Analysis of mast cells in dental follicle and dentigerous cyst: A histopathological study.

Q3 Medicine
Jayaraman Sindhumati, Sanjai Karpagaselvi, Kumaraswamy Jayalakshmi, Papaiah Lokesh, Keshavaiah Roopavathi, Pandey Bhavna
{"title":"Analysis of mast cells in dental follicle and dentigerous cyst: A histopathological study.","authors":"Jayaraman Sindhumati, Sanjai Karpagaselvi, Kumaraswamy Jayalakshmi, Papaiah Lokesh, Keshavaiah Roopavathi, Pandey Bhavna","doi":"10.4103/jomfp.jomfp_479_23","DOIUrl":null,"url":null,"abstract":"<p><strong>Introduction: </strong>Mast cells are large granular cells that arise from multipotent CD 34+ precursors in the bone marrow normally distributed throughout the connective tissues. Following activation of immunologic or nonimmunologic stimuli, mast cells release secretory granules which give the characteristic metachromatic appearance with toluidine blue stain. Release of numerous mediators on degranulation of mast cells plays an important role in the pathogenesis of odontogenic cysts.</p><p><strong>Context: </strong>Odontogenic cysts, such as dentigerous cysts, arise due to the accumulation of fluid between the crown of an unerupted tooth and the reduced enamel epithelium. Dental follicles, which surround developing teeth, can also undergo cystic transformation. Mast cells activity might contribute to cyst expansion and bone resorption, highlighting their potential role in cystic pathology.</p><p><strong>Aims: </strong>To study the presence of mast cells in the dental follicle and dentigerous cyst. To quantify the mast cells in the abovementioned subjects. To study the pattern of distribution of mast cell distribution in different zones of the study groups.</p><p><strong>Settings and design: </strong>This was histopathological study conducted at the Department of Oral Pathology and Microbiology, Vydehi College of Dental Sciences and Research Centre, Bengaluru, between 2012 and 2015.</p><p><strong>Methods and material: </strong>Our study was conducted in the Department of Oral Pathology and Microbiology at Vydehi College of Dental Sciences and Research Centre in the year 2012 to 2015. Histopathologically analyzed 30 cases each of dental follicle, and dentigerous cysts were taken and 4-5 micron sections were stained with toluidine blue. Counting of mast cells was done in three different zones which included subepithelial, intermediate, and deep zone. The results were tabulated and statistically analyzed.</p><p><strong>Statistical analysis used: </strong>Kruskal-Wallis Chi-squared test.</p><p><strong>Results: </strong>Both dental follicles and dentigerous cysts showed the presence of mast cells, and highest numbers of mast cells were seen in subepithelial zone followed by intermediate and deep zones. There was statistically significant relation in the number of mast cells in dentigerous cysts and dental follicle along subepithelial and intermediate zone with a <i>P</i> value of <0.05. In our study, we also found increased mast cell count in inflamed cases of dental follicle and dentigerous cyst compared with noninflamed cases with a <i>P</i> value of <0.01.</p><p><strong>Conclusions: </strong>It is well known that mast cells play a role in the initiation of inflammation, and this inflammatory process may be associated with pericoronal follicle enlargement, a process that could result in cystic transformation of the follicle. Hence, regular radiographic follow-up is necessary especially for teeth with a maximum dental follicle width of 2-3 mm.</p>","PeriodicalId":38846,"journal":{"name":"Journal of Oral and Maxillofacial Pathology","volume":"29 1","pages":"35-40"},"PeriodicalIF":0.0000,"publicationDate":"2025-01-01","publicationTypes":"Journal Article","fieldsOfStudy":null,"isOpenAccess":false,"openAccessPdf":"https://www.ncbi.nlm.nih.gov/pmc/articles/PMC12002576/pdf/","citationCount":"0","resultStr":null,"platform":"Semanticscholar","paperid":null,"PeriodicalName":"Journal of Oral and Maxillofacial Pathology","FirstCategoryId":"1085","ListUrlMain":"https://doi.org/10.4103/jomfp.jomfp_479_23","RegionNum":0,"RegionCategory":null,"ArticlePicture":[],"TitleCN":null,"AbstractTextCN":null,"PMCID":null,"EPubDate":"2025/3/28 0:00:00","PubModel":"Epub","JCR":"Q3","JCRName":"Medicine","Score":null,"Total":0}
引用次数: 0

