An extremely rare case of Rosai-Dorfman-Destombes disease in the spleen with secondary thrombocytopenia: a case report.

IF 0.7 Q3 MEDICINE, GENERAL & INTERNAL
AME Case Reports Pub Date : 2025-03-11 eCollection Date: 2025-01-01 DOI:10.21037/acr-24-207
Xiqi Liu, Cheng Quan, Yu Wang
{"title":"An extremely rare case of Rosai-Dorfman-Destombes disease in the spleen with secondary thrombocytopenia: a case report.","authors":"Xiqi Liu, Cheng Quan, Yu Wang","doi":"10.21037/acr-24-207","DOIUrl":null,"url":null,"abstract":"<p><strong>Background: </strong>Rosai-Dorfman-Destombes disease (RDD), also known as sinus histiocytosis with massive lymphadenopathy, is a rare, multisystemic histiocytic disorder. It can affect multiple organs, including bones, the brain, nasal cavities, and breasts. But, RDD in the spleen with secondary thrombocytopenia is extremely rare. This report aimed to show some new symptoms to help in the early diagnosis of this disease.</p><p><strong>Case description: </strong>A 68-year-old female patient presented with abdominal discomfort for over 2 months. Positron emission tomography-computed tomography (PET-CT) examination revealed multiple splenic lesions with no significant abnormalities elsewhere. The patient had a history of rheumatoid arthritis and diabetes. Physical examination showed no significant abnormalities. Blood tests upon admission revealed a platelet count of 39×10<sup>9</sup> cells/L. An elective laparoscopic splenectomy was performed in April 2024. Postoperative pathology and immunohistochemistry suggested RDD. Based on the lab reports and clinical manifestations, the patient was diagnosed with splenic primary RDD with secondary thrombocytopenia. The patient was followed up regularly, and the platelet level recovered to 222×10<sup>9</sup> cells/L 1-month post-surgery, confirming the cause of thrombocytopenia as secondary to splenic RDD. No significant abnormalities were found on abdominal CT 5 months post-surgery. Preoperative diagnosis of RDD remains challenging, especially for abdominal primary RDD, as percutaneous biopsy is difficult and imaging studies lack specific features, making the diagnosis still dependent on postoperative pathology and immunohistochemistry.</p><p><strong>Conclusions: </strong>This case indicates that in patients with multiple splenic space-occupying lesions and thrombocytopenia, particularly with a history of rheumatoid arthritis, the potential for this illness should be contemplated, even in the absence of conventional RDD lymph node symptoms.</p>","PeriodicalId":29752,"journal":{"name":"AME Case Reports","volume":"9 ","pages":"57"},"PeriodicalIF":0.7000,"publicationDate":"2025-03-11","publicationTypes":"Journal Article","fieldsOfStudy":null,"isOpenAccess":false,"openAccessPdf":"https://www.ncbi.nlm.nih.gov/pmc/articles/PMC12053440/pdf/","citationCount":"0","resultStr":null,"platform":"Semanticscholar","paperid":null,"PeriodicalName":"AME Case Reports","FirstCategoryId":"1085","ListUrlMain":"https://doi.org/10.21037/acr-24-207","RegionNum":0,"RegionCategory":null,"ArticlePicture":[],"TitleCN":null,"AbstractTextCN":null,"PMCID":null,"EPubDate":"2025/1/1 0:00:00","PubModel":"eCollection","JCR":"Q3","JCRName":"MEDICINE, GENERAL & INTERNAL","Score":null,"Total":0}
引用次数: 0

Abstract

Background: Rosai-Dorfman-Destombes disease (RDD), also known as sinus histiocytosis with massive lymphadenopathy, is a rare, multisystemic histiocytic disorder. It can affect multiple organs, including bones, the brain, nasal cavities, and breasts. But, RDD in the spleen with secondary thrombocytopenia is extremely rare. This report aimed to show some new symptoms to help in the early diagnosis of this disease.

