Aortic Aneurysm: Dissection from the Root to Pelvis.

IF 0.8 Q4 RADIOLOGY, NUCLEAR MEDICINE & MEDICAL IMAGING
Journal of Medical Ultrasound Pub Date : 2024-12-05 eCollection Date: 2025-01-01 DOI:10.4103/jmu.jmu_136_23
Lan-Sin Jhang, An-Shine Chao, Chih-Wei Chien
{"title":"Aortic Aneurysm: Dissection from the Root to Pelvis.","authors":"Lan-Sin Jhang, An-Shine Chao, Chih-Wei Chien","doi":"10.4103/jmu.jmu_136_23","DOIUrl":null,"url":null,"abstract":"<p><p>Isolated pelvic pain caused by aortic dissection is a very uncommon clinical presentation. This life-threatening cardiovascular lesion needs prompt diagnosis and intervention to prevent rupture. We report the case of a 45-year-old woman with Marfan syndrome who presented to our gynecologic clinic with low abdominal pain. Bedside point-of-care ultrasound revealed the bilocular echo lucent cystic lesion indicating the dissection of common iliac artery in her pelvis.</p>","PeriodicalId":45466,"journal":{"name":"Journal of Medical Ultrasound","volume":"33 1","pages":"64-66"},"PeriodicalIF":0.8000,"publicationDate":"2024-12-05","publicationTypes":"Journal Article","fieldsOfStudy":null,"isOpenAccess":false,"openAccessPdf":"https://www.ncbi.nlm.nih.gov/pmc/articles/PMC11978254/pdf/","citationCount":"0","resultStr":null,"platform":"Semanticscholar","paperid":null,"PeriodicalName":"Journal of Medical Ultrasound","FirstCategoryId":"1085","ListUrlMain":"https://doi.org/10.4103/jmu.jmu_136_23","RegionNum":0,"RegionCategory":null,"ArticlePicture":[],"TitleCN":null,"AbstractTextCN":null,"PMCID":null,"EPubDate":"2025/1/1 0:00:00","PubModel":"eCollection","JCR":"Q4","JCRName":"RADIOLOGY, NUCLEAR MEDICINE & MEDICAL IMAGING","Score":null,"Total":0}
引用次数: 0

Abstract

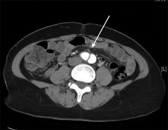
Isolated pelvic pain caused by aortic dissection is a very uncommon clinical presentation. This life-threatening cardiovascular lesion needs prompt diagnosis and intervention to prevent rupture. We report the case of a 45-year-old woman with Marfan syndrome who presented to our gynecologic clinic with low abdominal pain. Bedside point-of-care ultrasound revealed the bilocular echo lucent cystic lesion indicating the dissection of common iliac artery in her pelvis.

Abstract Image

Abstract Image

Abstract Image

主动脉瘤:从根部到骨盆的夹层。
由主动脉夹层引起的孤立性骨盆疼痛是一种非常罕见的临床表现。这种危及生命的心血管病变需要及时诊断和干预,以防止破裂。我们报告的情况下,45岁的妇女马凡氏综合征谁提出了我们的妇科门诊下腹痛。床边超声显示双腔回声清晰的囊性病变,提示骨盆髂总动脉夹层。
本文章由计算机程序翻译,如有差异,请以英文原文为准。
求助全文
约1分钟内获得全文 求助全文
来源期刊
Journal of Medical Ultrasound
Journal of Medical Ultrasound RADIOLOGY, NUCLEAR MEDICINE & MEDICAL IMAGING-
CiteScore
1.30
自引率
9.10%
发文量
90
审稿时长
10 weeks
期刊介绍: The Journal of Medical Ultrasound is the peer-reviewed publication of the Asian Federation of Societies for Ultrasound in Medicine and Biology, and the Chinese Taipei Society of Ultrasound in Medicine. Its aim is to promote clinical and scientific research in ultrasonography, and to serve as a channel of communication among sonologists, sonographers, and medical ultrasound physicians in the Asia-Pacific region and wider international community. The Journal invites original contributions relating to the clinical and laboratory investigations and applications of ultrasonography.
×
引用
GB/T 7714-2015
复制
MLA
复制
APA
复制
导出至
BibTeX EndNote RefMan NoteFirst NoteExpress
×
提示
您的信息不完整,为了账户安全,请先补充。
现在去补充
×
提示
您因"违规操作"
具体请查看互助需知
我知道了
×
提示
确定
请完成安全验证×
copy
已复制链接
快去分享给好友吧!
我知道了
右上角分享
点击右上角分享
0
联系我们:info@booksci.cn Book学术提供免费学术资源搜索服务,方便国内外学者检索中英文文献。致力于提供最便捷和优质的服务体验。 Copyright © 2023 布克学术 All rights reserved.
京ICP备2023020795号-1
ghs 京公网安备 11010802042870号
Book学术文献互助
Book学术文献互助群
群 号:604180095
Book学术官方微信