Difficult insertion of a transesophageal echocardiography probe for cardiac surgery not only before but also immediately after thyroid goiter resection in a patient with chronic esophageal compression by the goiter: a case report.

IF 0.7 Q3 MEDICINE, GENERAL & INTERNAL
AME Case Reports Pub Date : 2025-03-20 eCollection Date: 2025-01-01 DOI:10.21037/acr-24-241
Masataka Fukuda, Tsukasa Kochiyama, Kota Aono, Shuhei Yonemoto, Megumi Hayashi, Masakazu Hayashida, Izumi Kawagoe
{"title":"Difficult insertion of a transesophageal echocardiography probe for cardiac surgery not only before but also immediately after thyroid goiter resection in a patient with chronic esophageal compression by the goiter: a case report.","authors":"Masataka Fukuda, Tsukasa Kochiyama, Kota Aono, Shuhei Yonemoto, Megumi Hayashi, Masakazu Hayashida, Izumi Kawagoe","doi":"10.21037/acr-24-241","DOIUrl":null,"url":null,"abstract":"<p><strong>Background: </strong>Transesophageal echocardiography (TEE) is an essential tool during minimally invasive cardiac surgery (MICS), although inserting a TEE probe is sometimes challenging. We experienced difficult placement of an adult TEE probe for cardiac surgery due to chronic compression of the esophagus by thyroid goiter. The aim of this case report is to highlight the challenges of TEE probe insertion due to chronic esophageal compression caused by a thyroid goiter and to discuss considerations for simultaneous thyroid tumor resection and mitral valvuloplasty (MVP).</p><p><strong>Case description: </strong>A 78-year-old man (170 cm, 68 kg) with severe mitral regurgitation (MR) was scheduled for simultaneous thyroid surgery and MVP, since preoperatively, experienced cardiologists had failed to place an adult TEE probe for preoperative TEE examinations, and they had had to use a pediatric TEE probe with poor image quality. First, otolaryngologists completely resected the left thyroid lobe including goiter. However, even after tumor resection, experienced anesthesiologists could not advance the adult TEE probe beyond the pharynx due to strong resistance, even using video laryngoscopy to visualize the esophageal inlet. Again, they had to use a pediatric probe for intraoperative evaluation.</p><p><strong>Conclusions: </strong>Such previously unreported experiences suggested that esophageal stenosis due to chronic compression by goiter would not improve completely at least immediately after tumor resection. When usual TEE probe placement is difficult, alternative methods for assessing the mitral valve (MV) should be considered.</p>","PeriodicalId":29752,"journal":{"name":"AME Case Reports","volume":"9 ","pages":"63"},"PeriodicalIF":0.7000,"publicationDate":"2025-03-20","publicationTypes":"Journal Article","fieldsOfStudy":null,"isOpenAccess":false,"openAccessPdf":"https://www.ncbi.nlm.nih.gov/pmc/articles/PMC12053728/pdf/","citationCount":"0","resultStr":null,"platform":"Semanticscholar","paperid":null,"PeriodicalName":"AME Case Reports","FirstCategoryId":"1085","ListUrlMain":"https://doi.org/10.21037/acr-24-241","RegionNum":0,"RegionCategory":null,"ArticlePicture":[],"TitleCN":null,"AbstractTextCN":null,"PMCID":null,"EPubDate":"2025/1/1 0:00:00","PubModel":"eCollection","JCR":"Q3","JCRName":"MEDICINE, GENERAL & INTERNAL","Score":null,"Total":0}
引用次数: 0

Abstract

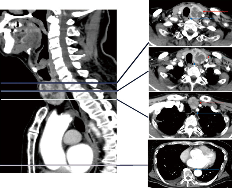
Background: Transesophageal echocardiography (TEE) is an essential tool during minimally invasive cardiac surgery (MICS), although inserting a TEE probe is sometimes challenging. We experienced difficult placement of an adult TEE probe for cardiac surgery due to chronic compression of the esophagus by thyroid goiter. The aim of this case report is to highlight the challenges of TEE probe insertion due to chronic esophageal compression caused by a thyroid goiter and to discuss considerations for simultaneous thyroid tumor resection and mitral valvuloplasty (MVP).

Case description: A 78-year-old man (170 cm, 68 kg) with severe mitral regurgitation (MR) was scheduled for simultaneous thyroid surgery and MVP, since preoperatively, experienced cardiologists had failed to place an adult TEE probe for preoperative TEE examinations, and they had had to use a pediatric TEE probe with poor image quality. First, otolaryngologists completely resected the left thyroid lobe including goiter. However, even after tumor resection, experienced anesthesiologists could not advance the adult TEE probe beyond the pharynx due to strong resistance, even using video laryngoscopy to visualize the esophageal inlet. Again, they had to use a pediatric probe for intraoperative evaluation.

Conclusions: Such previously unreported experiences suggested that esophageal stenosis due to chronic compression by goiter would not improve completely at least immediately after tumor resection. When usual TEE probe placement is difficult, alternative methods for assessing the mitral valve (MV) should be considered.

Abstract Image

Abstract Image

经食管超声心动图探头在甲状腺肿大切除术前及手术后难以插入1例慢性食管压迫甲状腺肿大患者。
背景:经食管超声心动图(TEE)是微创心脏手术(MICS)中必不可少的工具,尽管TEE探头的插入有时具有挑战性。由于甲状腺肿导致食管慢性压迫,我们在心脏手术中难以放置成人TEE探针。本病例报告的目的是强调由于甲状腺肿引起的慢性食管压迫导致TEE探针插入的挑战,并讨论同时切除甲状腺肿瘤和二尖瓣成形术(MVP)的考虑。病例描述:一名78岁男性(170厘米,68公斤)患有严重的二尖瓣反流(MR),计划同时进行甲状腺手术和MVP,因为术前,经验丰富的心脏病专家未能放置成人TEE探针进行术前TEE检查,他们不得不使用图像质量差的儿科TEE探针。首先,耳鼻喉科医生完全切除了左甲状腺叶,包括甲状腺肿。然而,即使在肿瘤切除后,经验丰富的麻醉师也不能将成人TEE探针推进到咽部以外,因为阻力较大,甚至使用视频喉镜来观察食管入口。他们不得不再次使用儿科探针进行术中评估。结论:这些以前未报道的经验表明,甲状腺肿引起的慢性压迫导致的食管狭窄至少在肿瘤切除后不会立即完全改善。当常规TEE探针难以放置时,应考虑评估二尖瓣(MV)的替代方法。
本文章由计算机程序翻译,如有差异,请以英文原文为准。
求助全文
约1分钟内获得全文 求助全文
来源期刊
自引率
0.00%
发文量
0
×
引用
GB/T 7714-2015
复制
MLA
复制
APA
复制
导出至
BibTeX EndNote RefMan NoteFirst NoteExpress
×
提示
您的信息不完整,为了账户安全,请先补充。
现在去补充
×
提示
您因"违规操作"
具体请查看互助需知
我知道了
×
提示
确定
请完成安全验证×
copy
已复制链接
快去分享给好友吧!
我知道了
右上角分享
点击右上角分享
0
联系我们:info@booksci.cn Book学术提供免费学术资源搜索服务,方便国内外学者检索中英文文献。致力于提供最便捷和优质的服务体验。 Copyright © 2023 布克学术 All rights reserved.
京ICP备2023020795号-1
ghs 京公网安备 11010802042870号
Book学术文献互助
Book学术文献互助群
群 号:604180095
Book学术官方微信