除术标本进行回顾性研究,不包括化疗或放疗的病例。根据ITBCC评分方法将肿瘤出芽分为低、中、高三个级别,并通过适当的统计检验分析其与临床病理特征的关系。结果:肿瘤出芽率高的占52%。结论:肿瘤出芽是乳腺癌的一个潜在预后指标,与更具侵袭性的肿瘤特征相关。
本文章由计算机程序翻译,如有差异,请以英文原文为准。
求助全文
约1分钟内获得全文 求助全文
来源期刊
自引率
0.00%
发文量
0
×
引用
GB/T 7714-2015
复制
MLA
复制
APA
复制
导出至
BibTeX EndNote RefMan NoteFirst NoteExpress
×
提示
您的信息不完整,为了账户安全,请先补充。
现在去补充
×
提示
您因"违规操作"
具体请查看互助需知
我知道了
×
提示
确定
请完成安全验证×
copy
已复制链接
快去分享给好友吧!
我知道了
右上角分享
点击右上角分享
0
联系我们:info@booksci.cn Book学术提供免费学术资源搜索服务,方便国内外学者检索中英文文献。致力于提供最便捷和优质的服务体验。 Copyright © 2023 布克学术 All rights reserved.
京ICP备2023020795号-1
ghs 京公网安备 11010802042870号
Book学术文献互助
Book学术文献互助群
群 号:604180095
Book学术官方微信