Pathophysiological mechanisms and benefits of SGLT?2 inhibitors in a patient with cerebral artery aneurysm: A case report.

IF 2.3
Experimental and therapeutic medicine Pub Date : 2025-04-04 eCollection Date: 2025-06-01 DOI:10.3892/etm.2025.12862
Oana-Andreea Parli Eanu, Roxana-Maria Nemes, Mara Amalia Balteanu, Daniel Radu, George Gherlan
{"title":"Pathophysiological mechanisms and benefits of SGLT?2 inhibitors in a patient with cerebral artery aneurysm: A case report.","authors":"Oana-Andreea Parli Eanu, Roxana-Maria Nemes, Mara Amalia Balteanu, Daniel Radu, George Gherlan","doi":"10.3892/etm.2025.12862","DOIUrl":null,"url":null,"abstract":"<p><p>The present study described the case of a 50-year-old male patient. The patient had type 2 diabetes since the age of 38 years (in 2013) with an initial elevated glycated hemoglobin A1c of 7.2%, with a significant cardiovascular (CV) history consisting of an aneurysm of the anterior communicating artery that had been operated on in 1998 and a ruptured basilar artery tip aneurysm embolized with a stent in 2013; the case was also associated with bronchiectasis (since 2020), non-alcoholic fatty liver disease (since 2018), diabetic neuropathy (since 2023) and obesity with a body mass index of 31.72 kg/m<sup>2</sup> (since 2010). Over the years the patient exhibited good metabolic control, initially treated with Metformin and managed through a change of diet. However, due to intolerance to Metformin, the patient stopped receiving treatments and only managed his diet. Since diabetes is by definition a condition that implies a high CV risk by itself, the primary focus with this patient was to provide additional CV protection, particularly secondary protection against any other potential future, and possibly fatal, CV events. After a brief introduction regarding the available therapeutic options, the case is presented along with the medical history, concomitant medications and evolution after 1 year. In the discussion section, similar documented cases in the literature were compared with the present case, and the potential effects of the therapeutic intervention in the present study were compared.</p>","PeriodicalId":94002,"journal":{"name":"Experimental and therapeutic medicine","volume":"29 6","pages":"112"},"PeriodicalIF":2.3000,"publicationDate":"2025-04-04","publicationTypes":"Journal Article","fieldsOfStudy":null,"isOpenAccess":false,"openAccessPdf":"https://www.ncbi.nlm.nih.gov/pmc/articles/PMC12000862/pdf/","citationCount":"0","resultStr":null,"platform":"Semanticscholar","paperid":null,"PeriodicalName":"Experimental and therapeutic medicine","FirstCategoryId":"1085","ListUrlMain":"https://doi.org/10.3892/etm.2025.12862","RegionNum":0,"RegionCategory":null,"ArticlePicture":[],"TitleCN":null,"AbstractTextCN":null,"PMCID":null,"EPubDate":"2025/6/1 0:00:00","PubModel":"eCollection","JCR":"","JCRName":"","Score":null,"Total":0}
引用次数: 0

Abstract

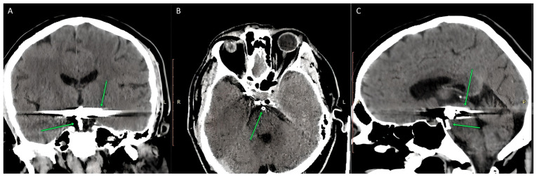
The present study described the case of a 50-year-old male patient. The patient had type 2 diabetes since the age of 38 years (in 2013) with an initial elevated glycated hemoglobin A1c of 7.2%, with a significant cardiovascular (CV) history consisting of an aneurysm of the anterior communicating artery that had been operated on in 1998 and a ruptured basilar artery tip aneurysm embolized with a stent in 2013; the case was also associated with bronchiectasis (since 2020), non-alcoholic fatty liver disease (since 2018), diabetic neuropathy (since 2023) and obesity with a body mass index of 31.72 kg/m2 (since 2010). Over the years the patient exhibited good metabolic control, initially treated with Metformin and managed through a change of diet. However, due to intolerance to Metformin, the patient stopped receiving treatments and only managed his diet. Since diabetes is by definition a condition that implies a high CV risk by itself, the primary focus with this patient was to provide additional CV protection, particularly secondary protection against any other potential future, and possibly fatal, CV events. After a brief introduction regarding the available therapeutic options, the case is presented along with the medical history, concomitant medications and evolution after 1 year. In the discussion section, similar documented cases in the literature were compared with the present case, and the potential effects of the therapeutic intervention in the present study were compared.

Abstract Image

SGLT的病理生理机制和益处?2种抑制剂治疗脑动脉瘤1例
本研究描述了一个50岁男性患者的病例。患者自38岁(2013年)起患有2型糖尿病,初始糖化血红蛋白A1c升高7.2%,有明显的心血管(CV)病史,包括1998年手术的前交通动脉动脉瘤和2013年支架栓塞的基底动脉尖端破裂动脉瘤;该病例还与支气管扩张(自2020年起)、非酒精性脂肪肝(自2018年起)、糖尿病性神经病变(自2023年起)和肥胖(自2010年起)有关,体重指数为31.72 kg/m2。多年来,患者表现出良好的代谢控制,最初使用二甲双胍治疗,并通过改变饮食进行管理。然而,由于对二甲双胍不耐受,患者停止了治疗,只控制饮食。由于糖尿病本身就是一种意味着高CV风险的疾病,因此对该患者的主要重点是提供额外的CV保护,特别是针对任何其他潜在的、可能致命的CV事件的二级保护。在简要介绍了可用的治疗方案后,介绍了该病例的病史、伴随药物和1年后的发展情况。在讨论部分,将文献中记录的类似病例与本病例进行比较,并比较本研究中治疗干预的潜在效果。
本文章由计算机程序翻译,如有差异,请以英文原文为准。
求助全文
约1分钟内获得全文 求助全文
来源期刊
自引率
0.00%
发文量
0
×
引用
GB/T 7714-2015
复制
MLA
复制
APA
复制
导出至
BibTeX EndNote RefMan NoteFirst NoteExpress
×
提示
您的信息不完整,为了账户安全,请先补充。
现在去补充
×
提示
您因"违规操作"
具体请查看互助需知
我知道了
×
提示
确定
请完成安全验证×
copy
已复制链接
快去分享给好友吧!
我知道了
右上角分享
点击右上角分享
0
联系我们:info@booksci.cn Book学术提供免费学术资源搜索服务,方便国内外学者检索中英文文献。致力于提供最便捷和优质的服务体验。 Copyright © 2023 布克学术 All rights reserved.
京ICP备2023020795号-1
ghs 京公网安备 11010802042870号
Book学术文献互助
Book学术文献互助群
群 号:604180095
Book学术官方微信