Chronic intermittent hypoxia affects the expression of IRS - 2/p - Akt/GSK - 3 in the liver of SD rats and its impact on glucose metabolism.

IF 2 4区 医学 Q3 CLINICAL NEUROLOGY
Hong Wang, Tiantian Guo
{"title":"Chronic intermittent hypoxia affects the expression of IRS - 2/p - Akt/GSK - 3 in the liver of SD rats and its impact on glucose metabolism.","authors":"Hong Wang, Tiantian Guo","doi":"10.1007/s11325-025-03344-w","DOIUrl":null,"url":null,"abstract":"<p><strong>Background: </strong>Epidemiological studies indicate a strong association between OSA and type 2 diabetes. Currently, the insulin signal transduction pathway and its associated effector proteins have emerged as a focal point in type 2 diabetes research. However, the underlying mechanisms in OSA remain elusive. We have established an experimental model of chronic intermittent hypoxia in SD rats and conducted measurements of their fasting blood glucose, fasting plasma insulin levels, as well as the insulin signaling pathway effector proteins IRS-2, P-Akt, and GSK-3.</p><p><strong>Method: </strong>In the experiment, the gas path control system connected to a sealed glass container regulated the delivery of oxygen and nitrogen, ensuring a minimum oxygen concentration of 6%-12% within the cabin. Forty male Sprague-Dawley rats were divided into five groups (n = 8) and exposed to chronic intermittent hypoxia or normal air environment for 2, 4, 6, and 8 weeks, respectively. Upon completion of the experiment, the rats were anesthetized and euthanized. Immediately thereafter, their fasting blood glucose was measured, and their fasting insulin levels were determined using radioimmunoassay. Finally, the insulin resistance index (HOMA-IR) was calculated based on the steady-state model evaluation method. HE staining was employed to observe the morpho- logical changes of liver cells in each group of rats. Immunohistochemistry was utilized to detect the expression of insulin signaling pathway-related effector proteins, namely IRS-2, p-Akt, and GSK-3, in the liver, with their expression levels expressed as average grayscale values.</p><p><strong>Result: </strong>With the extension of intermittent hypoxia exposure duration, compared to the normal control group, the fasting blood glucose, fasting insulin, and insulin resistance index of rats in each experimental group increased (n = 8, P < 0.05). Additionally, the liver cells of rats exhibited damage and morphological changes. The expression of liver pathway proteins IRS-2 and P-Akt decreased (n = 8, P < 0.05), whereas the expression of GSK-3 protein increased (n = 8, P < 0.05).</p><p><strong>Conclusion: </strong>Chronic intermittent hypoxia activates the proteins IRS-2, P-Akt, and GSK-3 in the hepatic insulin signaling pathway, leading to liver cell damage, insulin resistance, and glucose metabolism disorders.</p>","PeriodicalId":21862,"journal":{"name":"Sleep and Breathing","volume":"29 2","pages":"180"},"PeriodicalIF":2.0000,"publicationDate":"2025-05-08","publicationTypes":"Journal Article","fieldsOfStudy":null,"isOpenAccess":false,"openAccessPdf":"https://www.ncbi.nlm.nih.gov/pmc/articles/PMC12062185/pdf/","citationCount":"0","resultStr":null,"platform":"Semanticscholar","paperid":null,"PeriodicalName":"Sleep and Breathing","FirstCategoryId":"3","ListUrlMain":"https://doi.org/10.1007/s11325-025-03344-w","RegionNum":4,"RegionCategory":"医学","ArticlePicture":[],"TitleCN":null,"AbstractTextCN":null,"PMCID":null,"EPubDate":"","PubModel":"","JCR":"Q3","JCRName":"CLINICAL NEUROLOGY","Score":null,"Total":0}
引用次数: 0

Abstract

Background: Epidemiological studies indicate a strong association between OSA and type 2 diabetes. Currently, the insulin signal transduction pathway and its associated effector proteins have emerged as a focal point in type 2 diabetes research. However, the underlying mechanisms in OSA remain elusive. We have established an experimental model of chronic intermittent hypoxia in SD rats and conducted measurements of their fasting blood glucose, fasting plasma insulin levels, as well as the insulin signaling pathway effector proteins IRS-2, P-Akt, and GSK-3.

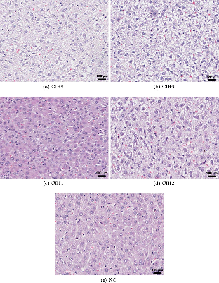
Method: In the experiment, the gas path control system connected to a sealed glass container regulated the delivery of oxygen and nitrogen, ensuring a minimum oxygen concentration of 6%-12% within the cabin. Forty male Sprague-Dawley rats were divided into five groups (n = 8) and exposed to chronic intermittent hypoxia or normal air environment for 2, 4, 6, and 8 weeks, respectively. Upon completion of the experiment, the rats were anesthetized and euthanized. Immediately thereafter, their fasting blood glucose was measured, and their fasting insulin levels were determined using radioimmunoassay. Finally, the insulin resistance index (HOMA-IR) was calculated based on the steady-state model evaluation method. HE staining was employed to observe the morpho- logical changes of liver cells in each group of rats. Immunohistochemistry was utilized to detect the expression of insulin signaling pathway-related effector proteins, namely IRS-2, p-Akt, and GSK-3, in the liver, with their expression levels expressed as average grayscale values.

