Ultrastructural and Immunohistochemical Study of a Gastric Bizarre Leiomyoma: Bizarre Nuclei and Prominent Cytoplasmic Processes Extending Into and Displacing the Stroma.

IF 3.4 4区 医学 Q2 PATHOLOGY
Pathology International Pub Date : 2025-06-01 Epub Date: 2025-04-14 DOI:10.1111/pin.70014
Kaoru Furihata, Waka Iwashita, Atsushi Kurabayashi, Kojima Koji, Mutsuo Furihata
{"title":"Ultrastructural and Immunohistochemical Study of a Gastric Bizarre Leiomyoma: Bizarre Nuclei and Prominent Cytoplasmic Processes Extending Into and Displacing the Stroma.","authors":"Kaoru Furihata, Waka Iwashita, Atsushi Kurabayashi, Kojima Koji, Mutsuo Furihata","doi":"10.1111/pin.70014","DOIUrl":null,"url":null,"abstract":"<p><p>This study presents the ultrastructural and immunohistochemical findings of a gastric bizarre leiomyoma arising in the vestibule of a 79-year-old male. Histologically, loosely proliferating tumor cells consist of large, multinucleated, bizarre nuclei with intranuclear inclusions and abundant cytoplasm-containing vacuoles. A murky line was apparent between the tumor cells and eosinophilic and heterogenous stroma-like areas. Immunohistochemically, tumor cells exhibited positively stained dot patterns of α-smooth muscle actin and caldesmon, which were distributed in the cytoplasm of tumor cells and stroma-like regions. Ultrastructurally, tumor cells exhibited extended and complex cytoplasmic processes comprising the fascicles of filamentous fibers. These structures were also detected in the apparent stroma-like regions observed histologically and were consistent with the α-smooth muscle actin- and caldesmon-immunopositive dot structures. The original stromal areas remained as considerably narrow gaps between tumor cells with extended cytoplasmic processes. To the best of our knowledge, this is the first report detailing the unique ultrastructural and immunohistochemical characteristics of tumor cells and the limited stromal composition of an extremely rare primary gastric bizarre leiomyoma.</p>","PeriodicalId":19806,"journal":{"name":"Pathology International","volume":" ","pages":"310-314"},"PeriodicalIF":3.4000,"publicationDate":"2025-06-01","publicationTypes":"Journal Article","fieldsOfStudy":null,"isOpenAccess":false,"openAccessPdf":"https://www.ncbi.nlm.nih.gov/pmc/articles/PMC12184308/pdf/","citationCount":"0","resultStr":null,"platform":"Semanticscholar","paperid":null,"PeriodicalName":"Pathology International","FirstCategoryId":"3","ListUrlMain":"https://doi.org/10.1111/pin.70014","RegionNum":4,"RegionCategory":"医学","ArticlePicture":[],"TitleCN":null,"AbstractTextCN":null,"PMCID":null,"EPubDate":"2025/4/14 0:00:00","PubModel":"Epub","JCR":"Q2","JCRName":"PATHOLOGY","Score":null,"Total":0}
引用次数: 0

