Successful Management of an Infant with Congenital Focal Hyperinsulinism with No Apparent Lesion During Surgery.

IF 0.9 Q3 MEDICINE, GENERAL & INTERNAL
Medical Bulletin of Sisli Etfal Hospital Pub Date : 2025-03-18 eCollection Date: 2025-01-01 DOI:10.14744/SEMB.2024.89021
Ebru Misirli Ozdemir, Teoman Akcay, Arzu Akdag, Cetin Ali Karadag, Mesut Demir, Canan Tanik, Aydilek Dagdeviren Cakir, Ahmet Ucar
{"title":"Successful Management of an Infant with Congenital Focal Hyperinsulinism with No Apparent Lesion During Surgery.","authors":"Ebru Misirli Ozdemir, Teoman Akcay, Arzu Akdag, Cetin Ali Karadag, Mesut Demir, Canan Tanik, Aydilek Dagdeviren Cakir, Ahmet Ucar","doi":"10.14744/SEMB.2024.89021","DOIUrl":null,"url":null,"abstract":"<p><p>Congenital hyperinsulinism (HI) is the leading cause of persistent hypoglycemia in infants and children. Focal pancreatic lesions account for 30-40% of cases with congenital HI. With early diagnosis, these patients can be treated by resection of the lesion, making long-term medical care unnecessary. In this case, a 5-day-old newborn boy presented with convulsion due to severe and persistent hypoglycemia at his hospitalization in neonatal intensive care unit. Laboratory studies revealed very low levels of ketone bodies with inappropriately normal insulin levels during hypoglycemia. The patient was unresponsive to diazoxide treatment. The molecular genetic analysis revealed a heterozygous pathogenic variant in the ABCC8 gene. 18F-DOPA-PET/CT scan showed increased uptake of 18F-DOPA consistent with focal lesion at the tail of the pancreas. A focal pancreatectomy operation was performed when he was three months old. Histopathological evaluation confirmed focal endocrine cell hyperplasia. Hypoglycemia did not recur after the operation. CHI patients with ABCC8 / KCNJ11 mutation are not easy to manage with pharmacotheraphy. In the case of an identifiable focal lesion associated with CHI, surgery is the most preferred option. In focal CHI, as in our case, the lesion may not be visually evident and requires a surgeon experienced in CHI.</p>","PeriodicalId":42218,"journal":{"name":"Medical Bulletin of Sisli Etfal Hospital","volume":"59 1","pages":"138-141"},"PeriodicalIF":0.9000,"publicationDate":"2025-03-18","publicationTypes":"Journal Article","fieldsOfStudy":null,"isOpenAccess":false,"openAccessPdf":"https://www.ncbi.nlm.nih.gov/pmc/articles/PMC11983018/pdf/","citationCount":"0","resultStr":null,"platform":"Semanticscholar","paperid":null,"PeriodicalName":"Medical Bulletin of Sisli Etfal Hospital","FirstCategoryId":"1085","ListUrlMain":"https://doi.org/10.14744/SEMB.2024.89021","RegionNum":0,"RegionCategory":null,"ArticlePicture":[],"TitleCN":null,"AbstractTextCN":null,"PMCID":null,"EPubDate":"2025/1/1 0:00:00","PubModel":"eCollection","JCR":"Q3","JCRName":"MEDICINE, GENERAL & INTERNAL","Score":null,"Total":0}
引用次数: 0

Abstract

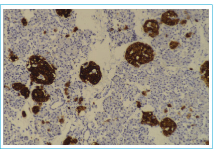
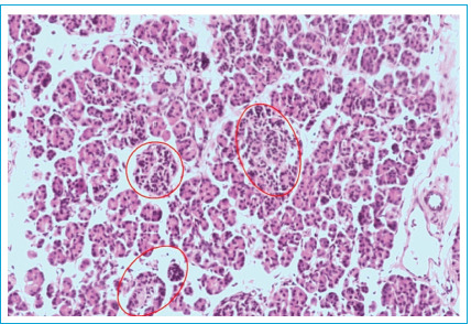
Congenital hyperinsulinism (HI) is the leading cause of persistent hypoglycemia in infants and children. Focal pancreatic lesions account for 30-40% of cases with congenital HI. With early diagnosis, these patients can be treated by resection of the lesion, making long-term medical care unnecessary. In this case, a 5-day-old newborn boy presented with convulsion due to severe and persistent hypoglycemia at his hospitalization in neonatal intensive care unit. Laboratory studies revealed very low levels of ketone bodies with inappropriately normal insulin levels during hypoglycemia. The patient was unresponsive to diazoxide treatment. The molecular genetic analysis revealed a heterozygous pathogenic variant in the ABCC8 gene. 18F-DOPA-PET/CT scan showed increased uptake of 18F-DOPA consistent with focal lesion at the tail of the pancreas. A focal pancreatectomy operation was performed when he was three months old. Histopathological evaluation confirmed focal endocrine cell hyperplasia. Hypoglycemia did not recur after the operation. CHI patients with ABCC8 / KCNJ11 mutation are not easy to manage with pharmacotheraphy. In the case of an identifiable focal lesion associated with CHI, surgery is the most preferred option. In focal CHI, as in our case, the lesion may not be visually evident and requires a surgeon experienced in CHI.

Abstract Image

Abstract Image

Abstract Image

一例先天性局灶性高胰岛素血症婴儿手术中无明显病变的成功治疗。
先天性高胰岛素血症(HI)是婴幼儿持续低血糖的主要原因。局灶性胰腺病变占先天性HI病例的30-40%。通过早期诊断,这些患者可以通过切除病变来治疗,从而不必进行长期的医疗护理。在本病例中,一名5天大的新生儿在新生儿重症监护病房住院时因严重和持续的低血糖而出现抽搐。实验室研究显示,低血糖时酮体水平很低,胰岛素水平不正常。病人对二氮唑治疗无反应。分子遗传分析显示ABCC8基因存在杂合致病变异。18F-DOPA- pet /CT扫描显示18F-DOPA摄取增加,与胰腺尾部局灶性病变一致。三个月大时行局灶性胰腺切除术。组织病理学检查证实局灶性内分泌细胞增生。术后无低血糖复发。携带ABCC8 / KCNJ11突变的CHI患者不容易通过药物治疗来控制。在可识别的局灶性病变与CHI相关的情况下,手术是最优选的选择。在局灶性CHI中,就像我们的病例一样,病变可能不明显,需要有经验的CHI外科医生。
本文章由计算机程序翻译,如有差异,请以英文原文为准。
求助全文
约1分钟内获得全文 求助全文
来源期刊
Medical Bulletin of Sisli Etfal Hospital
Medical Bulletin of Sisli Etfal Hospital MEDICINE, GENERAL & INTERNAL-
自引率
16.70%
发文量
41
×
引用
GB/T 7714-2015
复制
MLA
复制
APA
复制
导出至
BibTeX EndNote RefMan NoteFirst NoteExpress
×
提示
您的信息不完整,为了账户安全,请先补充。
现在去补充
×
提示
您因"违规操作"
具体请查看互助需知
我知道了
×
提示
确定
请完成安全验证×
copy
已复制链接
快去分享给好友吧!
我知道了
右上角分享
点击右上角分享
0
联系我们:info@booksci.cn Book学术提供免费学术资源搜索服务,方便国内外学者检索中英文文献。致力于提供最便捷和优质的服务体验。 Copyright © 2023 布克学术 All rights reserved.
京ICP备2023020795号-1
ghs 京公网安备 11010802042870号
Book学术文献互助
Book学术文献互助群
群 号:604180095
Book学术官方微信