Unveiling HER2 immunoexpression in canine hepatoid gland neoplasms: clinicopathological and morphological associations.

IF 3.2 Q1 VETERINARY SCIENCES
Hassadin Boonsriroj, Sahatchai Tangtrongsup, Jirapat Arunorat, Thanongsak Mamom, Pinkarn Chantawong
{"title":"Unveiling HER2 immunoexpression in canine hepatoid gland neoplasms: clinicopathological and morphological associations.","authors":"Hassadin Boonsriroj, Sahatchai Tangtrongsup, Jirapat Arunorat, Thanongsak Mamom, Pinkarn Chantawong","doi":"10.1080/23144599.2025.2495522","DOIUrl":null,"url":null,"abstract":"<p><p>Canine hepatoid gland neoplasms (HGNs) are significant clinical concerns due to their high prevalence and diverse biological behaviour. Human epidermal growth factor receptor 2 (HER2), a tyrosine kinase receptor implicated in various aspects of tumorigenesis, has been extensively studied in human and animal neoplasms but remains unexplored in HGNs. This study aimed to assess HER2 immunoexpression in canine HGNs and its association with clinicopathological and morphological features. A total of 61 formalin-fixed paraffin-embedded samples, including normal hepatoid glands (<i>n</i> = 10), hepatoid gland adenomas (HGAs, <i>n</i> = 20), hepatoid gland epitheliomas (HGEs, <i>n</i> = 16), and hepatoid gland carcinomas (HGCs, <i>n</i> = 15), were analysed using immunohistochemistry. HER2 expression was scored based on percentage positivity and staining intensity. HER2-positive expression was detected in 50% of HGEs (score 2  +  ) and 73.3% of HGCs, with 36.4% of cases scoring 3   +   . In contrast, all HGAs and normal hepatoid tissues were HER2-immunonegative. Statistical analysis revealed significant differences in HER2 expression among normal and neoplastic hepatoid glands (<i>p</i> < 0.001). Only in HGCs, HER2 expression was significantly associated with tissue invasion (<i>p</i> = 0.007), mitotic count (<i>p</i> = 0.033), and nuclear pleomorphism (<i>p</i> = 0.007). These findings suggest that HER2 may play a role in the progression of malignant HGNs, particularly HGCs. This preliminary study highlights the potential of HER2 as a diagnostic marker and emphasizes the need for further investigation into its prognostic value and role in HER2-targeted therapy for canine HGCs.</p>","PeriodicalId":45744,"journal":{"name":"International Journal of Veterinary Science and Medicine","volume":"13 1","pages":"1-12"},"PeriodicalIF":3.2000,"publicationDate":"2025-04-24","publicationTypes":"Journal Article","fieldsOfStudy":null,"isOpenAccess":false,"openAccessPdf":"https://www.ncbi.nlm.nih.gov/pmc/articles/PMC12024500/pdf/","citationCount":"0","resultStr":null,"platform":"Semanticscholar","paperid":null,"PeriodicalName":"International Journal of Veterinary Science and Medicine","FirstCategoryId":"1085","ListUrlMain":"https://doi.org/10.1080/23144599.2025.2495522","RegionNum":0,"RegionCategory":null,"ArticlePicture":[],"TitleCN":null,"AbstractTextCN":null,"PMCID":null,"EPubDate":"2025/1/1 0:00:00","PubModel":"eCollection","JCR":"Q1","JCRName":"VETERINARY SCIENCES","Score":null,"Total":0}
引用次数: 0