Abstract

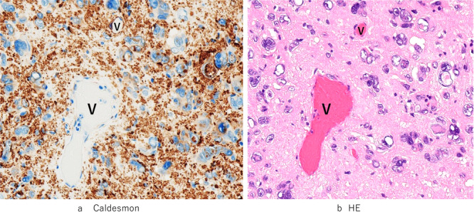
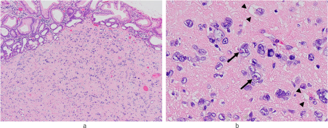
This study presents the ultrastructural and immunohistochemical findings of a gastric bizarre leiomyoma arising in the vestibule of a 79-year-old male. Histologically, loosely proliferating tumor cells consist of large, multinucleated, bizarre nuclei with intranuclear inclusions and abundant cytoplasm-containing vacuoles. A murky line was apparent between the tumor cells and eosinophilic and heterogenous stroma-like areas. Immunohistochemically, tumor cells exhibited positively stained dot patterns of α-smooth muscle actin and caldesmon, which were distributed in the cytoplasm of tumor cells and stroma-like regions. Ultrastructurally, tumor cells exhibited extended and complex cytoplasmic processes comprising the fascicles of filamentous fibers. These structures were also detected in the apparent stroma-like regions observed histologically and were consistent with the α-smooth muscle actin- and caldesmon-immunopositive dot structures. The original stromal areas remained as considerably narrow gaps between tumor cells with extended cytoplasmic processes. To the best of our knowledge, this is the first report detailing the unique ultrastructural and immunohistochemical characteristics of tumor cells and the limited stromal composition of an extremely rare primary gastric bizarre leiomyoma.

Abstract Image

Abstract Image

Abstract Image

胃奇异性平滑肌瘤的超微结构和免疫组织化学研究:奇异核和突出的细胞质突起延伸并取代基质。
本研究报告了一名79岁男性前庭发生的胃奇异平滑肌瘤的超微结构和免疫组织化学结果。组织学上,松散增殖的肿瘤细胞由大的、多核的、奇异的核组成,核内包含物和丰富的含有细胞质的空泡。肿瘤细胞与嗜酸性细胞区和异质间质样区界线模糊。免疫组化结果显示,肿瘤细胞内α-平滑肌肌动蛋白和caldesmon呈点阳性染色,分布于肿瘤细胞的细胞质和间质样区。在超微结构上,肿瘤细胞表现出由丝状纤维束组成的扩展和复杂的细胞质过程。在组织学观察的明显间质样区也发现了这些结构,并与α-平滑肌肌动蛋白和caldesmon免疫阳性点结构一致。原来的间质区仍然是肿瘤细胞之间相当狭窄的间隙,细胞质突延长。据我们所知,这是第一份详细描述极其罕见的原发性胃奇异平滑肌瘤的肿瘤细胞独特的超微结构和免疫组织化学特征以及有限的基质组成的报告。
本文章由计算机程序翻译,如有差异,请以英文原文为准。
求助全文
约1分钟内获得全文 求助全文
来源期刊
Pathology International
Pathology International 医学-病理学
CiteScore
4.50
自引率
4.50%
发文量
102
审稿时长
12 months
期刊介绍: Pathology International is the official English journal of the Japanese Society of Pathology, publishing articles of excellence in human and experimental pathology. The Journal focuses on the morphological study of the disease process and/or mechanisms. For human pathology, morphological investigation receives priority but manuscripts describing the result of any ancillary methods (cellular, chemical, immunological and molecular biological) that complement the morphology are accepted. Manuscript on experimental pathology that approach pathologenesis or mechanisms of disease processes are expected to report on the data obtained from models using cellular, biochemical, molecular biological, animal, immunological or other methods in conjunction with morphology. Manuscripts that report data on laboratory medicine (clinical pathology) without significant morphological contribution are not accepted.
×
引用
GB/T 7714-2015
复制
MLA
复制
APA
复制
导出至
BibTeX EndNote RefMan NoteFirst NoteExpress
×
提示
您的信息不完整,为了账户安全,请先补充。
现在去补充
×
提示
您因"违规操作"
具体请查看互助需知
我知道了
×
提示
确定
请完成安全验证×
copy
已复制链接
快去分享给好友吧!
我知道了
右上角分享
点击右上角分享
0
联系我们:info@booksci.cn Book学术提供免费学术资源搜索服务,方便国内外学者检索中英文文献。致力于提供最便捷和优质的服务体验。 Copyright © 2023 布克学术 All rights reserved.
京ICP备2023020795号-1
ghs 京公网安备 11010802042870号
Book学术文献互助
Book学术文献互助群
群 号:604180095
Book学术官方微信