Added value of diffusion-weighted magnetic resonance imaging in the diagnosis of recurrent cholangiocarcinoma.

IF 0.9 4区 医学 Q4 MEDICINE, RESEARCH & EXPERIMENTAL
Keiichiro Yamada, Yasuo Takehara, Satoko Ishigaki, Hiroshi Ogawa, Ayumi Nishida, Keita Kato, Tomoki Ebata, Takashi Mizuno, Shinji Naganawa
{"title":"Added value of diffusion-weighted magnetic resonance imaging in the diagnosis of recurrent cholangiocarcinoma.","authors":"Keiichiro Yamada, Yasuo Takehara, Satoko Ishigaki, Hiroshi Ogawa, Ayumi Nishida, Keita Kato, Tomoki Ebata, Takashi Mizuno, Shinji Naganawa","doi":"10.18999/nagjms.87.1.22","DOIUrl":null,"url":null,"abstract":"<p><p>Distinguishing recurrent cholangiocarcinoma lesions from postoperative fibrosis or biliojejunostomy lesions using contrast-enhanced computed tomography (CECT) alone is challenging. This study examined the value of adding diffusion-weighted magnetic resonance imaging (DWI) to CECT for the detection of cholangiocarcinoma recurrence. This single-institution retrospective analysis included 33 patients who underwent cholangiocarcinoma resection between January 2016 and December 2020. Of the patients, 20 were in the recurrence group and 13 were in the non-recurrence group. Two observers independently reviewed the CECT images and subsequently reviewed the combined CECT and DWI images (b-value, 1000 s/mm<sup>2</sup>), with each image reviewed twice. The diagnostic performance was evaluated using receiver operating characteristic (ROC) curve analysis. Kappa statistics were used to evaluate agreement. The diagnostic performance (area under the ROC curve [AUC]) of both observers improved after the addition of DWI; the AUC improved from 0.614 to 0.918 (<i>P</i> = 0.003) in the first session and from 0.820 to 0.928 (<i>P</i> = 0.20) in the second session for Observer A, whereas it improved from 0.566 to 0.858 (<i>P</i> < 0.001) in the first session and from 0.753 to 0.930 (<i>P</i> = 0.02) in the second session for Observer B. The intraobserver and interobserver agreements improved after the addition of DWI; the kappa value improved from 0.586 to 0.656 for Observer A, from 0.371 to 0.838 for Observer B, from 0.308 to 0.766 in the first session, and from 0.464 to 0.620 in the second session. Adding DWI to CECT improves the detection of cholangiocarcinoma recurrence compared to CECT alone.</p>","PeriodicalId":49014,"journal":{"name":"Nagoya Journal of Medical Science","volume":"87 1","pages":"22-36"},"PeriodicalIF":0.9000,"publicationDate":"2025-02-01","publicationTypes":"Journal Article","fieldsOfStudy":null,"isOpenAccess":false,"openAccessPdf":"https://www.ncbi.nlm.nih.gov/pmc/articles/PMC12003994/pdf/","citationCount":"0","resultStr":null,"platform":"Semanticscholar","paperid":null,"PeriodicalName":"Nagoya Journal of Medical Science","FirstCategoryId":"3","ListUrlMain":"https://doi.org/10.18999/nagjms.87.1.22","RegionNum":4,"RegionCategory":"医学","ArticlePicture":[],"TitleCN":null,"AbstractTextCN":null,"PMCID":null,"EPubDate":"","PubModel":"","JCR":"Q4","JCRName":"MEDICINE, RESEARCH & EXPERIMENTAL","Score":null,"Total":0}
引用次数: 0