Abstract

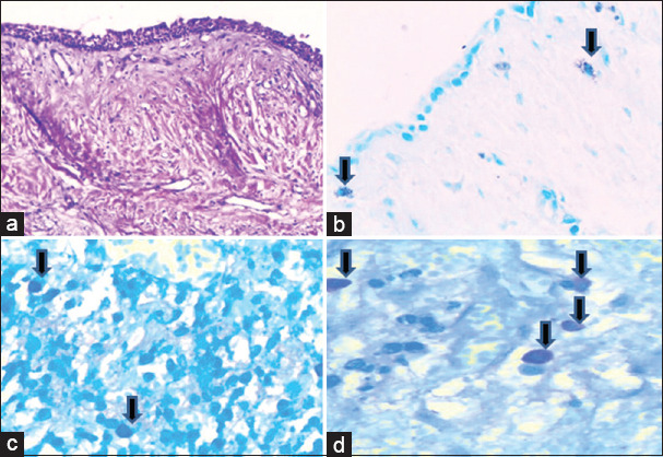
Introduction: Mast cells are large granular cells that arise from multipotent CD 34+ precursors in the bone marrow normally distributed throughout the connective tissues. Following activation of immunologic or nonimmunologic stimuli, mast cells release secretory granules which give the characteristic metachromatic appearance with toluidine blue stain. Release of numerous mediators on degranulation of mast cells plays an important role in the pathogenesis of odontogenic cysts.

Context: Odontogenic cysts, such as dentigerous cysts, arise due to the accumulation of fluid between the crown of an unerupted tooth and the reduced enamel epithelium. Dental follicles, which surround developing teeth, can also undergo cystic transformation. Mast cells activity might contribute to cyst expansion and bone resorption, highlighting their potential role in cystic pathology.

Aims: To study the presence of mast cells in the dental follicle and dentigerous cyst. To quantify the mast cells in the abovementioned subjects. To study the pattern of distribution of mast cell distribution in different zones of the study groups.

Settings and design: This was histopathological study conducted at the Department of Oral Pathology and Microbiology, Vydehi College of Dental Sciences and Research Centre, Bengaluru, between 2012 and 2015.

Methods and material: Our study was conducted in the Department of Oral Pathology and Microbiology at Vydehi College of Dental Sciences and Research Centre in the year 2012 to 2015. Histopathologically analyzed 30 cases each of dental follicle, and dentigerous cysts were taken and 4-5 micron sections were stained with toluidine blue. Counting of mast cells was done in three different zones which included subepithelial, intermediate, and deep zone. The results were tabulated and statistically analyzed.

Statistical analysis used: Kruskal-Wallis Chi-squared test.

Results: Both dental follicles and dentigerous cysts showed the presence of mast cells, and highest numbers of mast cells were seen in subepithelial zone followed by intermediate and deep zones. There was statistically significant relation in the number of mast cells in dentigerous cysts and dental follicle along subepithelial and intermediate zone with a P value of <0.05. In our study, we also found increased mast cell count in inflamed cases of dental follicle and dentigerous cyst compared with noninflamed cases with a P value of <0.01.

Conclusions: It is well known that mast cells play a role in the initiation of inflammation, and this inflammatory process may be associated with pericoronal follicle enlargement, a process that could result in cystic transformation of the follicle. Hence, regular radiographic follow-up is necessary especially for teeth with a maximum dental follicle width of 2-3 mm.