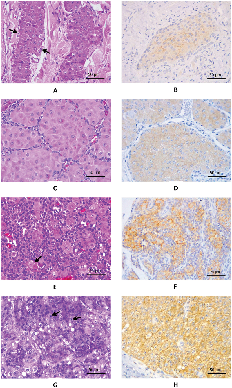
Abstract

Canine hepatoid gland neoplasms (HGNs) are significant clinical concerns due to their high prevalence and diverse biological behaviour. Human epidermal growth factor receptor 2 (HER2), a tyrosine kinase receptor implicated in various aspects of tumorigenesis, has been extensively studied in human and animal neoplasms but remains unexplored in HGNs. This study aimed to assess HER2 immunoexpression in canine HGNs and its association with clinicopathological and morphological features. A total of 61 formalin-fixed paraffin-embedded samples, including normal hepatoid glands (n = 10), hepatoid gland adenomas (HGAs, n = 20), hepatoid gland epitheliomas (HGEs, n = 16), and hepatoid gland carcinomas (HGCs, n = 15), were analysed using immunohistochemistry. HER2 expression was scored based on percentage positivity and staining intensity. HER2-positive expression was detected in 50% of HGEs (score 2  +  ) and 73.3% of HGCs, with 36.4% of cases scoring 3   +   . In contrast, all HGAs and normal hepatoid tissues were HER2-immunonegative. Statistical analysis revealed significant differences in HER2 expression among normal and neoplastic hepatoid glands (p < 0.001). Only in HGCs, HER2 expression was significantly associated with tissue invasion (p = 0.007), mitotic count (p = 0.033), and nuclear pleomorphism (p = 0.007). These findings suggest that HER2 may play a role in the progression of malignant HGNs, particularly HGCs. This preliminary study highlights the potential of HER2 as a diagnostic marker and emphasizes the need for further investigation into its prognostic value and role in HER2-targeted therapy for canine HGCs.

Abstract Image

Abstract Image

揭示HER2免疫表达在犬肝样腺肿瘤:临床病理和形态学关联。
犬肝样腺肿瘤(HGNs)由于其高患病率和多样化的生物学行为而引起临床关注。人表皮生长因子受体2 (HER2)是一种酪氨酸激酶受体,与肿瘤发生的各个方面有关,已经在人类和动物肿瘤中进行了广泛的研究,但在HGNs中仍未被探索。本研究旨在评估犬HGNs中HER2免疫表达及其与临床病理和形态学特征的关系。采用免疫组化方法对61例正常肝样腺(n = 10)、肝样腺腺瘤(HGAs, n = 20)、肝样腺上皮瘤(HGEs, n = 16)、肝样腺癌(HGCs, n = 15)进行福尔马林固定石蜡包埋标本分析。根据阳性百分比和染色强度对HER2表达进行评分。50%的HGEs(2 +分)和73.3%的hgc(3 +分)检测到her2阳性表达,36.4%的HGEs(3 +分)检测到her2阳性表达。相比之下,所有HGAs和正常肝样组织均为her2免疫阴性。统计学分析显示,HER2在正常和肿瘤肝样腺中的表达(p = 0.007)、有丝分裂计数(p = 0.033)和核多形性(p = 0.007)均有显著差异。这些发现提示HER2可能在恶性hgn,特别是HGCs的进展中发挥作用。这项初步研究强调了HER2作为诊断标志物的潜力,并强调需要进一步研究其在犬hgc的预后价值和HER2靶向治疗中的作用。
本文章由计算机程序翻译,如有差异,请以英文原文为准。
求助全文
约1分钟内获得全文 求助全文
来源期刊
CiteScore
4.80
自引率
0.00%
发文量
12
审稿时长
24 weeks
×
引用
GB/T 7714-2015
复制
MLA
复制
APA
复制
导出至
BibTeX EndNote RefMan NoteFirst NoteExpress
×
提示
您的信息不完整,为了账户安全,请先补充。
现在去补充
×
提示
您因"违规操作"
具体请查看互助需知
我知道了
×
提示
确定
请完成安全验证×
copy
已复制链接
快去分享给好友吧!
我知道了
右上角分享
点击右上角分享
0
联系我们:info@booksci.cn Book学术提供免费学术资源搜索服务,方便国内外学者检索中英文文献。致力于提供最便捷和优质的服务体验。 Copyright © 2023 布克学术 All rights reserved.
京ICP备2023020795号-1
ghs 京公网安备 11010802042870号
Book学术文献互助
Book学术文献互助群
群 号:604180095
Book学术官方微信