Abstract

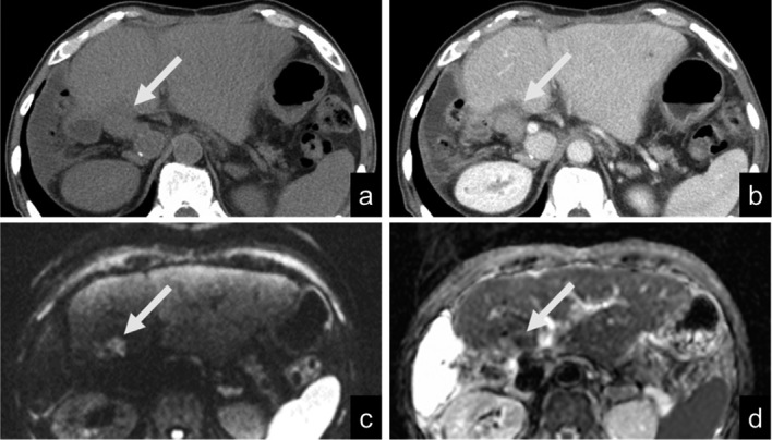
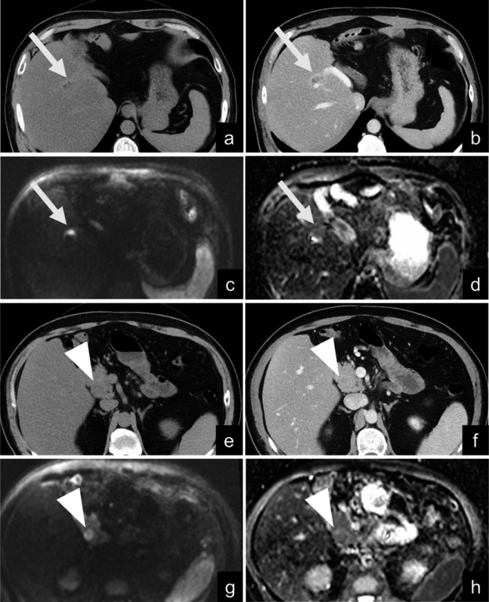
Distinguishing recurrent cholangiocarcinoma lesions from postoperative fibrosis or biliojejunostomy lesions using contrast-enhanced computed tomography (CECT) alone is challenging. This study examined the value of adding diffusion-weighted magnetic resonance imaging (DWI) to CECT for the detection of cholangiocarcinoma recurrence. This single-institution retrospective analysis included 33 patients who underwent cholangiocarcinoma resection between January 2016 and December 2020. Of the patients, 20 were in the recurrence group and 13 were in the non-recurrence group. Two observers independently reviewed the CECT images and subsequently reviewed the combined CECT and DWI images (b-value, 1000 s/mm2), with each image reviewed twice. The diagnostic performance was evaluated using receiver operating characteristic (ROC) curve analysis. Kappa statistics were used to evaluate agreement. The diagnostic performance (area under the ROC curve [AUC]) of both observers improved after the addition of DWI; the AUC improved from 0.614 to 0.918 (P = 0.003) in the first session and from 0.820 to 0.928 (P = 0.20) in the second session for Observer A, whereas it improved from 0.566 to 0.858 (P < 0.001) in the first session and from 0.753 to 0.930 (P = 0.02) in the second session for Observer B. The intraobserver and interobserver agreements improved after the addition of DWI; the kappa value improved from 0.586 to 0.656 for Observer A, from 0.371 to 0.838 for Observer B, from 0.308 to 0.766 in the first session, and from 0.464 to 0.620 in the second session. Adding DWI to CECT improves the detection of cholangiocarcinoma recurrence compared to CECT alone.

Abstract Image

Abstract Image

Abstract Image

磁共振弥散加权成像在复发性胆管癌诊断中的附加价值。
单独使用对比增强计算机断层扫描(CECT)来区分复发性胆管癌病变与术后纤维化或胆管空肠造口病变是具有挑战性的。本研究探讨在CECT基础上增加弥散加权磁共振成像(DWI)对胆管癌复发的诊断价值。这项单机构回顾性分析包括33名在2016年1月至2020年12月期间接受胆管癌切除术的患者。其中复发组20例,非复发组13例。两名观察员独立检查CECT图像,随后检查CECT和DWI合并图像(b值,1000 s/mm2),每张图像检查两次。采用受试者工作特征(ROC)曲线分析评价诊断效果。采用Kappa统计来评价一致性。添加DWI后,两名观察者的诊断性能(ROC曲线下面积[AUC])均有所提高;观察者A的AUC在第一次会话中从0.614提高到0.918 (P = 0.003),在第二次会话中从0.820提高到0.928 (P = 0.20),而观察者b在第一次会话中从0.566提高到0.858 (P < 0.001),在第二次会话中从0.753提高到0.930 (P = 0.02)。添加DWI后,观察者内和观察者间的一致性得到改善;观察者A的kappa值从0.586提高到0.656,观察者B的kappa值从0.371提高到0.838,第一次会议从0.308提高到0.766,第二次会议从0.464提高到0.620。与单独CECT相比,DWI联合CECT可提高胆管癌复发的检出率。
本文章由计算机程序翻译,如有差异,请以英文原文为准。
求助全文
约1分钟内获得全文 求助全文
来源期刊
Nagoya Journal of Medical Science
Nagoya Journal of Medical Science MEDICINE, RESEARCH & EXPERIMENTAL-
CiteScore
1.30
自引率
0.00%
发文量
65
审稿时长
>12 weeks
期刊介绍: The Journal publishes original papers in the areas of medical science and its related fields. Reviews, symposium reports, short communications, notes, case reports, hypothesis papers, medical image at a glance, video and announcements are also accepted. Manuscripts should be in English. It is recommended that an English check of the manuscript by a competent and knowledgeable native speaker be completed before submission.
×
引用
GB/T 7714-2015
复制
MLA
复制
APA
复制
导出至
BibTeX EndNote RefMan NoteFirst NoteExpress
×
提示
您的信息不完整,为了账户安全,请先补充。
现在去补充
×
提示
您因"违规操作"
具体请查看互助需知
我知道了
×
提示
确定
请完成安全验证×
copy
已复制链接
快去分享给好友吧!
我知道了
右上角分享
点击右上角分享
0
联系我们:info@booksci.cn Book学术提供免费学术资源搜索服务,方便国内外学者检索中英文文献。致力于提供最便捷和优质的服务体验。 Copyright © 2023 布克学术 All rights reserved.
京ICP备2023020795号-1
ghs 京公网安备 11010802042870号
Book学术文献互助
Book学术文献互助群
群 号:604180095
Book学术官方微信