Abstract Image

Abstract Image

牙滤泡和牙囊肿肥大细胞的组织病理学分析。
肥大细胞是由骨髓中多能性cd34 +前体产生的大颗粒细胞,正态分布在结缔组织中。在免疫或非免疫刺激激活后,肥大细胞释放分泌颗粒,呈现甲苯胺蓝染色的特征性偏色。肥大细胞脱颗粒过程中多种介质的释放在牙源性囊肿的发病机制中起重要作用。背景:牙源性囊肿,如牙源性囊肿,是由于未出牙的牙冠和减少的牙釉质上皮之间积液引起的。生长中的牙齿周围的牙毛囊也会发生囊性转变。肥大细胞的活性可能有助于囊肿扩张和骨吸收,突出了它们在囊肿病理中的潜在作用。目的:研究牙毛囊和牙囊肿中肥大细胞的存在。量化上述受试者的肥大细胞。研究各组不同区域肥大细胞的分布规律。环境和设计:这是2012年至2015年间在班加罗尔Vydehi牙科科学和研究中心口腔病理和微生物学系进行的组织病理学研究。方法与材料:我们的研究于2012 - 2015年在Vydehi牙科科学与研究中心口腔病理与微生物学系进行。对各30例牙滤泡和牙囊肿进行组织病理学分析,甲苯胺蓝染色4-5微米切片。肥大细胞计数在三个不同的区域进行,包括上皮下、中间和深区。将结果制成表格并进行统计分析。统计分析采用Kruskal-Wallis卡方检验。结果:牙滤泡和牙囊肿均可见肥大细胞,上皮下区肥大细胞数量最多,中间区次之,深部区次之。结论:众所周知,肥大细胞在炎症的发生中起一定的作用,这种炎症过程可能与冠状周围滤泡增大有关,从而导致滤泡囊变。因此,定期的x线随访是必要的,特别是对于最大牙囊宽度为2-3毫米的牙齿。
本文章由计算机程序翻译,如有差异,请以英文原文为准。
求助全文
约1分钟内获得全文 求助全文
来源期刊
Journal of Oral and Maxillofacial Pathology
Journal of Oral and Maxillofacial Pathology Medicine-Otorhinolaryngology
CiteScore
1.40
自引率
0.00%
发文量
115
期刊介绍: The journal of Oral and Maxillofacial Pathology [ISSN:print-(0973-029X, online-1998-393X)] is a tri-annual journal published on behalf of “The Indian Association of Oral and Maxillofacial Pathologists” (IAOMP). The publication of JOMFP was started in the year 1993. The journal publishes papers on a wide spectrum of topics associated with the scope of Oral and Maxillofacial Pathology, also, ensuring scientific merit and quality. It is a comprehensive reading material for the professionals who want to upgrade their diagnostic skills in Oral Diseases; allows exposure to newer topics and methods of research in the Oral-facial Tissues and Pathology. New features allow an open minded thinking and approach to various pathologies. It also encourages authors to showcase quality work done by them and to compile relevant cases which are diagnostically challenging. The Journal takes pride in maintaining the quality of articles and photomicrographs.
×
引用
GB/T 7714-2015
复制
MLA
复制
APA
复制
导出至
BibTeX EndNote RefMan NoteFirst NoteExpress
×
提示
您的信息不完整,为了账户安全,请先补充。
现在去补充
×
提示
您因"违规操作"
具体请查看互助需知
我知道了
×
提示
确定
请完成安全验证×
copy
已复制链接
快去分享给好友吧!
我知道了
右上角分享
点击右上角分享
0
联系我们:info@booksci.cn Book学术提供免费学术资源搜索服务,方便国内外学者检索中英文文献。致力于提供最便捷和优质的服务体验。 Copyright © 2023 布克学术 All rights reserved.
京ICP备2023020795号-1
ghs 京公网安备 11010802042870号
Book学术文献互助
Book学术文献互助群
群 号:604180095
Book学术官方微信