Result: With the extension of intermittent hypoxia exposure duration, compared to the normal control group, the fasting blood glucose, fasting insulin, and insulin resistance index of rats in each experimental group increased (n = 8, P < 0.05). Additionally, the liver cells of rats exhibited damage and morphological changes. The expression of liver pathway proteins IRS-2 and P-Akt decreased (n = 8, P < 0.05), whereas the expression of GSK-3 protein increased (n = 8, P < 0.05).

Conclusion: Chronic intermittent hypoxia activates the proteins IRS-2, P-Akt, and GSK-3 in the hepatic insulin signaling pathway, leading to liver cell damage, insulin resistance, and glucose metabolism disorders.

Abstract Image

Abstract Image

Abstract Image

慢性间歇性缺氧影响SD大鼠肝脏中IRS - 2/p - Akt/GSK - 3的表达及其对葡萄糖代谢的影响。
背景:流行病学研究表明,阻塞性睡眠呼吸暂停与2型糖尿病有很强的相关性。目前,胰岛素信号转导通路及其相关效应蛋白已成为2型糖尿病研究的热点。然而,OSA的潜在机制尚不清楚。我们建立了SD大鼠慢性间歇性缺氧的实验模型,测量了SD大鼠的空腹血糖、空腹血浆胰岛素水平以及胰岛素信号通路效应蛋白IRS-2、P-Akt和GSK-3。方法:在实验中,连接密封玻璃容器的气路控制系统调节氧气和氮气的输送,保证舱内最低氧气浓度为6%-12%。将40只雄性Sprague-Dawley大鼠分为5组(n = 8),分别暴露于慢性间歇性缺氧和正常空气环境2、4、6、8周。实验完成后,对大鼠进行麻醉和安乐死。之后,立即测量他们的空腹血糖,并使用放射免疫法测定他们的空腹胰岛素水平。最后,基于稳态模型评价法计算胰岛素抵抗指数(HOMA-IR)。采用HE染色法观察各组大鼠肝细胞形态学变化。采用免疫组化方法检测肝脏中胰岛素信号通路相关效应蛋白IRS-2、p-Akt、GSK-3的表达,表达量以平均灰度值表示。结果:与正常对照组相比,随着间歇缺氧暴露时间的延长,各实验组大鼠的空腹血糖、空腹胰岛素、胰岛素抵抗指数均升高(n = 8, P)。结论:慢性间歇缺氧可激活肝脏胰岛素信号通路中ir -2、P- akt、GSK-3蛋白,导致肝细胞损伤、胰岛素抵抗、糖代谢紊乱。
本文章由计算机程序翻译,如有差异,请以英文原文为准。
求助全文
约1分钟内获得全文 求助全文
来源期刊
Sleep and Breathing
Sleep and Breathing 医学-呼吸系统
CiteScore
5.20
自引率
4.00%
发文量
222
审稿时长
3-8 weeks
期刊介绍: The journal Sleep and Breathing aims to reflect the state of the art in the international science and practice of sleep medicine. The journal is based on the recognition that management of sleep disorders requires a multi-disciplinary approach and diverse perspectives. The initial focus of Sleep and Breathing is on timely and original studies that collect, intervene, or otherwise inform all clinicians and scientists in medicine, dentistry and oral surgery, otolaryngology, and epidemiology on the management of the upper airway during sleep. Furthermore, Sleep and Breathing endeavors to bring readers cutting edge information about all evolving aspects of common sleep disorders or disruptions, such as insomnia and shift work. The journal includes not only patient studies, but also studies that emphasize the principles of physiology and pathophysiology or illustrate potentially novel approaches to diagnosis and treatment. In addition, the journal features articles that describe patient-oriented and cost-benefit health outcomes research. Thus, with peer review by an international Editorial Board and prompt English-language publication, Sleep and Breathing provides rapid dissemination of clinical and clinically related scientific information. But it also does more: it is dedicated to making the most important developments in sleep disordered breathing easily accessible to clinicians who are treating sleep apnea by presenting well-chosen, well-written, and highly organized information that is useful for patient care.
×
引用
GB/T 7714-2015
复制
MLA
复制
APA
复制
导出至
BibTeX EndNote RefMan NoteFirst NoteExpress
×
提示
您的信息不完整,为了账户安全,请先补充。
现在去补充
×
提示
您因"违规操作"
具体请查看互助需知
我知道了
×
提示
确定
请完成安全验证×
copy
已复制链接
快去分享给好友吧!
我知道了
右上角分享
点击右上角分享
0
联系我们:info@booksci.cn Book学术提供免费学术资源搜索服务,方便国内外学者检索中英文文献。致力于提供最便捷和优质的服务体验。 Copyright © 2023 布克学术 All rights reserved.
京ICP备2023020795号-1
ghs 京公网安备 11010802042870号
Book学术文献互助
Book学术文献互助群
群 号:604180095
Book学术官方微信
小红书