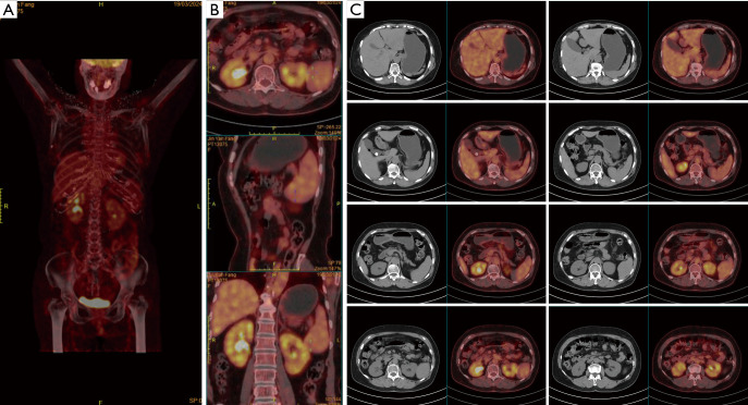
Case description: A 68-year-old female patient presented with abdominal discomfort for over 2 months. Positron emission tomography-computed tomography (PET-CT) examination revealed multiple splenic lesions with no significant abnormalities elsewhere. The patient had a history of rheumatoid arthritis and diabetes. Physical examination showed no significant abnormalities. Blood tests upon admission revealed a platelet count of 39×109 cells/L. An elective laparoscopic splenectomy was performed in April 2024. Postoperative pathology and immunohistochemistry suggested RDD. Based on the lab reports and clinical manifestations, the patient was diagnosed with splenic primary RDD with secondary thrombocytopenia. The patient was followed up regularly, and the platelet level recovered to 222×109 cells/L 1-month post-surgery, confirming the cause of thrombocytopenia as secondary to splenic RDD. No significant abnormalities were found on abdominal CT 5 months post-surgery. Preoperative diagnosis of RDD remains challenging, especially for abdominal primary RDD, as percutaneous biopsy is difficult and imaging studies lack specific features, making the diagnosis still dependent on postoperative pathology and immunohistochemistry.

Conclusions: This case indicates that in patients with multiple splenic space-occupying lesions and thrombocytopenia, particularly with a history of rheumatoid arthritis, the potential for this illness should be contemplated, even in the absence of conventional RDD lymph node symptoms.

Abstract Image

Abstract Image

极为罕见的Rosai-Dorfman-Destombes病伴继发性血小板减少症1例报告。
背景:rossai - dorfman - destombes病(RDD),又称窦性组织细胞增生伴大量淋巴结病,是一种罕见的多系统组织细胞疾病。它可以影响多个器官,包括骨骼、大脑、鼻腔和乳房。但是,继发性血小板减少的脾脏RDD是非常罕见的。本报告旨在显示一些新的症状,以帮助早期诊断这种疾病。病例描述:68岁女性患者,腹部不适2个多月。正电子发射断层扫描(PET-CT)检查显示脾脏多发病变,其他部位未见明显异常。患者有类风湿关节炎和糖尿病病史。体格检查未见明显异常。入院时的血液检查显示血小板计数为39×109细胞/L。2024年4月行选择性腹腔镜脾切除术。术后病理及免疫组化提示RDD。根据实验室报告和临床表现,诊断为脾原发性RDD伴继发性血小板减少症。患者定期随访,术后1个月血小板水平恢复至222×109 cells/L,确认血小板减少症继发于脾RDD。术后5个月腹部CT未见明显异常。RDD的术前诊断仍然具有挑战性,特别是腹部原发性RDD,因为经皮活检困难,影像学研究缺乏特异性特征,使得诊断仍然依赖于术后病理和免疫组织化学。结论:本病例提示,多发脾占位性病变和血小板减少的患者,特别是有类风湿关节炎病史的患者,即使没有常规的RDD淋巴结症状,也应考虑这种疾病的可能性。
本文章由计算机程序翻译,如有差异,请以英文原文为准。
求助全文
约1分钟内获得全文 求助全文
来源期刊
自引率
0.00%
发文量
0
×
引用
GB/T 7714-2015
复制
MLA
复制
APA
复制
导出至
BibTeX EndNote RefMan NoteFirst NoteExpress
×
提示
您的信息不完整,为了账户安全,请先补充。
现在去补充
×
提示
您因"违规操作"
具体请查看互助需知
我知道了
×
提示
确定
请完成安全验证×
copy
已复制链接
快去分享给好友吧!
我知道了
右上角分享
点击右上角分享
0
联系我们:info@booksci.cn Book学术提供免费学术资源搜索服务,方便国内外学者检索中英文文献。致力于提供最便捷和优质的服务体验。 Copyright © 2023 布克学术 All rights reserved.
京ICP备2023020795号-1
ghs 京公网安备 11010802042870号
Book学术文献互助
Book学术文献互助群
群 号:604180095
Book学术官方微信