Association between cystitis glandularis and bladder neck leiomyoma: A case report and literature review.

IF 1.3 4区 医学 Q4 UROLOGY & NEPHROLOGY
Current Urology Pub Date : 2025-03-01 Epub Date: 2025-01-21 DOI:10.1097/CU9.0000000000000267
Caixia Zhang, Longlong Fan, Kuiqing Li, Li Huang, Lingjiao Chen, Yousheng Yao
{"title":"Association between cystitis glandularis and bladder neck leiomyoma: A case report and literature review.","authors":"Caixia Zhang, Longlong Fan, Kuiqing Li, Li Huang, Lingjiao Chen, Yousheng Yao","doi":"10.1097/CU9.0000000000000267","DOIUrl":null,"url":null,"abstract":"<p><p>This article reported the diagnosis and treatment of cystitis glandularis (CG) co-occurring with bladder neck leiomyomas. We retrospectively analyzed the clinical data of a single case of CG with bladder neck leiomyoma. A 31-year-old Chinese woman was given a diagnosis of CG and bladder neck leiomyoma. The mass and surrounding bladder mucosal lesions were entirely excised via transurethral resection, leaving a clean margin of healthy tissue. Histopathological analyses confirmed the diagnosis of CG and bladder neck leiomyoma. The patient remained asymptomatic throughout the follow-up period, with no indication of recurrence. Cystitis glandularis co-occurring with bladder neck leiomyoma requires careful examination, and surgery remains the best treatment option for these diseases.</p>","PeriodicalId":39147,"journal":{"name":"Current Urology","volume":"19 2","pages":"133-137"},"PeriodicalIF":1.3000,"publicationDate":"2025-03-01","publicationTypes":"Journal Article","fieldsOfStudy":null,"isOpenAccess":false,"openAccessPdf":"https://www.ncbi.nlm.nih.gov/pmc/articles/PMC12042166/pdf/","citationCount":"0","resultStr":null,"platform":"Semanticscholar","paperid":null,"PeriodicalName":"Current Urology","FirstCategoryId":"1085","ListUrlMain":"https://doi.org/10.1097/CU9.0000000000000267","RegionNum":4,"RegionCategory":"医学","ArticlePicture":[],"TitleCN":null,"AbstractTextCN":null,"PMCID":null,"EPubDate":"2025/1/21 0:00:00","PubModel":"Epub","JCR":"Q4","JCRName":"UROLOGY & NEPHROLOGY","Score":null,"Total":0}
引用次数: 0

Abstract

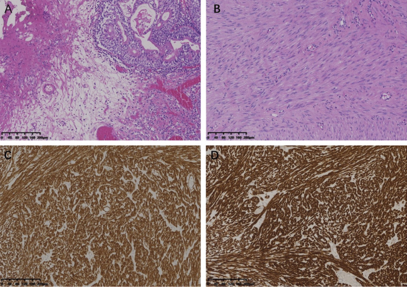
This article reported the diagnosis and treatment of cystitis glandularis (CG) co-occurring with bladder neck leiomyomas. We retrospectively analyzed the clinical data of a single case of CG with bladder neck leiomyoma. A 31-year-old Chinese woman was given a diagnosis of CG and bladder neck leiomyoma. The mass and surrounding bladder mucosal lesions were entirely excised via transurethral resection, leaving a clean margin of healthy tissue. Histopathological analyses confirmed the diagnosis of CG and bladder neck leiomyoma. The patient remained asymptomatic throughout the follow-up period, with no indication of recurrence. Cystitis glandularis co-occurring with bladder neck leiomyoma requires careful examination, and surgery remains the best treatment option for these diseases.

Abstract Image

Abstract Image

Abstract Image

腺性膀胱炎与膀胱颈部平滑肌瘤的关系:1例报告及文献复习。
本文报告腺性膀胱炎(CG)合并膀胱颈部平滑肌瘤的诊断与治疗。我们回顾性分析1例CG合并膀胱颈部平滑肌瘤的临床资料。一位31岁的中国女性被诊断为CG和膀胱颈部平滑肌瘤。经尿道切除肿块和周围膀胱粘膜病变,留下干净的健康组织边缘。组织病理学分析证实了CG和膀胱颈部平滑肌瘤的诊断。患者在随访期间无症状,无复发迹象。腺性膀胱炎合并膀胱颈部平滑肌瘤需要仔细检查,手术仍然是治疗这些疾病的最佳选择。
本文章由计算机程序翻译,如有差异,请以英文原文为准。
求助全文
约1分钟内获得全文 求助全文
来源期刊
Current Urology
Current Urology Medicine-Urology
CiteScore
2.30
自引率
0.00%
发文量
96
×
引用
GB/T 7714-2015
复制
MLA
复制
APA
复制
导出至
BibTeX EndNote RefMan NoteFirst NoteExpress
×
提示
您的信息不完整,为了账户安全,请先补充。
现在去补充
×
提示
您因"违规操作"
具体请查看互助需知
我知道了
×
提示
确定
请完成安全验证×
copy
已复制链接
快去分享给好友吧!
我知道了
右上角分享
点击右上角分享
0
联系我们:info@booksci.cn Book学术提供免费学术资源搜索服务,方便国内外学者检索中英文文献。致力于提供最便捷和优质的服务体验。 Copyright © 2023 布克学术 All rights reserved.
京ICP备2023020795号-1
ghs 京公网安备 11010802042870号
Book学术文献互助
Book学术文献互助群
群 号:604180095
Book学术官方微信